имплантация
сегодня у меня появился новый титановый зуб!!!!! ура я сделала это . Операция по вживлению имплантанта была быстрой и безболезненной.
Комментарии
коллаж надо бы сделать ха ха ха из панорамных снимков))))))))))))))
как вы это пережили? как все прошло? меня это ожидает через пару месяцев: очень страшно. Думаю, может, нафиг имплант и поставить мост?
все окей я даже не думала как это все будет происходить и будет ли мне страшно.Пришла в отличном настроение и ушла в еще лучшем главное позитив ))))) и все будет окей ))))) все будет окей)))))
а коронку когда вам оденут?
Поздравляю! А как проходит операция по вживлению импланта? Очень интересно! Тоже предстоит подобная процедура.
и так я пришла в клинику мне взяли кровь из вены поставили ее в центрифугу и получили плазму она нужна для скорейшего заживления т.к в ней много тромбоцитов,далее сделали укол накрыли накидкой виден только нос оказался и собственно рот, и понеслась разрезали десну и раза 4 просверлили в костной ткани дырочку это абсолютно не больно,ощущение притуплены,и потом вкрутили имплантант и зашили и все !!!!теперь надо пить антибиотики швы в понедельник снимать .Коронку будут ставить в июне когда брекеты сниму.
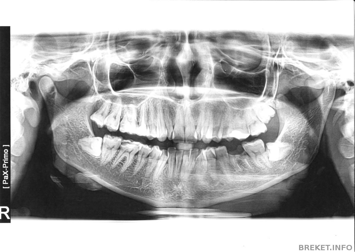
А дугу снимали для операции?
на первом снимке НЧ без дуги, следовательно снимали.
Да снимали что бы не мешало хотя моей чудо хирургичке ничего не мешает ))))) я уж для собственно успокоения сняла.Anetka спасибо за оперативность ))))))
поздравляю=)а после всего этого не болит?
Кстати заживление проходит отлично ничего не болит и не беспокоит.Это не сравнима с удалением зубов.Кто трусит решайтесь- ЭТО круто !!!!
Алирка )))) ты мысли читаешь???)))
я не волшебник, а только учусь=)))
ух


есть фото до хм...............)))))