Внезапно
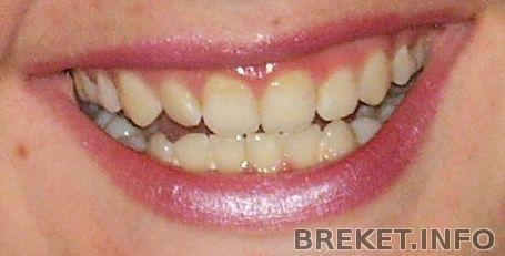
Я наконец-то решила, что пора сфоткать свои зубы, и заметила, что центр у меня совсем не в центре(. Раньше как-то не приглядывалась что ли.
Вот,собственно, фотка. Ну и нижние мои кривули видно.
А вот до брекетов
5 марта пойду на прием, буду просить скорей поставить на низ уже
Комментарии
так я поставила из-за нижних. так-то меня верх вполне устраивал. но орт сказала,что исправлять надо в комплексе
все ясно :)я раньше, наивная, думала, что можно ставить только на ВЧ, если к НЧ нет претензий. Но это большая редкость, когда обходятся одной челюстью...У меня самой на НЧ более-менее ровно, поэтому я всегда думала, что главное - ровные зубы на ВЧ, а на НЧ не так уж критично... СЕйчас, как любой брекетоносец, считаю, что ровно должно быть везде
вот-вот)) брекеты меняют наше сознание) я тоже так думала, но всегда хочется,чтоб было все идеально)
malenkoe_chudo, получается 7 лет назад, вам выровняли зубки, но не выровняли центр и прикус?
получается так(




надо же, с какими маленькими дефектами люди ставят брекеты! зато идеал будет наверняка совсем скоро!