1 месяц и крик души!!!
Вчера была на приеме у орта, и в общем то он меня не воодушевил.
Приклеили мне очередной раз отклеившийся брекет, поменяли лигатуры, и одели чейн на нч между пятеркой и шестеркой чтоб развернуть пятерочку.
Спросила когда будут менять дуги, она сказала что на вч еще рано, а на вч лучше сначала разберемся с моей проблемной еденичкой (которая повернулась после установки бс потому что ее не подключили) появившееся из за пружинки место опять куда то пропало и моя орта весь прием думала что же с ней делать. в конце концов она сказала что будем сепарировать. а куда мне еще нч то сепарировать она у меня итак крохотная! я не представляю как она щель такую между моими передними верхними и нижними зубами без удаления собралась заятягивать, а тут она еще и нижнюю сепарировать собралась!
Ну ладно думаю я ей виднее, говорит на следующем приеме посепарируем, я говорю а почему тогда не сейчас? а она мне: всему свое время, но на самом деле у меня уже кончилось просто время приема и она не хотела опять снимать лигатуры и заниматься мной.
Ушла я очень недовольная, потому что меня раздражает что она все тянет! быстрее бы сделала быстрее бы еденица встала! и как то мне тоже не прикольно отдавать за каждый прием по 2400 только за то что мне меняют лигатуры!
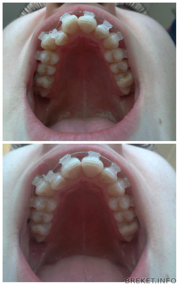
И вот что имеем на сегодня спустя месяц, одна только двоечка меня радует)
Комментарии
нет у меня каждый прием фиксирован, вне зависимости от того что делаем 1200 р каждая челюсть
Я как почитаю кто сколько платит и понимаю, что отделалась легким испугом, мы с ортом сразу договорились о сумме и все, чтобы не случилось это входит в сумму
как на мой взгляд то результат очень даже хороший у многих за месяц результата ноль,и некуда спешить!зубки и отдыхать должны,они и так в шоке!даже если видно что зубы поменяли положения то корни еще нет,а на это идет больше времени!а по поводу удаления более точная картина прояснится после 3х месяцев,но как на мой взгляд думаю тут и без удаления все станет,так как челюсть расширят и потом тягами все задвинут и будет красота



я за каждый прием плачу по прейскуранту, проверяю. если сменят лигатуры получается примерно 800 рублей, если дугу меняют то там от 1 тысячи до 3 выходит...