SOS!!!! Я всё-таки хочу менять орта =(
Привет, друзья! ![]()
Вот прошло 9 месяцев с начала лечения, а я хочу поменять орта (хотя я это хотела и раньше, но сейчас прям приперло).
Итак, по порядку, что не устраивает:
1. Результат
2 дня
6 месяцев
9 месяцев
Сами видите, ситуация у меня была не такая прям сложная, а за 9 месяцев мало что изменилось.
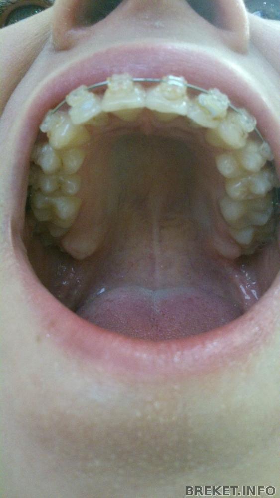
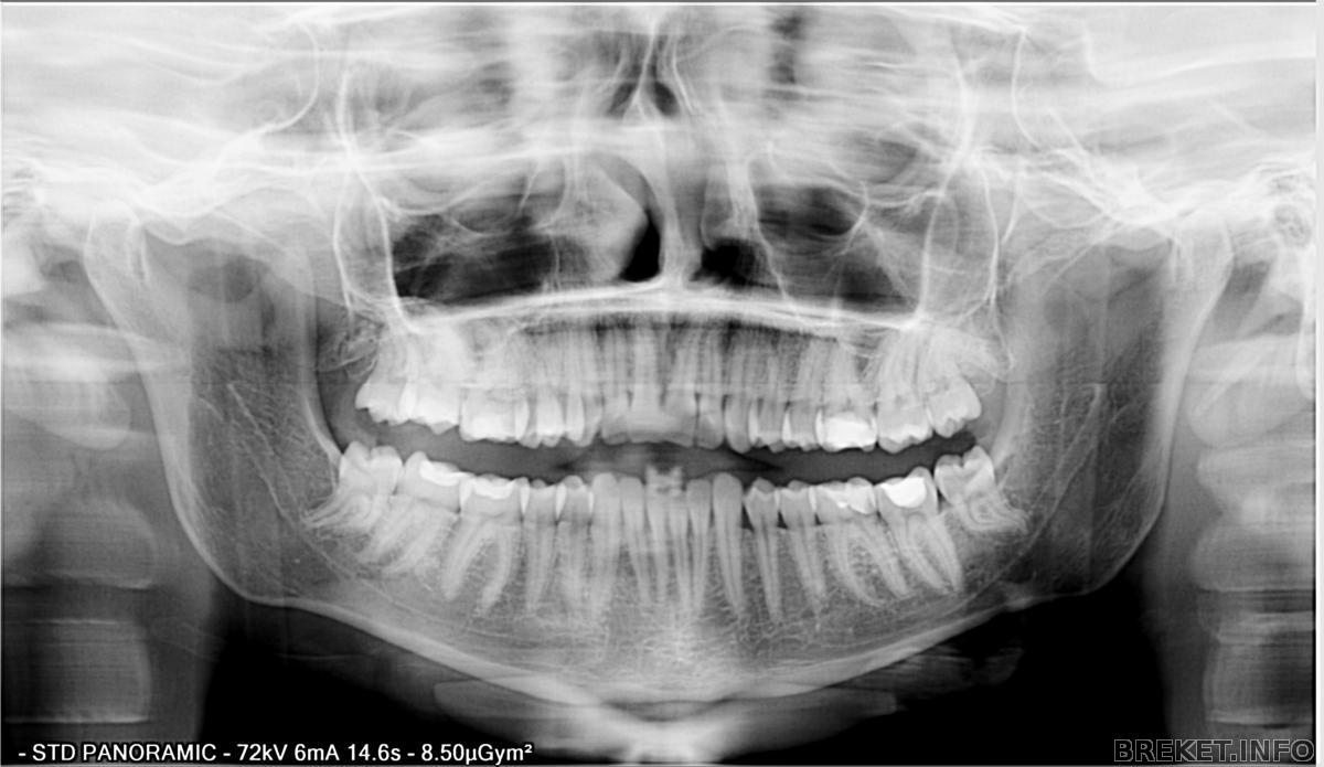
2. Верхняя левая единица. Он утверждает, что она не под наклоном, я же прошу развернуть её (так же как и правую двойку), на что он отвечает, что она ровная и её надо подпилить (сегодня вечером посмотрю на оптг как там корень расположен, он же туда даже заглядывать отказывается). Так же он говорит, что единицы лежат в одной плоскости, но тут видно невооруженным глазом, что правая выпирает.
