1,5 года. Новые глаза, в ожидании новых зубов
Всем, кто помнит мой пост о том, что я собиралась ставить внутриглазные линзы и тем самым откорректировать зрение, сообщаю: все получилось, теперь я - обладательница 100% зрения! Те, кто с очками и линзами мое счастье, думаю, поймут.
Как это было? Да ничего такого страшного, сделали в операционной небольшой наркоз в вену - наступило состояние эйфории или легкого алкогольного опьянения (правда, медсестра попала в сосуд и я пугала коллег по работе неделю черным синяком на руке).
Потом на глаз с одной стороны прилепили комок, который при разворачивании стал небольшой клеенкой на все лицо с дыркой для глаза. Под нижним веком сделали отверстие и вставили туда линзу, свернутую в трубочку. То же сделали со вторым - и я уже свободна. Все заняло не более 20 минут.
Это было в четверг, в понедельник я уже была на работе. Месяц капли капать, но это уже мелочи.
Вот так глазки выглядят сейчас. А, краситься еще месяц нельзя. Удивила коллег "натуральным" видом.
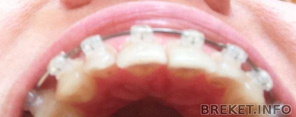
Зубки я тоже зафиксировала новым телефоном, как и собиралась - все-таки 1,5 года.
Изменений на данном этапе не происходит никаких - боремся с двойками, они меня достали своими плясками
да тянем 8-ку.
Но дело идет, медленно, но верно. Раньше мизинец на ширину отсутствующей 7-ки помещался, а теперь только язык и то боком.
Сегодня новости - оборвался чейн, которым соединены 8-ка с 6-кой. Первый раз такое! Пойду на след. неделе внепланово - только через 2 недели плановый прием, и жаль потерянного времени, если зуб будет гулять.
Вот такие дела. Начинаю обратный отсчет-очень надеюсь до Нового года отстреляться.
Комментарии
впервые слышу о внутриглазных линзах.
Mari_ya, спасибо за поздравления! Меня коллеги неделю ходили поздравляли на работе, а вообще просто убила коллега, которая была, видимо, под таким впечатлением от произошедших со мной изменениях, что ей приснился сон, в котором вопрошала: "Что же ты раньше очки не сняла??? Какие у тебя глаза зеленые огромные!" (Ну вообще-то у меня серые-пресерые, но у нее, видимо, свой ассоциативный ряд был
). Короче, ржали мы над этим эпизодом долго!
А то, что именно установка БС сподвигла меня на мысль, а почему бы и нет - это чистая правда!
Вот глянула на фотке, какая у меня носовая перегородка кривая (въехала в детстве в дубовый стол носом)- подумала, а не сделать ли пластику носа)))))
Jane_Demina, почитайте у меня в дневнике для общего развития - там я статью с сайта клиники поместила. Они показаны людям с большими минусами, астигматизмом, сухостью глаз (как в моем случае) - "за пределами лазерной коррекции зрения".
И я впервые слышу! Расскажите подробнее пожалуйста, что это, на сколько по времени и сколько стоит. Я тоже слепая курица и уже 15 лет хожу в линзах
Коллега с юмором конечно))))
Кстати, пластику перегородки тоже лазером делают под местным наркозом) 10 минут и никакого стационара) все в Ваших руках
и с дубовыми столами поаккуратнее)))
Mari_ya, благодаря Вам следующий шаг к самосовершенствованию стал совершенно реальным! Предлагаю перейти на Ты).
Инвизилайн, у меня целый пост был по этому поводу - там очень подробно написано, что это. Новые технологии, линзы делают по индзаказу в Швейцарии. Преимущество в том, что, в отличие от лазерной коррекции зрения, роговица не повреждается. А линза вынимается по показаниям, например, когда мне стукнет лет эдак 60, и у меня начнет развиваться дальнозоркость. Была и есть сухость глаза, поэтому я выбрала именно этот способ коррекции-после ЛК глаза медленнее заживают сухостью. Стоимость с операцией 3,5 т. у.е.
мои поздравления)) надо же, чего только не придумают! прогресс) осталось 8ку на место поставить. кстати, о ринопластике я тоже подумывала
у меня вообще носик не маленький) но мне это никак не мешает правда, бугорок мне не нравится( как же вме-таки БС круто меняет жизнь...
Здорово! Поздравляю со всеми событиями
а давно ли вы тянете 8?? Мне предстоит это....очень интересно
Какие диоптрии у вас были до ? У меня например -11 ,
Насчет глаз - вы герой! Желаю, чтобы и зубки быстрее встали на место!
Поздравляю со всеми изменениями и событиями! Вы очень решительная и это достойно восхищения) Я тоже очень хочу откорректировать зрение, про ваш способ узнала впервые и теперь буду рассчитывать и копить деньги на него! Он мне внушает больше доверия, чем лазерная коррекция. Спасибо вам большое за информацию, ещё почитаю у вас по ссылке.
Я прочитала тоже и прямо загорелась! Хочухочухочуууу!!!
А вам говорили про какие-то ограничения после операции кроме макияжа? Может быть, плавать в бассейне пока нельзя, спортом заниматься?..
Я согласна ![]()
П.с. Кстати я наконец-то недавно задумалась и решила таки удалить миндалины, которые с трех лет не дают покоя (от мамы в наследство достались, блин). Так что жду снятия бс, с ней удалять их боюсь)
Поздравлю с успешной операцией!
