Первый день, ееее)))
Установка прошла успешно! БС мне поставила новый ортодонт, она очень приятная оказалась, но не сильно разговорчивая. Слепки сделали в воскресенье 09 июня, и ждать еще неделю до следующего приема было не возможно, мне вот приспичило скорей сделать вот и договорились на этой неделе 12-го в 12, но в другой клинике (она то тут, то там периодически).
Установили на ВЧ Damon Q, ура ура!!!
Ощущения странные конечно, но к этому можно привыкнуть, сейчас учусь улыбаться по-новому ![]()
Пока ничего не болит, и теперь в голове роется еще одна мысль - что бы такого съесть не твердого... Не уверена что долго проживу на йогуртах..
не очень люблю их...
И я так рада за себя, что стала на шаг ближе к своей мечте))
Комментарии
Спасибо
)) Я только после установки заметила, что как-то все по-другому стало, визуально. Эти замочки заполнили пустое пространство и улыбка стала "шире" ![]()
И многие не понимали и не понимают до сих пор зачем я поставила брекеты, но при рассмотрении все очень жутко
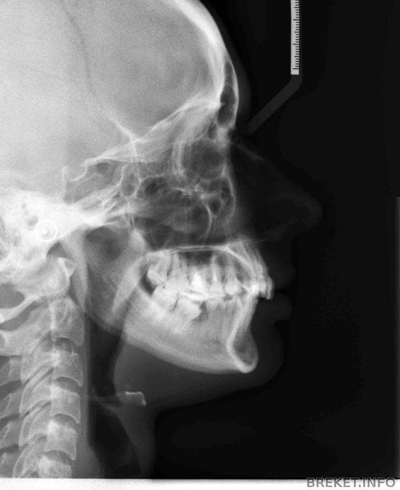
единичка заползает на другую, клыки странно повернуты, улыбка казалась "квадратной", ну и прикус не правильный, вот ТРГ
Поздравляю с установкой!!!
Спасибо Маргарита ![]()
Я смотрю ты тоже недавно установила, и я тебя поздравляю!!
Поздравляю! ![]()
Тоже первые дни терзала мысль о еде, но как оказалось, кроме йогуртов существует много других вкусностей, стоит лишь проявить фантазию.
Блендер в помощь
Спасиб, да, уже привыкла!!
Поздравляю:)
Спасибо всем ))) всем удачи и терпения ![]()
По поводу еды, были испытаны вареники, мягенько и безопасно
а с блендера теперь нужно стереть пыль и поискать рецепты, очень нравятся супы-пюре
рецепты можно и не искать))) Я им мельчила всё, включая жареную картошку и салат из черемши)) поздравляю!))
Поздравляю с установкой! Удачи в лечении
поздравляю с установкой!))) главное - позитивный настрой уже есть, а остальное приложится!
спасибо ![]()
позитивный настрой благодаря этому сайту, где столько единомышленников, как тут печалиться?)))



У вас проблем-то немного с зубами, наверное, быстро всё выравняется. Зубки у вас замечательные!