Вдохновилась на фотоотчет
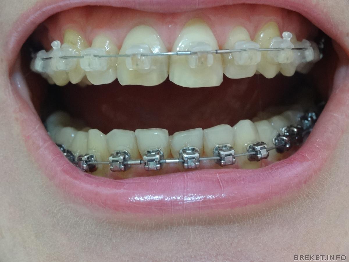
Посмотрела на свои зубки - все устраивает, сняла бы прямо сейчас...Но нет, буду терпеть и доводить все до идеала. Вот такие результаты:
НЧ 10 месяцев:
НЧ 3 месяца:
Даааааааааа, до
Комментарии
очень круто!
05.02.2013 - 14:07
Результат хороший! Поздравляю! ![]()
Но всё-таки над прикусом надо работать, вы уже носите тяги?
05.02.2013 - 14:24
Очень хорошо!
05.02.2013 - 15:00
о тягах пока тишина,я полагаю, что сейчас немного низ подравняем, а там и тяги одену,хотя в самом начале орт говорил тяги в самом конце оденем ненадолго..ему виднее...
05.02.2013 - 15:18
Блин, ребята, смотрю на фото и не верю, что это мои...тьфу-тьфу-тьфу....как же это круто с ровными зубами
05.02.2013 - 15:20




Классно смотрится. Вы тяги для прикуса носите?