Ура, поставили))))
Всем привет)))) Решила пополниться в ваши ряды брекитоносцев) После продолжительных походов к ортодонтам, долго выбирала хорошего) И наконец то нашла) У меня в городе не так много хороших ортов, в основном женщины, когда была у них на консультациях обе в один голос говорят нужно удалять по 2 четверки с обеих челюстей, так как скученность зубов и т.д, а зубки эти у меня здоровые и очень жалко было удалять((( И тогда по совету знакомых(мамина подружка ставила у него БС в прошлом году) решила обратиться к орту мужчине: Во - первых все тщательно осмотрел, записал какие зубики подлечить нужно, Во- вторых описал как лечение проходить будет, все в точности как и что, и самое главное, что он сказал, это не надо зубы удалять)))) И вот наконец то свершилась моя мечта 10 марта 2013 года мне поставили БС на верхнюю челюсть)))) Очень долго себя настраивала, как я с ними буду, как люди будут воспринимать, а потом просто взяла и забила, благодаря поддержке близких, а когда нашла этот сайт почитала, как вы все друг друга подбадриваете, и вовсе не страшно стало, хожу уже с ними 12 дней, привыклись как родные, иногда их вообще не чувствую))))
Комментарии
Антонэлла, поздравляю!
Спасибо, за радушный приём
Присоединяйтесь!
Welcome!
Рада приветствовать вас в наших рядах!)))
Спасибо!
поздравляю!!! выкладывайте фотки!
Уррррааааа!! Поздравляю с началом важного пути к красоте и здоровью! Ты молодчина!!
Антонэлла, умничка! Поздравляю!!! Ждем фоточек!!
Поздравляю! Какую БС поставили? Фоточку бы...
поздравляю вас! Вы совершили отважный шаг)))))
Спасибо большое всем, за поддержку
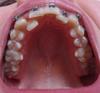
Я поставила БС Damon Q, мне мой орт посоветовал её, сказал, что с ней срок ношения уменьшается, и носить минимум год, максимум год и 3 месяца
Ок, я не фотографировала первые дни((( Сейчас сфоткаюсь, выложу)))
Аккуратненько Q смотрятся. Я себе такие же ставить буду!
Вот ещё вопросик))) Кто как эмаль укрепляет?) Мне орт сказал, пастой с кальцием зубы чистить) Ну ещё ополаскиватели и нити зубные)
Конечно ставьте, я к ним за недельку привыкла, и по цене приемлемые и очень удобные))) А вот на нижнюю 13 апреля ставить будут)))
Антонэлла, и у меня Дэймон Q! Я укрепляю специальной пастой http://breket.info/blogs/1073759584.
Вот статья, почитайте комментарии, может пригодится
Пасибо, попробую
Антонэлла добро пожаловать в наши дружные ряды.
*поставила БС Damon Q, мне мой орт посоветовал её, сказал, что с ней срок ношения уменьшается, и носить минимум год, максимум год и 3 месяца* ухаха, мне мой орт тоже точно так же говорил) прям слово в слово.....но на деле оказывается что от вида бс не особо что-то зависит.
Спасибки
А вы какой вид БС носили (носите) и сколько по времени?)
деймон кью уже более 2.5 лет)
Ого - го, как долго,а сколько ещё носить?)
думаю, еще полгодика где-то)
это я о том, что начальные прогнозы не всегда сбываются...кто-то меньше носит, а кто-то больше.
Спасибо, что предупредили) Буду себя на всякий случай настраивать на срок ношения побольше))))



Добро пожаловать!