3. Центр уехал!!!
Ну это еще умудриться надо, так его сместить
До лечения кстати центры совпадали.
Мне кажется, он даже не пытается совмещать центры дуг и рядов, как засунет ее туда, так и оставит.
4. Отсутствие в лечении дополнительных приспособлений (резинки, пружинки и т.д.)
Такое ощущение, что он вообще не в курсе их существования.
По поводу квадратных/прямоугольных дуг тоже самое, смотрит на меня как на дуру, когда задаю вопросы.
5. Отклеивает мне брекеты при смене лигатур. Меня прям это убивает! Я стараюсь аккуратно кушать, что бы ничего не отклеилось, прихожу на прием, а он берет и руками кривыми своими резким движением (типа соскочило) отклеивает. И за 9 месяцев кстати 3 раза брекеты на пол ронял. Клоун.
Это - основные причины, остальное - по мелочи.
Ребят, посмотрите, пожалуйста, фотки, напишите, что думаете по этому поводу.
Стоит ли начинать искать нового орта (хотя б для консультации) или подождать какое-то время?
Спасибо)
Комментарии
а как с прикусом? я не поняла, тяги не носишь что-ли??? Нет, ну вообще результат есть конечно, зубки почти ровные, на фото плохо видно(( жаль фото в 3D нельзя сделать))))) надеюсь до этого дойдет прогресс...
ну а что по поводу смены орта... вот что скажу: если ты не согласна с ортом, и он отказывается делать то, что ты говоришь (ну имеется ввиду очевидная проблема, которую орт отказывается решать), то смело иди на консультацию к другому орту, не тяни время, смысл затягивать процесс?! консультируйся...узнавай, если где-то тебе предложат варианты решения проблем, то меняй дохтора!
Skoll, у меня не открытый прикус, стоят надкусочные пломбы, прикус нормальный, все смыкается (смыкалось)
У него сложно что-то узнать, он так спутанно-запутанно отвечает, да и по его словам - всё идеально.
Почему с единичками не понять? Имеется ввиду наклон, если провести перпендикуляр к земле.
- вот я как-то пыталась нарисовать.
Низ зуба не сколот, он вроде всегда такой был, сколько себя помню. Ну хочется прям эту единичку повернуть, чтобы более менее зуб был перпендикулярно губам.
Nataliiiii, прикус нормальный, чуть-чуть с одной стороны зубной ряд вогнут во внутрь
зубы не смыкаются, т.к. надкусочные пломбы.
Тяги не ношу, ты чего, мы даже их в глаза не видели)
Да, спасибо, за совет, на консультацию-то надо сбегать...
Поль, последняя фотка - это сейчас так?!
Попробуйте сходить на консультацию к другому врачу,послушайте что он/она скажет..готовы будут принять тебя на лечение.
Вот у меня орт сам ушел из клиники, даже не предупредил,точнее я узнала,когда начала записываться на очереднйо прием. И была такая же фигня, ношу 8 мес,а просуществование тяг,цепочек и тд как будто никто не слышал.Хотя у меня не ыбло к нему нареканий, за все те месяцы..В итоги решила остаться у себя в клинике,и новый орт много чего сделала за прием,точнее ей даже одного часа не хватило на меня..А зубы у меня встали в зубной ряд почти через мес 2-2,5 ношения БС.
Nataliiiii, последняя фотка в посте - да.
В комментарии тебе - это в начале лечения.
Олесик, спасибо за совет, попробую поискать...
Тебе повезло, что в той же клинике.
У меня он один в клинике ((
И он там типа мастер на все руки (сейчас вот думаю за двумя зайцами погонишься...)
Ну вот я и смотрю, что у многих за полгода встают, а дальше остаются мелочи, у меня же(
Еще вопрос:
если я собираюсь к другому доктору, я же могу попросить у этого слепок? Он же по идее должен его сохранять. Я просто думаю, что он его вообще не делал (точнее он слепок с зубов делал, а сам слепок из гипса (или из чего он там - нет).
Мне наверно скажет, что выкинул его за ненадобностью.
Сделай такую фотку, как в комменте, сейчас (ракурс). Попросить конечно можешь, а вдруг хранит...
Polyaa, это хорошо что в эту клинику быстро нашли замену,и не пришлось по всему городу гоняться за врачом,ведь клинику я выбирала еще по тем критериям-удобное место положение к дому,работе и учебе.
