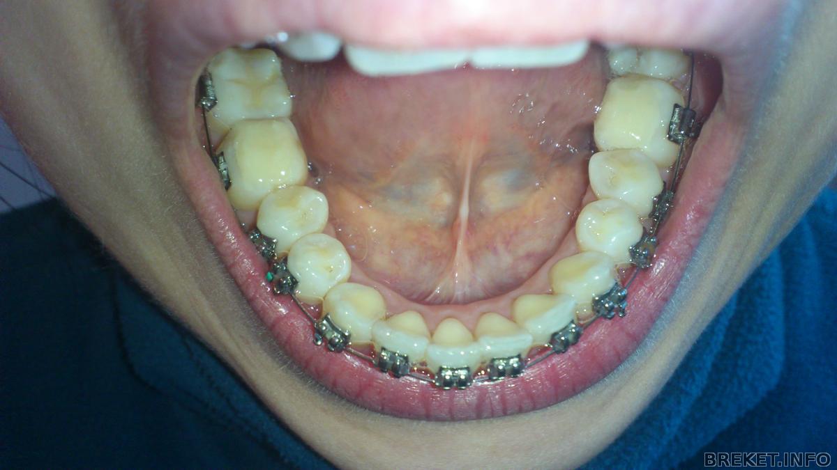
установили БС на НЧ
ну вот, сегодня поставили мне БС на НЧ, с такой радостью шла в клинику
, вся процедура заняла где-то минут 40, собирались ставить на 6-ки кольца, но т.к. места между зубками очень мало, то пришлось клеить на них брекеты (такая же ситуация была и с верхней челестью, резиночки не помогли). и вот после установки, смыкаю я челюсти и чувствую, как мои верхние зубки задевают БС на НЧ
так моё настроение сразу улетучилось и я поняла, сейчас будут наносить надкусочные пломбы
и вот сижу теперь, голодная, толком не покушать, не пожувать, да и ощущение такое, что и вкус еды нормально не чувствуешь, надеюсь, что и к этому тоже можно привыкнуть!
и еще интерестно, как долго носить эти пломбы, хотела спросить свою ортофею, но не успела...
Комментарии
Поздравляю!
то пришлось клеить на них брекеты
А чем хороши кольца на 6-ках? И чем плохо, что приклеили брекеты?
какие у вас зубки красивые, я бы с такими про брекеты даже и не думала)))
а пломбы сотрутся довольно быстро, вернее они обточатся так, что не будут мешать, через месяц вы о них полностью забудете!
Поздравляю!НЧ у вас ровнюсенькая))а мне это действо предстоит завтра)))
поздравляю! У вас очень красивые зубки, результат будет потрясающим))) не переживайте, дискомфорт скоро уйдет, организм ведь ко всему привыкает))) у меня тоже было смыкание в трех точках, первые месяца 2, потом верхний зубной ряд расширился и стало легче))), хотя 8ка по прежнему сомкнуть зубы нормально не дает
спасибо, девочки за добрые слова! ![]()
lena. я вас поздравляю! ![]()
Kristina-amur если честно, с одной стороны я очень рада, что мне не надели кольца, из-за гигиены, думаю за ними было бы сложнее ухаживать, с другой стороны, если я правильно поняла, кольца сильнее давят на зубки, заставляют их лучше двигаться, скажем так, ведь у 6-ок мощные корни.
Apple100 спасибо за комплимент
, на НЧ зубки меня в принципе устраивали, но вот верхний клык
, только из-за него БС поставила, ну и прикус конечно далеко не идеален! вы меня утешили, ох уж эти пломбы! ![]()
Zzelenka спасибо большое и удачи вам завтра!!! ![]()
Геката ну засыпали меня комплиментами!
ох, как же я жду этих перемен, уж ооооочень не удобно с пломбами! ну ничего, красота требует жертв! удачи нам всем!



Мне тоже сегодня на НЧ поставили