Подарочек на НГ)Двойка наконец то спустя 8,5 месяцев практически на месте)
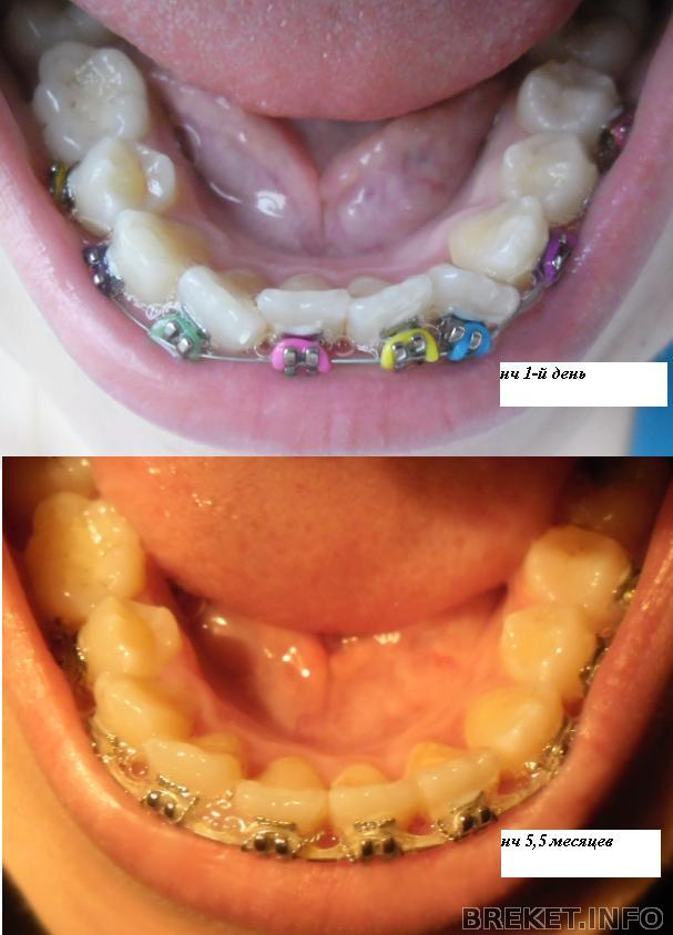
Прошло 1,5 месяца как подключили 2-ку.Первый месяц изменения были минимальными,т.к паз брекета был только наполовину подключен к дуге.И вот после приёма 2 недели назад двойку подключили полностью и вот она практически на месте)Я так радаааааааааааааа)Правда на НЧ проблемы.Пару месяцев назад на приёме помощница Орта случайно отодрала брекет,переклеила,и сразу же 2-ка на нч (на фото слева) опустилась,а рядом 2 зуба поднялись(щель не закрывается,зубы не опускаются(а по дуге видно что бекеты практически по одной линии и что нужно переклевать брекеты(сказала орту,он сказал всё исправится(буду просить всё же переклеить.
Комментарии
Marusik,спасибо.Взаимно!)
класс!
Omckval, спасибо:smile19:
обалдеть...других слов нет...
Ferrera, да да да)
Потрясающий результат за столь короткое время!!!
Юльчелос, Благодарю)
Danelly,прикус с каждым разом всё лучше и лучше становится!!!!Классный результат!И ротик визуально,больше выглядит!
Galliya .да,спасибоооооооооо)





какие потрясающие изменения.. дальнейших успехов