От четвёрки до четвёрки.
Так уж вышло, что мой прикус слегка совсем не идеален - хотя меня он устраивал процентов на 99. И жила бы я так долго и счастливо, если бы подруга не была ортодонтом и не появилась возможность дёшево и щадяще исправить единственный не очень устраивающий меня зуб.
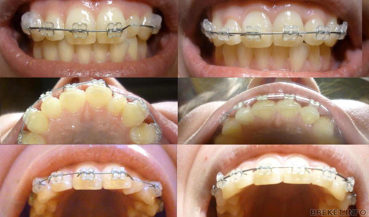
Низ в шахматном порядке - кто в язычную сторону, кто в вестибулярную))) Пусть так, очень даже мило.
Верхняя пятёрка всю жизнь стояла нёбно - и ей, и мне это удобно, ладно. Одна единичка чуть вестибулярнее - не критично.
Но вот коварная верхняя двойка, развернувшаяся и спрятавшаяся за центральный резец...
Мы сделали ТРГ, ОПГ, сняли оттиски для моделей... Объявили, что у меня скрытый дистальный прикус, и мне надо удалить все восьмёрки и все четвёрки - тогда всё прекрасно встанет на свои места, и рецидивов не будет. Но я жмот, и мне жалко свои восемь зубов!
Тогда мне предложили систему 4х4 - на верхнюю и на нижнюю челюсть.
Но я упрямая. В итоге пока мы остановились только на верхней челюсти. Неправильно, нелогично, но посмотрим, что получится. У меня никогда не было контакта между резцами верхней и нижней челюсти - будем надеяться, что это поможет не трогать остальные зубы.
Прошло три месяца - даже, почти три с половиной. Теперь я жду, когда образуется десневой сосочек, которого никогда не было между 21 и 22... Жду, когда ортодонт опустит назад 21, подтянувшийся наверх, когда разворачивали двойку... ещё чуточку, и буду счастлива)))
Комментарии
Странно..
Стоматолог не беспокоится и том, что у него будет на нижней челюсти
Разве ношение БС на обеих челюстях-не залог стабильности результата?
Мой доктор хотела, так хотела)))
По ТРГ нижние резцы в слишком сильной протрузии - т.е. чтобы их угол наклона был в пределах нормы, их нужно отклонить назад (предварительно удалив на нижней челюсти 8ки, и лучше ещё и 4ки), либо отсепарировать в очень приличных объёмах.
Можно было бы чуть увести в ретрузию зубцы на верхней челюсти - но там всё тоже на пределе - можно наклонять только вперёд. Т.е. опять-таки, чтобы весь центр наверху увести кзади до контакта с нижними - нужно удалить сверху 8ки и 4ки.
И лишаться восьми зубов?! Да бог с ней, с этой сагиттальной щелью, она не больше миллиметра. Столько лет с ней живу)))
Мой случай - пример эдакой косметической процедуры для разворота бокового резца)) Кроме него мне всё нравится, хоть местами и кривовато)))
Ну и да, не делайте так, люди, это неправильно!






У меня никогда не было контакта между резцами верхней и нижней челюсти - будем надеяться, что это поможет не трогать остальные зубы.
не поняла... т.е. это тебе не исправляют?