Казнить нельзя помиловать...

... или можно ли обойтись без удаления?!
При подготовке к ортодонтическому лечению, я, побывав у 2-3 ортов, с трудом, но все же смирилась с той мыслью, что удаления (4-рок, скорее всего) не избежать и уже как-то решилась, чем быстрее удалю, тем быстрее будут видны результаты лечения. После слепков первым вопросом был такой - уже можно идти на удаление? Этим вопросом я задавалась на каждом приеме, но, то челюсть недостаточно расширилась, то еще какие-то нюансы. И вот, начиталась я тут про сепарации как альтернатива удалению, и на приеме у орта (ВЧ =6 мес) огорошила ортофею несвойственным мне вопросом - а может сохраним зубки и ограничимся сепарацией? Орт ничего определенного не ответила (удалять еще рано все равно, челюсть не симметрично расширена) и сделала мне небольшие щелочки между 1 и 2 на ВЧ.
Вопрос к опытным брекетоносцам-почти-уже-ортодонтам: в моем случае возможно ли обойтись без удаления?
За качество фоток прошу прощения.

Первый день БС на ВЧ.jpg
это в самом начале пути

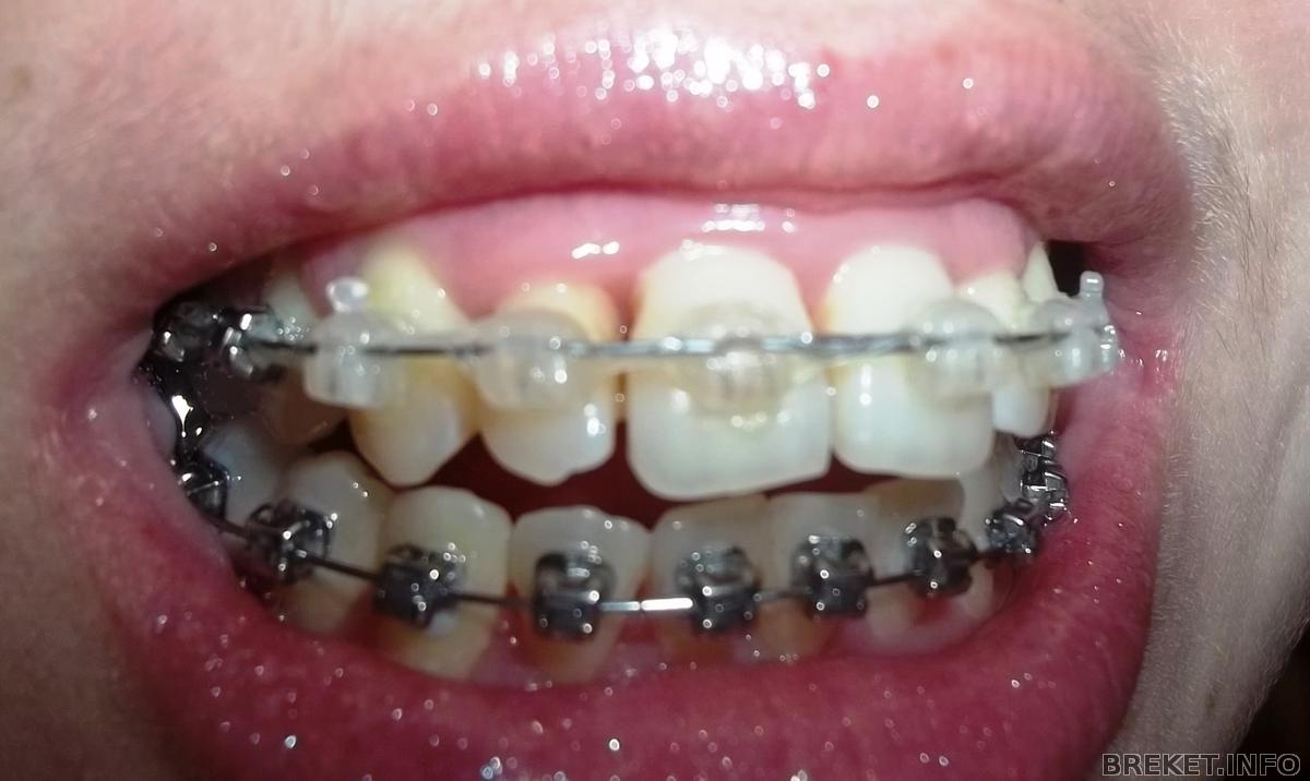
ВЧ 6 мес
- ВЧ 6 мес. Тут видна щель (сепарация между 1 и 2)

1 день - 6 мес

13.05.2013 - 17:04

Комментарии

ну лично мне кажется, что места маловато и без удаления зубы просто будут торчать вперед, а это некрасиво

13.05.2013 - 18:16

У нас похожие зубы! Сегодня удалила зубы! Да и я против сепарации!
В моем случае предлагали два варианта: сепарация или удаления! Остановились на удалении!
Собирались удалить позже, но зубы начали разворачиваться и пошли еще сильней вперед! Поэтому ортом было принято решение удалить сейчас!

13.05.2013 - 18:22

сомневаюсь, но вашему врачу виднее... вы предпочитаете обтачивание эмали со всех зубов удалению двух зубиков?.... напрасно, да и сепарация вам не даст столько места...

13.05.2013 - 19:48

Казнить. У вас приличная такая дистальная окклюзия за счёт верхнего зубного ряда. "Лечится" удалением.
Сепарация не панацея!

13.05.2013 - 19:48

Я тоже за удаление.
Считаю, что лучше отмучиться сразу - зато вероятность, что потом все будет супер - гораздо больше. Чем если вы их сейчас отвоюете, а через полгода сами сокрушаться будете, что врача не послушали.

13.05.2013 - 20:51

у меня была похожая ситуация с вч, орт долго пробовал без удаления(1.5 года), ничего не получилось, наклон зубов так и остался, затем было удаление, и только после него все стало как надо, помимо удаления, уже потом, когда промежутки были затянуты, места зубам все равно было мало, и пришлось много сепарировать все передние зубы, а именно между 1, 1и2, 2и3, 3и4(5) зубами. так что мне кажется что без удаления и вам не обойтись. просто у меня было точно так же. и очень жалко что не удалили зубы сразу, много времени было потеряно

14.05.2013 - 09:50

Ага, согласна со всеми, у меня тож также зубы вперед. 3 месяца проходила, зубы начали кривиться, пришлось удалять... так что не тяните с этим вопросом, чтобы не ходить просто так.

14.05.2013 - 10:57

Всех благодарю за участие и Ваши ответы!
MaryLU26, т.е Вашему орту понадобилось аж 1,5 года, чтобы понять - удаление неизбежно?!

14.05.2013 - 16:40

Резедушка, ага. после этого я сменила орта и наклон мне уже убирал другой орт с удалением и сепарацией

14.05.2013 - 16:48