Первый день брекетов и первая бессонная ночь=(
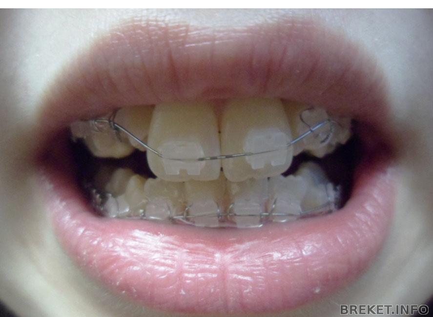
15 января наконец таки сделали мы брекеты. Заняла вся эта процедура два часа,конечно,если бы ортодонт не пила чай,и помимо меня еще не принимала бы посетителей,а меня все время не отправляла бы якобы "отдохнуть" думаю мы бы управились за 1-1,5 часа. При том во время самой процедуры приклейки брекетов,ортодонт раз так 5 сказала некое "Ёмаё",что на ее языке означало какой то ее косяк.Первое "Ёмаё"означало,что она забыла мне сказать прополоскать рот специальным раствором(не знаю ,как называется,такое зелененький и кисленький) и сразу нанесла клей и уже приклеила два брекета и тут она про это вспомнила,быстренько начала отклеивать эти два брекеты и убирать клей.Все последующие "Ёмаё" означали,что либо она клей не туда мазнула,либо брекет криво приклеила..вроде врач хороший,поэтому единственное на,что я могу сослаться это то,что она просто устала,я у нее на приеме была уже в пятом часу,плюс у них был сумасшедший день и куча народа...В принципе,когда я посмотрелась в зеркало сразу же после приклейки я была оооочень довольна, брекеты мне казались аккуратными и совсем практически незаметными,даже в школе никто их не замечал,пока я не сказала.Сразу после приклейки мы купили в аптеке необходимый минимум : полоскалку для рта,ортопедическую щётку,ёршики и зубную нить(кстати очень хорошая,советую всем).Плюс еще ортопед подарила розовенькую щетку и воск,только вот боюсь мне его надолго не хватит
потому что во рту жесть,что творится, брекеты НЧ жутко натирают,вообщем кровища,порезы и полный хард кор
А про первую ночь с брекетами вообще можно целую поэму писать
проснулась я в 3 часа ночь от жуткой боли в зубах,просто адской я бы сказала,в итоге до 5 утра я провалялась в кровати,пытаясь заснуть,но конечно же ничего не вышло и я встала в 5 утра и сидела на кухне смотрела телефизор,вроде когда отвлекаешься на что-то боль не так остро ощущается,потом уже в школе к 3 уроку у меня опять сильно заболели зубы к тому же явно ощущалась,что поднялась температура,так оно и была,придя домой и измеря температуру,она оказалась 37,3,вечером выпила "Кеторол"вроде капилюшечку полегче стало.Ну и конечно же у меня накопилось множество вопросов
1)почему мне брекеты установили не на все зубы,на последние задние 2 зуба с каждой стороны,как на НЧ так и на ВЧ ортодонт не установила брекеты,это нормально?ведь необязательно на все зубы утанавливать или может на задние зубы устанавливаются брекеты со временем 2)я себе представляла немножко по аккуратнее дугу и то,как к ней крепятся брекеты ,я думала это будет просто линия дуги и сами замочки,но у меня брекеты обмотаны какой то железной проволокой и выглядит неочень презентабельно
3)чисто бытовой)))ёршики нужно мыть водой?и через какое время ёршик нужно поменять? и про зубную нить,у меня она допустим не во все промежутки между зубами пролазиет ,вот и я думаю ведь в этих промежутках тогда будет накапливаться налет
или это ничего страшного и когда зубки выпрямятся то тогда уже зубная нить спокойно сможет пролезть везде? Ну вроде на этом все))
Комментарии
Мы с тобой живем недалеко друг от друга, ты в Омске, я рядом с Тюменью ))) Странная у тебя орт, у меня, когда брекеты клеили, она ни на секундочку не отвлекалась
У меня тоже темпер поднимался, а многие говорят, что это не зависит от установки, хотя ты не первая, кого я встретила с такой же проблемой.
1) Ахахха и опять У МЕНЯ ТОЖЕ не на все зубы, это нормально.
2) У тебя очень аккуратно смотрится дуга, она по-моему у всех одинаковая, у любых брекетов, ты можешь, если захочешь сделать ее белой, но с ней говорят, там какие-то заморочки, лучше не надо вобщем.
3) А вот про ершики отдельная тема, ершиком я пользуюсь после того, как зубы почистила осталась такая белая пена, вот тогда и пошел в ход ершик, потом прополаскиваю водой и все. А зубной нитью вобще не пользуюсь, это так утомительно пролазить через каждый брекет, и ничего вроде, орт хвалит за гигиену
Вот как-то так)))
Мне орт сразу сказала,поставишь белую дугу облезет через неделю))И вопрос сразу стал исчерпаным)





И еще забыла написать,ортодонт мне на зубы нанесла какую то смесь,она сказала,что пломбочки,чтобы челюсть верхнюю приподнять,т.к. из за больших передних зубов,они бы начали сбивать брекеты с НЧ,вроде эти пломбы дня на 4 она сказала,т.е. они как то сами сотрутся?просто из за них я жевать вообще не могу((вот и приходится есть одни кашки и пюрешки