Не знаю - радоваться или расстраиваться.
Ох, сайт про брекеты, а я все застопорилась на удалении восьмерок
. Долго решалась, морально готовилась, сегодня пошла в районную стоматологию. Дядечка-хирург приятный был, мне понравился. Но вышла я от него... со всеми своими 32 зубами нетронутыми. Сказал мне, что удалять здоровые крепкие зубы не будет и вообще, посмотрев на прикус с разных ракурсов, смысла в удалении не видит, мол и так есть место для движения. Вот теперь не знаю, что делать
... Вроде рада, что не удалил, а с другой стороны расстроена, я же уже настроилась. Второй раз опять через это проходить... Поговорили мы с ним и, как бы между прочим, посоветовал сходить на консультацию к другому орту. Вот так. (а своему орту я уже оплатила БС)
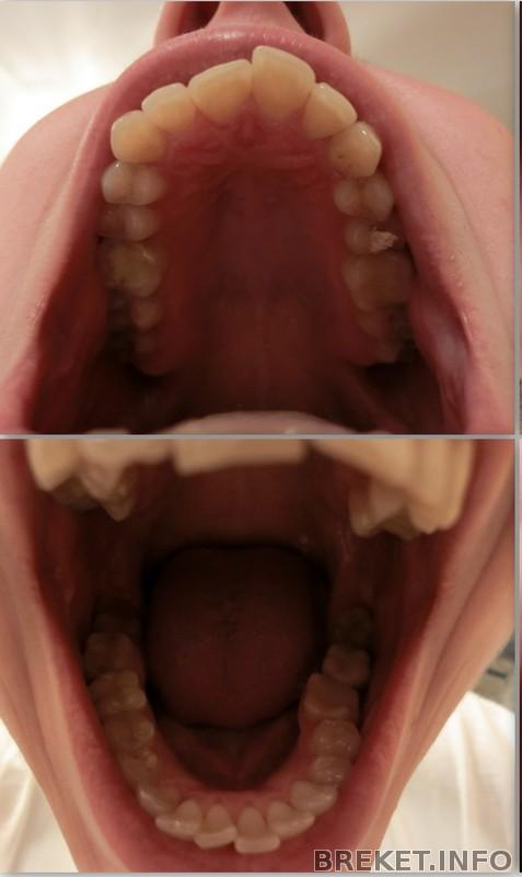
Ну а так как с работы к хирургу ушла сегодня пораньше (начальник рассказал страшилки про удаление, пожелал удачи и отпустил
), то и нашлось наконец время сделать коллажики, так называемые "До". Вот они
И до кучи в этой записи тогда спрошу мнения брекетоносцев по поводу шансов лечения без удаления: судя по фото, получится ли? Попросить орта поставить БС, а там посмотрим как дело пойдет?
Комментарии
я бы все-равно удалила 8ки. один фиг от них добра не жди
Орт хочет начать с ВЧ, так что пока только про удаление верхних сказала. Но где верхние там и нижние... Но вот хирург отказал. Ладно бы молодой был, практикант, а то дядечка уже "закаленный".
Мне кажется, все без удаления получиться, зубы мудрости уже вылезли и нормально стоят, и будет у вас замечательная улыбка во все 32 зуба!!!
Мне кажется нужно слушать вашего врача ортодонта. он то знает и понимает все тонкости,а хирург только видит со своей точки зрения,ему главное чтобы сами зубы были здоровые,а ортодонт понимает что зубы надо удалять к примеру для того чтобы зубам места больше было.
дядечке безусловно виднее, но я первый раз, честно говоря, в такой ситуации, слышу, чтоб говорили, что место ещё есть
Ортодонт будет недоволен)
Ведьэто он придумал план лечения и тоже наверно опытом не обделен)
)) т.е. надо было брать хирурга за грудкИ и кричать: "Давай рви!"
Млин, придется к другому идти, теперь буду настаивать, деньги предлагать, чтобы выдрал))
Зубы выровнить можно без удаления, но наклон очень сильный останется мне кажется, а с другой стороны 8ки много места наверно не дадут. Попробуйте к другому орту просто на консультацию сходить и если он тоже скажет удалять вопросов нет, но если можно и без настаивайте у своего орта лечиться без удаления она должна прислушаться к вашим желаниям, попытка не пытка, а зубы можно и по ходу лечения удалить. Никогда не поздно.
мне кажется без удаления зубы после БС могут вернуть наклон на половину может и больше, у меня у знакомой после 3 лет ношения брекетов они начали обратно возвращаться при том что ей пожизненно ретейнер носить, а так если зубки выровнять будет очень красивая улыбка!))
У меня тоже наклон не хилый и орт тоже сказала попробуем без удаления. Но я что то сомневаюсь что так получится потому что зубы прилично назад должны уйти, я уже думаю сама предложить сразу удалить 4ки на вч, потому что начиталась тут что отправляют удалять их некоторым и через 11 месяцев,а я не хочу терять время.
Я когда к хирургу на удаление 4ок ходила, он тоже отказывался по-началу, мол зубки здоровые, целые жалко ему и вообще не любит ,мол, вырывать для ортодантического движения. Я все равно настояла и 4ки таки он удалил. Думаю вам стоит наведаться еще к одному ортодонту. Чтобы отмести всяческие сомнения.
Я вот тоже, когда к хирургу ходила на удаление 4-ок, он отказывался поначалу, а потом удалил , и даже нормально все воспринял. Кстати, дядя тоже "закаленный":)
когда мой орт послал меня на удаление 8ок в первый раз,хирург сказал : "да вы что! они у вас далеко в десне сидят! лет через 5 приходите,там посмотрим") я если честно расстроилась, т.к. боялась,что после снятия зубы разъедутся
но через месяца 4-5 я снова пришла к тому же хирургу и он прям сразу же мне их удалил, я даже настроиться толком не успела, думаю, так даже лучше;)
сейчас я уже без 8ок, удалила все четыре штуки за 2 месяца!)
советую вам обратится к другому хирургу, или же лечится без удаления..)
Может прийти к своему ортодонту и честно все выложить, мол хирург отказался удалять, и посмотреть что он скажет... Может передумает) а если будет железно стоять на удалении - тогда уж к другому хирургу)) а вобще ОРТ наверное все-таки лучше разбирается в ортодонтическом лечении чем хирург (при всем моем уважении к хирургам))))
Я когда пришла удалять , меня стали угаваривать этого не делать здоровые зубы тоже жалко и т д... может 8 удалить и так сдвинуть.... Хирург не ортодонт , как писала девушка выше он не знает всех ньюансов ...С таким дистальным прикусом мне кажется нельзя без удаления, я сама свято верила сначала что мне не придётся удалять... но места реально не хватало((
Сходите к другому орту. Обязательно сходите.



Ого, вот это наклон... удалять на нижней планировали?