в ступила в ряды!!
ура ура ура !!!!
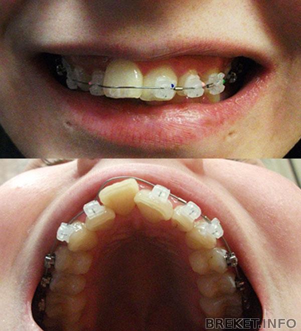
сегодня мне установили БС на ВЧ было все быстро, немного не приятно( сушило рот ), а в основном все прошло куда лучше) меня удивило как мило они смотрятся, мне даже нравятся они на моих зубах. На еденичку правую орт пока сказала что ставить не будет подождет пока место для него освободится) уже успела опробовать их в действии, покушала, было трудно есть мясо. И еще пока что не разобралась как пользоваться воском, не получается нормально налепить,надеюсь со временем разберусь.
А еще меня интересует один вопрос, мне орт при просмотре моего снимка челюсти сказала что у меня челюсть уходит назат и что есть вероятность постановки какова то прибора как она сказала для вытягивание челюсти,люди как это выглядит и что он делает?? я представления не имею и цена у него тож хорошая))
Комментарии
Ещё бы они не нравились - не железные же)))
А мне невидимые так и не поставили, как бы я не настаивал. Мол, хрупкие, лечение дольше, да и вообще мне не подходят.
По поводу воска - я леплю только на кончики дуги, которая щёки колит: скатываю в шарик (1/2 горошины), "нанизываю" на концы дуги и придавливаю по краям (если придавливать всё, то остриё оголится) к зубу. Тольк от слюны надо избавиться, иначе, соскользит сразу. Во время активной еды у меня воск спадает. Вчера вообще сожрал его случайно) Сегодня вообще без него - как не ловчись - геморой
А мне тож говорили что лучше железо, что лечение быстрей и эффективнее, но я не согласилась)) а воск я тож умудрилась налепить на дугу и проспать с ней всю ночь))
буду успокаивать себя этим ![]()
Хотя, всёже, не такие уж они и отталкивающие, железные. Это лет 10 назад ходили с брекетами на всю ширину зуба. Сейчас маленькие. Разговариваю с открытым ртом, не стесняюсь. Ну как разговариваю... На сколько это позволяет пластинка, которую мне тоже поставили вместе с брекетами... Вот она - тот ещё чёрт. Брекеты по сравнению с ней - супер удобный классный гаджет.
может быть такой аппарат имеется в виду?
http://www.youtube.com/watch?v=_bcVUslwDz8&feature=player_embedded
Может быть) я сама в глаза не видела,но мне сказали что стоит этот аппарат 9тыщ,не думаю что эти штуки столько стоят)


Поздравляю тебя с обновкой!!!) быстрого тебе лечения