Непараллельность дуг!
всем привет!
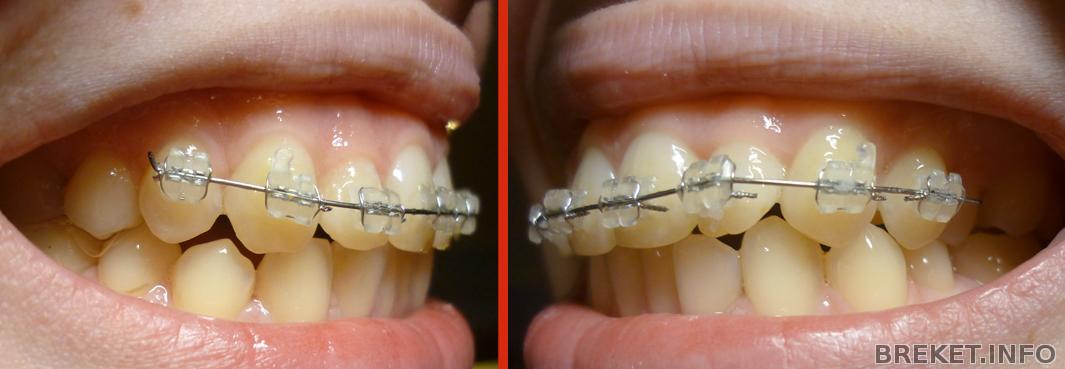
меня вот мучает вопрос: обязательно ли дуги на челюстях должны быть ровными и создавать параллельные линии в анфазе? Вот для наглядности моя фота, на ВЧ дуга уходит вниз в левую сторону...
Норма ли это ( и в последствии все встанет на свои места) или же нужно обратиться к орту?
Комментарии
хм..интересно... может это от того зависит, как брекеты наклеили? но это неправильно ведь...все должно быть симметричным!
Я тоже так думала... каждый раз спрашивала, зачем брекет на 4ке у десны прям нахлобучен.... на второй-то в центре! я в непонятках.... докторша не сдаётся и хранит тайну.))
kira_vСкорее всего изгиб вам сделали, чтобы "утопить" внутрь развернутую двойку. У меня сейчас похожий.
Masha_vesna, брекет выше у четвёрки с другой стороны - а развёрнутая двойка опустилась вниз, кстати)))
kira_vм, так вы про этот изгиб)) Мне почему-то сразу в глаза бросился угол дуги на двойке, он с такого ракурса выглядит, как изогнутая дуга. Мне делали похожие манипуляции, и в итоге за два дня дуга выровнялась и двойка встала, как надо.


У меня дуги по-всякому извиваются, анфас вообще эллипс образуют!
Наверное, это от ровности зубов зависит.