большой пост (не про еду) про устаноку
ПРивет всем! Начну издалека - в четверг у меня откололся кусок зуба и я записалась к своему терапевту на прием на пятницу утро (а вечером у меня установка) пришла вобщем все сделали и как обычно разговорились, терапевт у меня молодая девушка и у нее улыбка ну просто мечта любого из нас, таких ровненьких и беленьких идеальных зубов я не видела никогда, так вот я ей сказала что у меня установка вечером и что я сомневаюсь насчет ортодонта на что она сказала что сама ставила себе брекеты именно у этой женщины и что она супер пупер врач, дотор наук там профессор в университете преподает и тд и тп но просто она всегда сердитая и молчаливая, и что даже ей(моему терапевту) она особо не рассказывала план лечения ))) ну вот такая манера у доктора... поэтому я в конец расслабилась и решила довериться (ну вот такой я доверчивый человек).
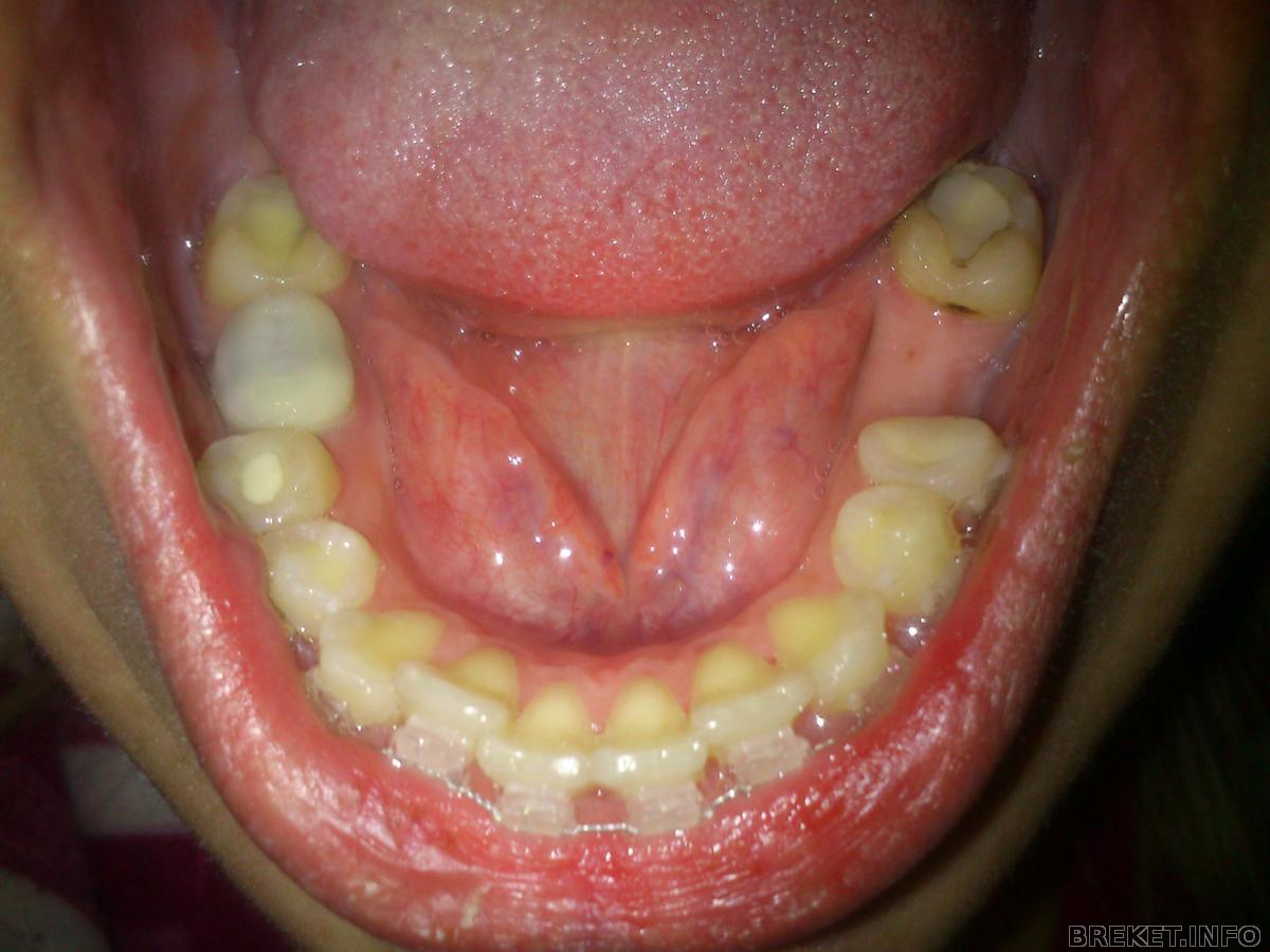
НАступил вечер... сначала пока не забыла хочу посоветовать всем будущим брекетоносцам назначать себе установку на утро
потому что пока я до вечера дожила я чуть вся не извелась ))) так уже хотелось поскорее их поставить.