Я с 10 лет очки ношу,с 14 лет линзы. Хотела лет в 20 сделать лазерную коррекцию зрения,но мне такие ужасы нарассказывали,что теперь хочется и колется
Долгое время не заходила на этот сайт... Зашла, столько нового узнала!!! ![]()
Внутриглазные линзы, пластика носа лазером, ВАУ ![]()
У меня вот тоже нос не очень ровный, кривизна примерно как у автора. Я думаю, будет очень тяжело выровнять несколько миллиметров, которые и кривят нос. Вдруг после операции нос закривится в другую сторону ![]()
Лучше с легкой ассиметрией жить, зато СВОЕЙ
поздравляю! смело!
мне вот тоже во время второй беременности нашли отслойку сетчатки (если не ошибаюсь) и тоже нужна лазерная операция! но я боюсь! не иду к врачу даже! Хотя когда решилась на установку БС тоже задумалась и о глазках и об исправлении перегородки в носу и об абдоминопластике))) видимо все таки БС меняет не только наши зубки)))
cake_lime, все в наших руках! Если очень захотеть - можно в космос полететь!
лаМпочка Спасибо за поздравления! Серьезно занялись подтягиванием где-то полгода назад - до этого занимались скученностью. Дело медленное - миллиметр в месяц. Но с к жадым миллиметром скорость движения увеличивается - это и орт сказал, и я заметила.
tratatulia - -4,75. А ваши -11 - это самое оно! Такого комфорта я не помню со школьной скамьи! Спасибо за поздравления!
medina - спасибо! Я тоже желаю вам скорейшего продвижения!
KalaVinkaBird - рискуйте и не сомневайтесь! Смелость города берет - проверено мной) А по поводу ограничений - нельзя месяц краситься, плавать в открытых водоемах, на улице ходить только в солнцезащитных очках. Вроде б все.
Mari_ya, обязательно напиши, как пройдет процедура! Не забудь! Я тоже напишу про нос!)
Gleek - сейчас много способов коррекции, совершенно разные - и рефракционная терапия, и внутриглазные линзы, я уж не говорю про банальную лазерную коррекцию. Я предпочла самый безопасный вариант. Желаю вам оптимального принятия решения!
alialvador, уважаю Ваше мнение, но сама считаю, что совершенству нет предела, а окружающим все равно, каким образом я исправляю свои недостатки! Заглядывайте к нам почаще!
VikiTory, видимо все таки БС меняет не только наши зубки))) Подписываюсь под каждым словом! для меня установка БС стала вообще просто трансерфингом реальности! Теперь смотришь на жизнь с той точки зрения - что НЕТ НЕИСПРАВИМЫХ МЕСТ В ОРГАНИЗМЕ!!!! Только желание должно быть! И ты не поверишь, но прежде чем сделать эту операцию - мне подпаивали сетчатку! Зря не идете к врачу - процесс не больнее лазерной эпиляции. Одно только могу сказать - жесть была, когда под глаза после подпаивания кололи уколы. Я сначала думала фото сделать, в альбом положить - но потом подумала, народ будет в перепуге и передумала. пару дней вид алкашки был, отлеживалась дома, пока лекарство не рассосалось.
Ennelyne, спасибо, что сказали про "подпайку" на много подробнее, чем мой врач
. Раз говорите, что это не так уж и страшно, начну думать в этом направлении)))
Напишу, только это вряд ли скоро будет т.к. снимут мне еще нескоро))))) а про нос я буду ждать
привет! я сначало тоже хотела глазки сделать, у меня -2.5 (не особо много, но напрягает! знакомых на улице могу не увидеть и мимо пройти не поздороваться )))), но меня все отговорили, типа с возрастом меняется зрение и все исправится может, вообщем пока решила зубки сделать! потом наверное все-таки и глазки решусь сделать!
Mari_ya, ну насчет носа не заржавеет - та клиника, где я прозрела, оччень многопрофильная и, думаю, такие прибамбасы там тоже делают.
Светлана, конечно, если зрение нестабильное - это не вариант. А у меня уже лет 8 на одном уровне. Не прогрессировало в худшую сторону и не улучшалось. А улучшение с возрастом - это годам к 55-60, я не захотела так долго ждать). Я тоже, кстати, начала с зубов - на операцию нужно было справку от стоматолога, так я такая модная, просила у орта справку, что свидания у нас регулярные и плодотворные. Поверили
Девочки, вы супер! Восхищаюсь!
Olmi, так приятно)))
У нас тут одни единомышленники, честное слово! Видимо, с брекетов закалялась сталь)) А потом пошло-поехало)))))
Да уж! Пошла в зеркало попялилась, погримасничала-морщинки под глазами увидела и мысль понеслась..



Какая Вы смелая...)) только позавидовать могу! Для меня тема глазных операций и вообще глаз почему-то всегда была очень болезенной, хотя никогда с глазами (тьфу-тьфу) проблем не было. Как раз недавно на одной из пар в инсте (у меня специальность биомедицинские системы и аппараты) рассказывали нам доклад о лечении глаз лазером и т.п. с "яркими, запоминающимися и показательными" видеороликами
Поздравляю с тем, что Вы на это решились и все прошло успешно! Который раз вижу, что во время лечения БС люди исправляют и другие недостатки. Это просто замечательно