Зубки мои, зубки...
Ура! Поставила БС! Вчера! Весь вечер после этого инспектировала http://breket.info
Думала я одна такая паникерша) Поставили пока на ВЧ, орт сказал на НЧ через полгода. И придется на НЧ удалить зубик... (большая потеря, их и так всего 27)
Вчера ложилась спать в надежде что сегодня будет тревожить меня меньше, но нет) Кусать стало совсем не выносимо, поэтому кашка вместо хлебцев ![]()
жевать затруднительно еще по одной причине, на шестерках поставили высокие пломбы, дабы челюсти друг другу не мешали( НЧ у меня перекрывает ВЧ) Тяжело... Пломбы стонут, зубы тоже. Но я тут видела как примерно такие же проблемы как у меня решаются в три месяца... Вдохновилась!
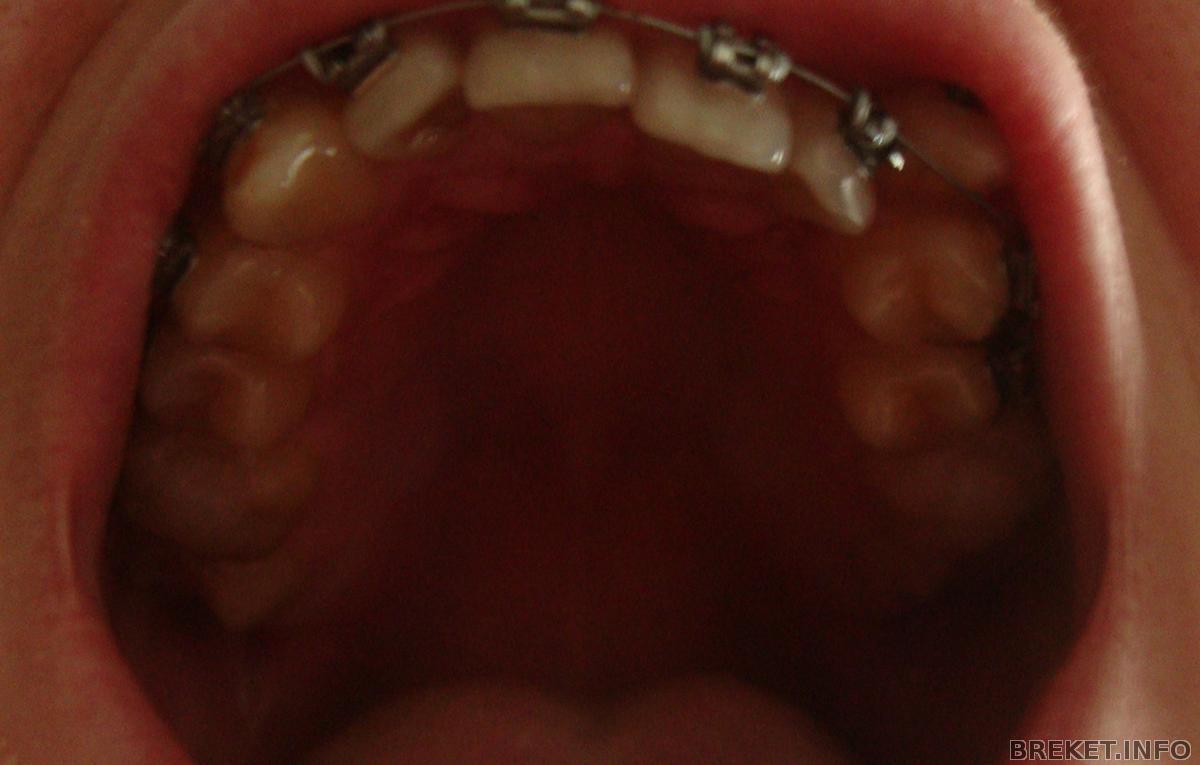
Решила тоже фоткать, думаю буду каждую недельку разглядывать результаты))
P.S.: Улыбнулась коту... Он был в шоке!!
Комментарии
А чего на НЧ только один зуб будут удалять? не боитесь. что центр поедет?
Мой кот тоже как-то странно поглядывает на мои железки
я даже обидилась
Эх, вот и мне по началу говорили про полгода, а потом как вдруг врач хотела даже через месяц НЧ поставить
наверное как дело пойдет
А какой именно зуб удалят на НЧ?
На НЧ пятерочку, т.к. на другой стороне пятерки нет, она не выросла и поэтому все поехало...
У меня молодой человек тоже с брекетами
(целоваться жуууть неудобно)
Ему сначала говорили полтора года... потом сказали до НГ - 13 года снимем, сейчас говорят что возмооожно в феврале на снятие запишут. Так что я расстраиваюсь мне то сказали год полтора...
Вот пойдем с ним пытать орта)))
Вот они)) Я тут почитала что БС еще и разные бывают, капец! Знала бы я раньше.....
Да ну не переживайте за систему! Чем железо плохое? Главное - результат



Поздравляю с установкой! Боль должна пройти дня через 3-4. А вот надкусочные пломбы у меня не убирают уже 7 месяцев. Как же они меня бесят
и так лицо вытянутое, а тут еще и рот наполовину открыт всегда) Ну да ладно, ко всему можно привыкнуть... Хорошо что хоть уже не болят...
А где же первые фотки в брекетах?