Не факт,что отдаст слепок. Вот мой орт ничего не оставил новому врачу, я просто пришла и врач вообще не в курсе что,как сколько ношу.Хорошо,что к приему мне нужно было принести ортопантограмму,и там где я ее делала,мне врач кинул на диск до лечения снимок.Так и пришлось на приеме объяснять,сколько ношу,почему удалили зуб итд..
а зачем тяги если прикус нормальный? что и куда тянуть?))
Skoll, вы зацикливаетесь на одном))
я ж не говорю он не ставит мне тяги, хочу другого)
а дуга кстати круглая! так кажется наверно.
я просто не успеваю читать то что вы дописываете в посте))
по п.2 дуга неровная а следовательно единицы еще будут выравниваться сами без доп.телодвижений орта в виде переклейки брекета, загиба дуги и тд.
по п.3 и 4 еще не вечер и нефакт что доп.приспособления вам вообще когда-нибудь понадобятся.
по п.5 ну видимо криворукий или волнуется))
про дуги - а сколько раз он менял? сейчас какая по счету стоит дуга?
Идите на консультации.
Мое личное мнение, если вы считает своего орта "криворуким клоуном", то его надо менять. даже остальные пункты не столь существенны. ![]()
Без финансовых потерь удастся сменить? У вас как оплата идет?
После консультаций у вас хотя бы мысли встанут на место. Узнаете как вашу ситуацию видят другие врачи.
Skoll, извините)))
по п.2. в каком месте она неровная???? по-моему верхняя ровная. ну эта единица уже точно не изменится.
по п.3 и п.4 не факт, что понадобятся, но он походу о них и не слышал)
сейчас 4 по счету (18, поставил 12.01.13), были 12, 14, 16.
Вы наверно считаете, что я порю горячку, но это не так.
Вы б его слышали. В конце ноября он мне говорит до Нового года снимем (я ужаснулась, прошло б 8 месяцев), сейчас говорит снимем в июне, 3 месяца обещал повернуть зуб ( и то я сама его натолкнула на эту мысль говорю типа давайте поворачивать), в итоге щас заявляет что он ровный и надо пилить. И так во всем.
Нефиг его защищать!!!
Mrs. El, да-да, тоже такая мысль возникла. Уже записалась на консультацию на среду.
Оплата у меня идет в день приема. Например смена лигатур на обе челюсти 3000 руб, если еще дуги, то 4000 руб.
Ну думаю, если саму систему не переустанавливать, то без потерь.
Да, мысли встанут на место.
Хоть с женщиной, к которой записалась, поговорила нормально, с этим же не поговоришь, на все вопросы ответ "все идеально".
честно, мне 6 больше понравилось чем 9
omckval, наверное из-за цвета зубов (но вообще они не пожелтели, цвет так падает), мне тоже 6 больше нравится.
Дело в том, что последнюю дугу поставили только позавчера, а центр уже уехал куда ему вздумалось. Причем я думаю, что это он так дугу поставил, потому что он ее центр нифига не совместил с центром ряда. Не понимаю. Он еще ничего не объясняет.
ну на консультации к др. ортам сходить точно - чтобы не думать.
а на счёт единиц - если прикрыть нижние края, то получатся ровные единицы.
Polyaa последнее фото где ВЧ это свежее? там видно что дуга кривая у единичек.
про дуги - т.е. он меняет дуги и ставит каждый раз другую, толще?
нет я его конечно не защищаю но просто и вы тоже с нападками перебарщиваете с паникой))
не-не, даже прикрывая край, я тоже вижу левая чуть под углом. но это надо по корням смотреть.
я вот тоже хожу с брекетами 1 год и почти два месяца,а кроме как смены дуг он мне ничего не ставит(( и говорит,что совсем чуть-чуть и снимет,разве бывает без тяг? и наклон как веер((
У меня пока тяг тоже не было (ношу 10 месяцев), кроме смены дуг месяц назад стала носить чейн. Все!!
Центр, кстати, "гуляет" в процессе. Это нормально...
А левая и правда похоже чуть под углом. Попросите брекет переклеить. Или хотя бы снимок можно сделать, там видно будет
да вечно они обещают снять, а сами...
