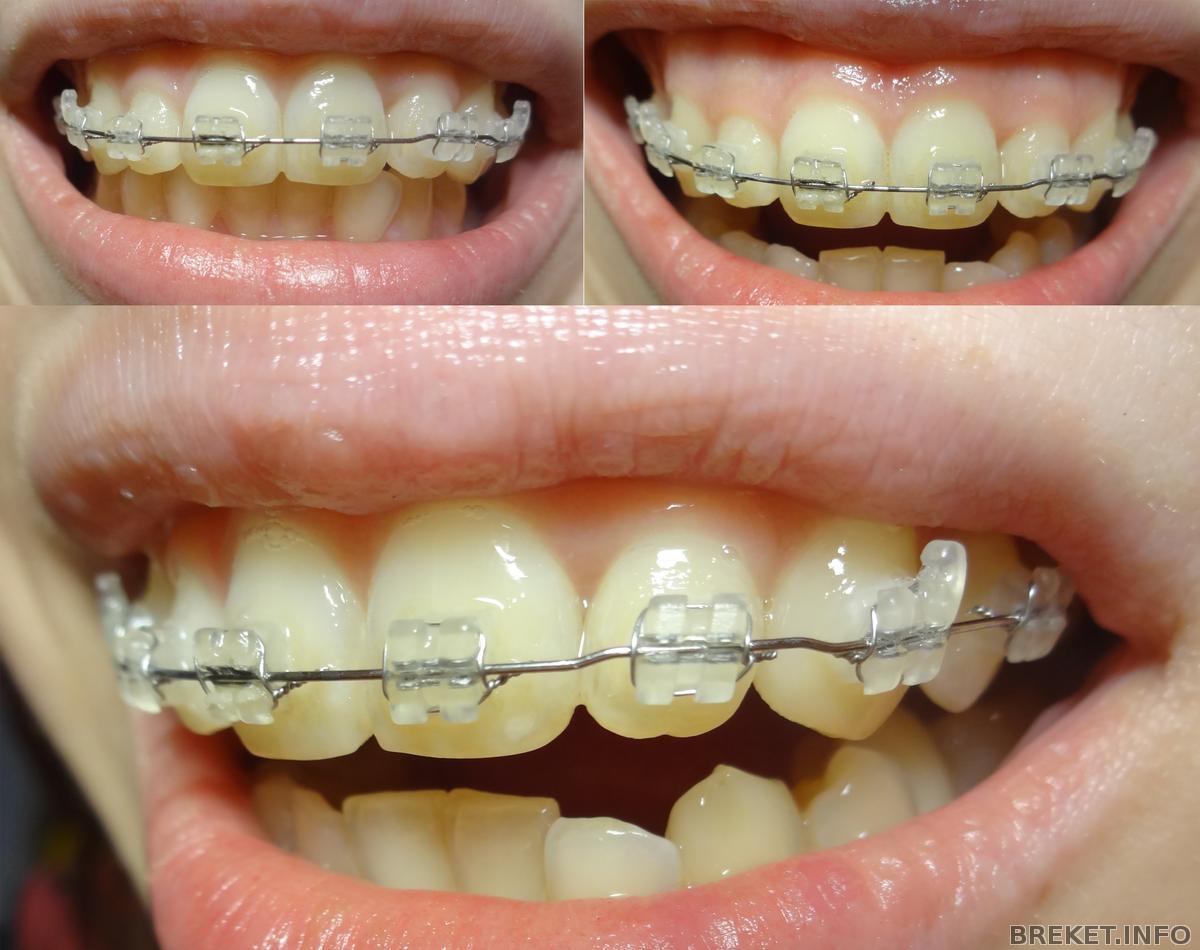
Изгиб дуги
Сегодня была вторая попытка изогнуть дугу, дабы поднять несчастные два зуба до нужного уровня. Сегодня через опять-таки боль и слёзы ортодонт моего ортодонта (вот так, уже командой трудятся) сделала мне изгиб на 22; по поводу 11 решили немного подождать.
Больно неимоверно, но только когда проводили сами манипуляции с зубами - потом пока не трогаешь - не болит.
Двоечка часа за три доползла до того уровня, как я хочу))) Это вселило в меня надежду - ведь теперь остался только один зуб - и, собственно говоря, после его подъёма я буду всем довольна)))
Комментарии
А на низ ставить не будите???
Здорово!
у вас красивые и зубки и брекеты
))
очень красивый зубной ряд
Спасибо за тёплые слова! Когда начинает на зубах получаться то, ради чего ставилась брекет-система - это просто вводит в состояние эйфории)))
Сегодня второй день после изгиба - ничего не болит, зубы чистить не больно (ну наконец-то!).
Т@тьян@, нет, нижние я и такими люблю))) им всё равно места не хватит ровно встать, а удалять не хочется.


надежда это важно -))удачи)