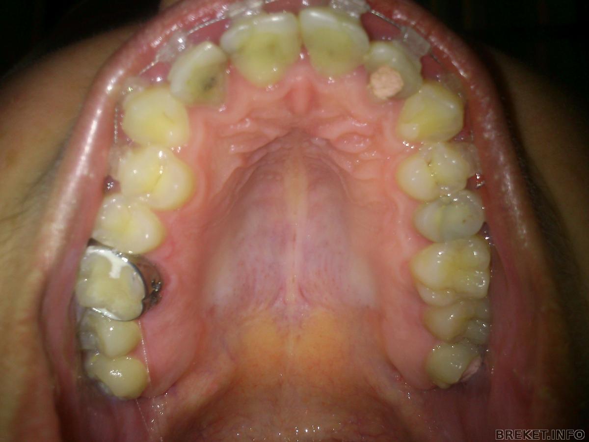
Все прошло очень быстро и совершенно безболезненно. Я так и не поняла почему многие боятся расширителя??? когда мне наклеили ВЧ дали отдохнуть минут 5 потом принялись за НЧ доктор все делала сама и паралельно все рассказывала все то что я уже знаю от вас ))) про уход про еду про боли ))) короче чуство конкретной стянутости я почуствовала в тот же момент как она натянула дугу... сразу мне все понравилось и я ехала домой и постоянно улыбалась. По дороге домой очень жалела что в машине на панели нет маленького зеркальца ))) на каждом светофоре отворачивала зеркало заднего вида чтоб полюбоваться на свою "практически голливудскую улыбку" )))))))) заехала к подруге похвасталась она сказала что мне идет и с брекетами я выгляжу моложе, муж сказал "Думал будет хуже" теперь он мне должен новые туфли за такую оценку
) попыталась пить теплый чай что то не приспособилась то обливалась то захлебывалась в итоге выпила через соломинку, попробовала есть мягкое мяско и мягкий хлеб не понравилось... потому как губы уже натирало и кайфа я не испытала... жесть началась очень быстро... если мне из поставили в 8 вечера то уже в 11 вечера я начала конкретно так ощущать боль на внутр стороне губ... но залепив все что можно воском пошла спать... проснулась от боли... везде... болят обе челюсти полностью особенно нижняя не могу даже разговаривать от боли... кароче адддд. желание есть пока не появилось как и чистить зубы...(обычно я иду чистить зубы еще с закрытыми глазами
)
Комментарии
Поздравляю!
Спасибочки
брекеты для меня как дети - хоть они и доставляют неприятности любить их меньше я не стану!!!
Поздравляю) Боль не терпите - пейте обезболивающее, скоро привыкнете.
Поздравляю!!!! У меня уже 3 день все болит.Кушать хочется.Так что у вас ещё все впереди (я коварная)
Ксен, да, выпила кетанов почуствовала себя человеком. Сварила курочку набросала туда вкусного хлебушка и смолола это все на блендере - наелась ))) еще банан тож на блендер пустила так даже больше понравилось... подскажите. а сколько раз в день его пить можно? или можно чередовать с нимесилом?
Дашуля, спасибо коллега!!!
поздравляю)) у вас очень крутой ортодонт, судя по всему... скоро будут очень красивые зубки!
Муряка, ждем ждем ждем! Хожу проверяю каждые пол часа
поздравляю с установкой)) да да, желание постоянно лицезреть себя в зеркале присутствует постоянно))) мой молодой человек уже подкалывает по этому поводу
говорит,что я не зубы полчаса чищу, а брекеты в зеркале рассматриваю
точно!!! у меня теперь маленькие зеркальца везде лежат и в машине и в сумке и в кармане детской коляски )))
vsElenka, у тебя все просто прекрасно, по сравнению с моим заборчиком, так что твой результат виден будет виден в скорейшем времени! Поздравляю с установкой!!! Я тоже пялюсь в зеркало частенько
Как интересно, у всех боли и дискомфорт начинаются в разное время!
Mexx, надеюсь что скоро! Кстати боли как резко начались так же резко и закончились... очень сильно болело только 2 дня а на третий день я уже могла кушать более менее нормально.




С установочкой!