С Новым годом!!!!!!!!
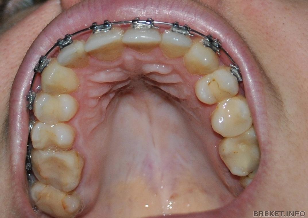
Вот и прошло 5 мес, как установили БС на ВЧ и 1мес 19 дней--НЧ. Много чего поменялось--зубки подровнялись, прикус испортился))). За полтора мес. на НЧ мне поменяли 3 дуги и орт сказала, что єто последняя...Меня настораживает такая спешка(((. На ВЧ стоит вторая дуга.
Есть хорошая новость--обойдемся без удаления!!!
На НЧ надо ставить три импланта...Будем делать ето в процессе, чтоб при снятии БС зубки не разбежались))).
Хочу всех поздравить с Наступающим Новым годом!!!! Всем большого терпения и хороших результатов!!!!!!!!!!
На фото зубы кажутся желтыми и не ухоженными(((((((



Комментарии