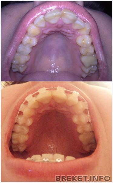
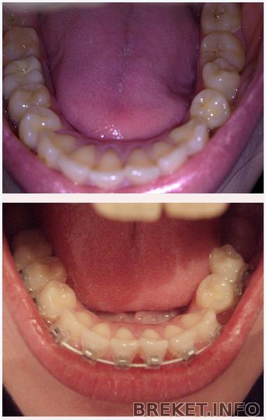
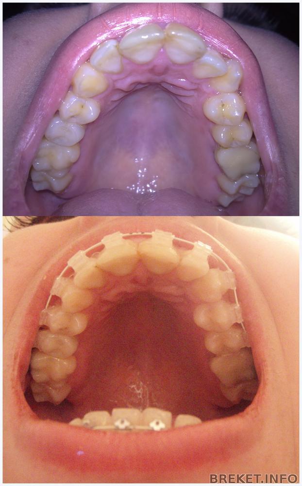
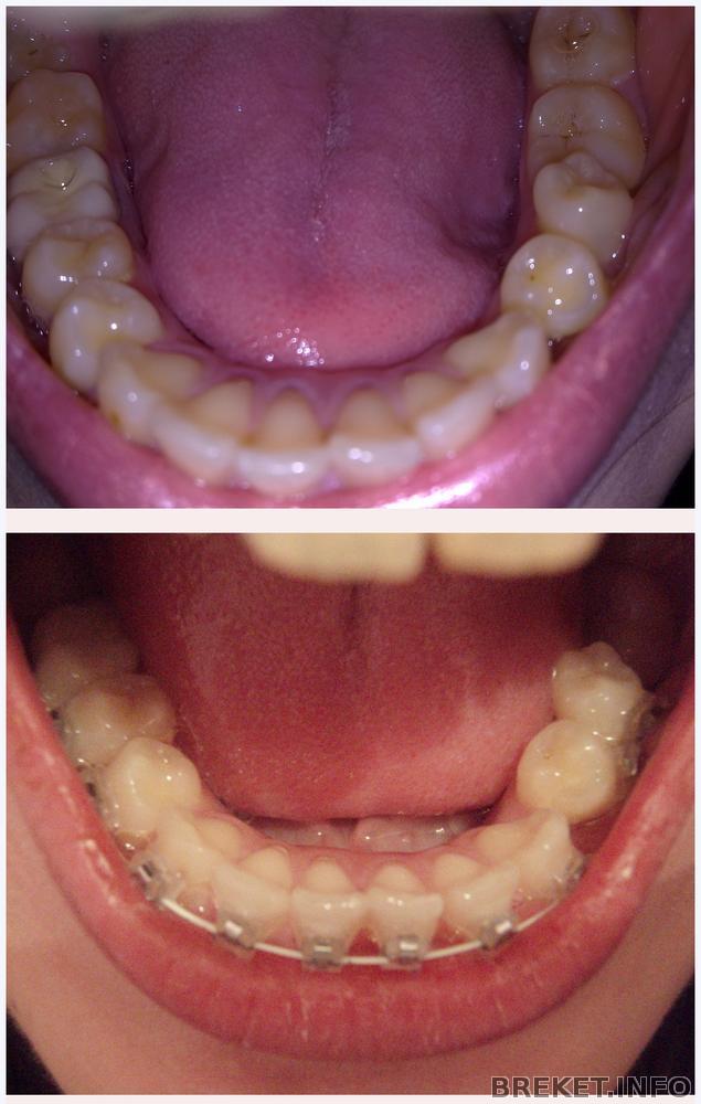
Юху-ху!! Результаты 1-го месяца!
Сегодня посетила ортодонта спустя месяц ношения БС после установки. Результаты радуют))) Так приятно наблюдать изменения!
Один минус - ортофея сказала, что у меня бруксизм (тру зубами друг об друга во сне), поэтому после снятия брекетов придется носить капу.
Фото для отслеживания изменений прилагаю.






