Уррра, или маленькая пробеда)!
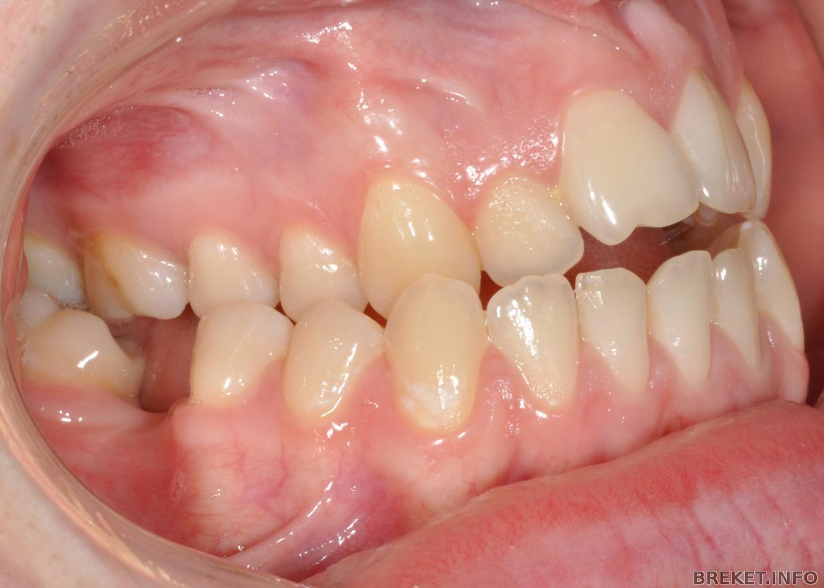
Это наконец то случилось!!! Сегодня (3 месяца 9 дней ВЧ) упорный клык сдался!!!!! ![]()
Радости моей нет предела))) не могла не поделиться))))
Столько сил было потрачено - два месяца круглосуточного ношения разобщающей капы, 5 пакетов тяг - 3 пакета антилопы и 2 кенгуру (звучит конечно...
), исцарапанный о лингвальные кнопки язык
!
Но этого того стоило))))
30го числа следующий прием, послушаем,что скажет ортофей))))
P.S. Создала альбом "до". Вдруг,кому то будет интересен мой случай
И конечно же фото маленькой победы:
И теперь улыбка -
Трям))))
Комментарии
Cергей, спасибо
как ни парадоксально, но это все благодаря брекетам.
Я о них мечтала лет с 15ти, и не понятно,что сейчас сильнее радует, результат или воплощение мечты, которая восемь лет меня не покидала
Действительно, лицо заметно преобразилось! Красавица!!!
Глаза красивенные!!! и улыбку, конечно, не сравнить вообще с тем, что было, это как будто зубы разных людей) Желаю дальнейшних побед!
всё таки как с исправлением зубов меняеются черты лица) !
красавица )
podelkina, Nixe, katya milaya, спасибо большое девочки))) самое главное изменение еще впереди - борьба с подбородком
А как Вы с подбородком будете бороться?
Что конкретно предполагаете делать?
Очень хорошо)))
А на фотке с улыбкой, вообще кажется, что все уже полностью исправлено)) небо и земля просто!
Поздравляю!!! Продолжайте в том же духе
Riga, Перемещать 7ку и 8ку (закрывать промежуток), удалять 6ку симметрично (слева, мертвую) и там двигать 7ку и 8ку.
Тяги + миоаппарат - для того,чтоб научиться правильно глотать ( инфантильный тип глотания).
Как я поняла, у меня одинаковые "ветви" и с суставом все в порядке. Просто из-за удаления 6ки поехал весь низ, и вместе с ним подбородок.
Вот два фото 1ое- до удаления:
2ое - через 2 года после удаления 6ки:
Получается, чем больше времени проходило, тем сильнее "ехал" подбородок.
Это дает мне надежду и силы для борьбы)))
Muha, спасибо)) на фото я просто искусно спрятала открытый прикус
Да действительно победа, очень рада за Вас... просто красота!!!
Очень здорово!!!




С каждым месяцем всё хорошеете и хорошеете)) Не только на зубах сказывается!