Одно расстройство.."уходит двойка", орт не хочет ни чего делать
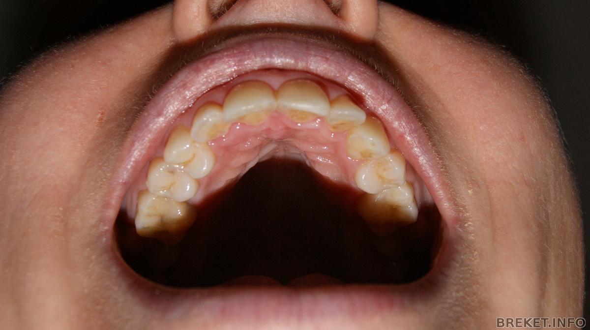
Сняли мне брекеты где то месяц назад и дали капы! Мне не нравиться 2 справа на фото, за этот месяц она совсем на 3 "залезла" и торчит
.Орт говорит что это просто толщина зубов разная и мне кажется, по дуге они ровно выпрямились.Раньше я уже писала об этом тут и орту говорила , еще когда брекеты были. она все свое "все на месте" твердит!но теперь то мне кажется явно "убегает" зуб, как же его на место теперь опять вернуть? и если меня не устраивает результат, как это с ортом то решить?[iif|[iif|Комментарии
это не капы у вас а пластинки. Они возможно недостаточно хорошо держат зубы, капы бы тут лучше справились, с выдвижением двойки. А может быть такое что пластинка сзади давит на двойку? а что делать... ну... искать другого орта. Который сможет на капах или с помощью других пластинок или подпиля эту, поставить двойку на место или хотя бы не допустить дальнейшего вылезания.
а как выглядят пластинки о которых вы говорите??самое обидное, что когда то он стоял ровно в брекетах
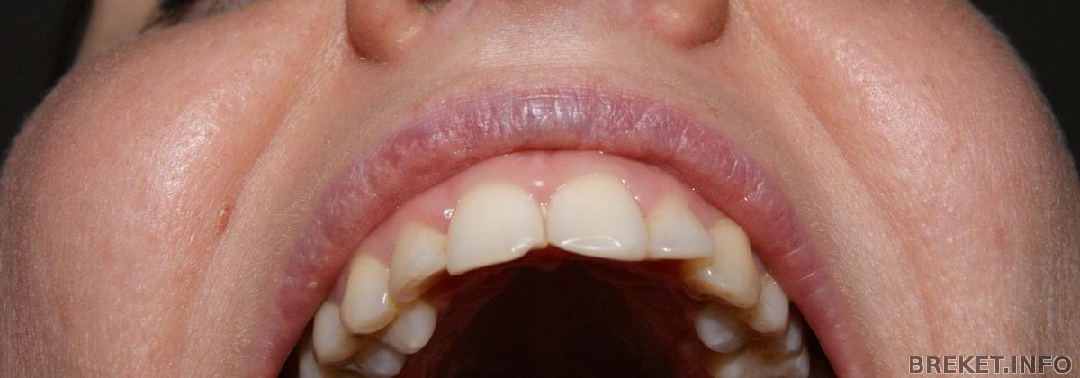
Нюрок, у Вас пластинки, а капы выглядят так:
ой! все по перепутала с расстройств!!!!!
Да не переживайте Вы так! Обидно, конечно, но жизнь то на этом не заканчивается. Поговорите с другим ортодонтом, раз эта такая непробиваемая.
Решила написать. Я очень беспокоюсь по поводу периода после брекетов. Сама ношу специальный trainer t4a - можно более подробно в нете почитать, он жесткий и даже лучше кап, способен в том числе выравнивать. Насчет орта - отклонения в зубе настолько очевидны, насколько его нежелание что -либо предпринимать. Ясно одно - медлить недьзя. Да поможет хороший орт.
Мне вообще кажется что рано она сняла брекеты с меня...а потом ну должна же быть какая то гарантия...ведь правда видно что зуб "уходит" не хочется сново платить такие деньги...и вроде врач то хороший...А дорогие эти trainer t4a????
Нет, он один нужен, сразу на обе челюсти надевается. Стоит в Краснодаре 2850 руб. Он гораздо прочнее обычной капы, поэтому будет служить долго. Мне прописали полгода носить.
Кстати, первую ночь я еле перетерпела - настолько больно было, стягивал , как брекеты)) поэтому я в него верю) боль = результат... Сейчас ок. Правда, если нос заложен, неудобно дышать...
ну не дорого!блин я за эти пластинки 32 тыс отдала и вот результат!!! пойду во вторник на прием, если не будут предприняты меры, то наверно придется менять орта
ну не нравиться мне
Ой, ой, как дорого пластинки обошлись... Честно, я не слышала раньше, что их применяют для пост-периода ношения брекетов. И почему ретейнер нельзя было приклеить, это же недорого и максимально надежно? (У меня и они на обеих челюстях есть, со всех сторон контроль)
такая наценка за пластинки! они же везде тыщ по 5 по-моему...
я в шоке от вашего ортодонта!!! во-первых, ОЧЕВИДНО что двойка не в ряду! во-вторых, пластинки!?! очень странно. либо он по какой-то новой технологии вас лечит
ПЛСТИНКИ 32 ТЫЩИ??????? Да вы что? не могут они столько стоить!!!!! и это конечно мое мнение и сугубо не профессиональное, но мне кажется пластинки после брекетов не носят (хотя могу и ошибаться)....
У Вас даже видно, что край пластинки выточен под первоначальное положение двойки, а т.к. пластинка этого не может удержать, двойка ушла (вывернулась) и образовалось расстояние м/у пластинкой и двойкой (это видно на фото). Я не пойму зачем орт выдал вам пластинку после брекетов???? Почему не капы? Ведь в какой то степени брекеты носишь и ради эстетики в будущем, а с пластинкой ни эстетики, и нарушение речи, шепелявость(знаю, т.к. пластинку носит сейчас мой сыночек).
одно расстройство
и не красиво и шепелявлю страшно и главное все вкривь и в кось , еще и дорого!!
что делать...записалась на вторник на прием...
К той же ортше?
ну пока к ней! хочу все выяснить показать зуб. В принципе до этого случая у меня не было поводов ей не доверять , в клинике прежде не замечала попыток "нагрузить" очень все нравилось у них. Но мне как то странно за что же я заплатила 32 тыс и каждый раз еще теперь по 500 за прием плачу и результат меня перестал устраивать, что самое не приятно конечно. И если меня не устроит ее ответ и она не станет ничего делать, буду претензии выставлять, требовать какого то возмещения ...ну и искать другого орта
Выписали мне носить трейнер!!!! это катастрофа!!!очень все болит , некоторые зубы просто словно нерв оголился - как болят!!!и сколько его носить?? пока 2-ка не вернется на место и почему так все вышло, а я теперь страдай
ты терпи, должно перестать болеть скоро, это типа как тяги, зубы привыкнут и все будет ок, главное чтобы десны не натирал!








дааа обидно,но что делать не подскажу