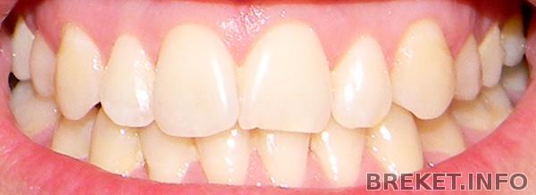
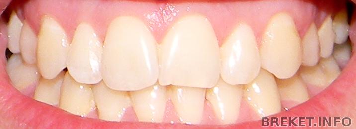
И снова здравствуйте. Удержание результата)))
Уже забыл про этот сайт, потому что единственное что мне напоминает и откровенно говоря, плохо напоминает о брекетах, это капы, одеваемые на ночь)
Носил я я обыкновенные железки, крайне краткие сроки, снял из-за психа, было лето, хотелось тусить, поэтому долго не думал.
Говорю сразу зубы поехали, но сильно ли... Короче так, пусть в меня кинет камень тот, кто имеет кривые зубы, очень кривые зубы (исходники в моем альбоме), и не хотел бы улучшить ситуации хоть на граммульчку, без особых запарок. Я немного пострадал и вот результат, скажу порой хочется снова одеть и нетолько улучшить результат, но и закрепить его, потому что когда ночую с девушкой, естественно не одеваю их, о них вообще мало кто знает, + иногда не дома ночуешь, где ночь застала))) первую ночь тяжело залазят, зубы ноют, но к утру - как в день снятия)))
И в принципе это не напряжно, выкладываю только что сделанные снимки...
Комментарии
главное что бы ещё сильней не поехали,а так вполне красиво )
09.12.2012 - 23:47
ну все оч хорошо держится, думаю если капы не задвинешь то все прирастет как положено. у тебя очень хороший результат получился хоть и мало носил брекеты, я когда увидела твой пост подумала: наверное там у него кошмар
, а нет, все как и было когда снял. молодец что заглянут и отчитался
10.12.2012 - 08:00
Шикарная улыбка - просто мечта)))
12.12.2012 - 16:14



ну очень даже симпатишно) быстро и красиво