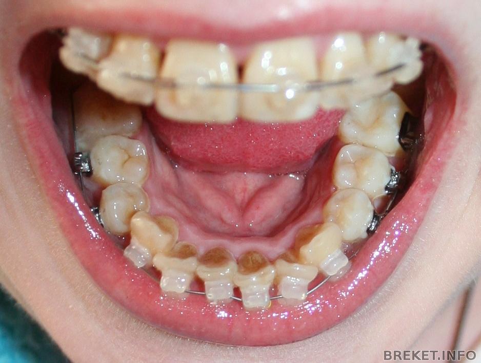
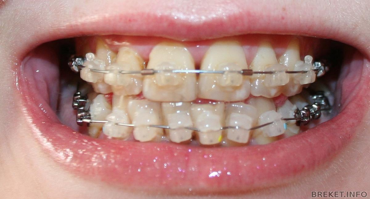
Полный комплект и 2 день с брекетами на НЧ
Всем привет!Теперь и у меня полный комплект, брекетам на НЧ 2 дня.Установка заняла 1,5 часа.На ВЧ поменяли дугу на 3 по счету, квадратную, я и орт уже очень довольны результатами, выровнилось все уже на 95%.По дороге домой на НЧ слетел и был съеден
последний, 6 замочек.Ну ортофеея предупреждала, что наклеен плохо, он мешает и если слетит, то не страшно.Через ЧАС, заболели все зубы, болят до сих пор.Раньше, когда стояли брекеты только на ВЧ, ела все, никаких проблем не было.Сейчас видимо перехожу на все жидкое, ибо жевать больно, я уж промолчу, про то как чистить НЧ больно...
ну да ладно, хорош ныть!
болят, значит движуха пошла)
Комментарии
согласна, что приятно) У меня на НЧ просто скученность большая, двигаются все зубы, вот и болит.
мне на нижней тоже было больнее и тяжелее после установки. но привыкла я к ним гораздо быстрее
у меня тоже скученность, как по мне так просто жесть, фотки сеня выложу.
Поздравляю вас со сроком!



а мне как не странно наоборот есть не очень больно, поэтому кушаю как всегда)) У всех по разному! хотя у меня тоже побаливают, но это даже приятно!!