мне тоже обещала мес 5 назад верх снять, говорила "всё в следующий раз снимем", но я про себя думала "ага, как же, не дам снять с таким результатом", но до сих пор - сама между прочим, находит недоделки и не снимаем
Насчет переклейки брекетов. Мой врач говорит что переклейка оторвавшегося брекета очень сложная работа. Так как надо брекет поставить полностью на то самое место на котором он стоял, тютелька в тютельку. Если не так поставишь, то и зубы будут по другому вставать. А в твоем случае это вообще жесть, просто сам отрывает брекет и потом поди на глазок приклеивает. Переклеивают брекет только когда это необходимо (повернуть зубик например). Вот читаю про других ОРТов и понимаю что у меня очень ответственный и грамотный врач, главное что он очень человечный
))))
lara2304, спасибо, уже записалась, завтра иду, счастья полные штаны ![]()
насчет единиц - даже если прикрыть, она под углом, и одна единица выпирает)
Skoll, нене, которая фото ВЧ в комменте - это самое начало лечения, сейчас все по другому. Да, меняет, ставит толще, ну не каждый раз, месяцев через 3 выходит новая дуга как раз)
Mrs. El, оооо, да, всё верно, под углом, посмотрела ОПТГ - под углом корень, надо ему этот снимок на лоб приклеить, что б увидел.
Лисёёёёёнок, приветик, у нас не один доктор?
))))) шучу, на самом деле посмотрела твои фото - супер!!!!!
Masha_vesna, ну у вас хотя бы чейн, этот по-ходу о таком и не слышал, брекет просила переклеить, он все говорил в след.раз, а 12 января на последнем приеме заявил что за чушь я несу, все ровно, надо пилить край. Снимок есть - корень под углом.
lara2304, ну у вас очень красивые фотографии зубов, вот в том и дело, что у вас она находит, хочет идеальности, а этот говорит, что у меня уже все ок, все ровно, ничего не торчит, остается тупо доходить до лета. (((
машник, да-да, "на глазок", с пола поднимет спиртом промоет - и в путь =( Согласна с тобой.
Мне кажется на самом деле, он начала заниматься ортодонтией, что б денег поднять, а так он нифига не ортодонт, эххх, занесло меня(( Тебе повезло с ортом
))
мне тоже кажется, что левая единичка стоит не перпендикулярно, а наклонена к центру! даже по десне немного заметно разницу. Да, врачу проще подпилить, мне первая врач тоже говорила подпилим, а я просила переклеить брекет. В итоге другая врач переклеила брекет, капельку подпилила край, там маленькая зазубринка была и за несколько месяцев сделала то, что первая не сделала за 9 месяцев (проблемы с прикусом еще у меня)!!
Вот тут и слова и фото изменений. Глянь, если интересно)
http://breket.info/blogs/242885
http://breket.info/blogs/250785
Думаю, нужно сходить к другим ортам, послушать их мнение!
Посмотрела еще раз твое самое первое фото после установки, ситуация прям аналогичная! брекет, мне кажется, надо было клеить параллельно нижнему краю единицы и все было бы хорошо
Если снимок есть - с ортом можно и поругаться. Они же разъедутся потом... Только я читала у кого-то здесь, что переклейка брекетов - ювелирная операция... и если у орта маленький опыт, это рискованное дело((
Чейн вам может быть просто не нужен, если нет щелей и сдвигать нечего:)
Сашулька, спасибо, да, очень похоже, ну у тебя результат - потрясающий!!! Так что молодец твой новый орт))
Я кстати сегодня иду к другому врачу, буду спрашивать её мнение)
Я тоже ему 100 раз говорила давай приклеим параллельно, а он(
Masha_vesna, да снимок есть, и на нём все прекрасно видно)
вот седня схожу к новому орту, а на выходных наверно пойду на старого наору и скажу, что он мне больше не нужен такой!!!
Ювелирная, да, все об этом говорят, но этот болван умудряется при смене лигатур сам отрывать мне бреки, а потом приклеивает как попало((((
И вот снимок кстати, это до лечения, ну я не думаю, что положение корня уж очень поменялось, наклон тот же
Polyaa, спасибо большое! Такой результат получили после переклейки обеих единичек, т.е. сначала погнули дугу, немного положение изменилось, а потом уже переклеили обе единички ![]()
Напиши потом, после приема у новой, что она скажет) Надеюсь все быстренько исправится, хотя не надеюсь, а уверена! Очень тебя понимаю!










вообще открытый прикус это довольно сложная ситуация
Я вижу что у тебя немного расширился зубной ряд на ВЧ, и дуга вроде сейчас стоит не круглая? с центром да, беда, но ровняться на то, что было ДО лечения не стоит, т.к. тот ровный центр был при кривых зубах. Надо узнать у орта когда он планирует начать заниматься центром.
С единичками по фото не понять. То что низ зуба сколот это точно а наклон надо наверное смотреть в виде снизу.