1 год 10 месяцев и 11 дней. Упорный зуб ДВИГАЕТСЯ!!!!
Всем доброго летнего дня ![]()
Наконец-то на Урал пришло лееееето ![]()
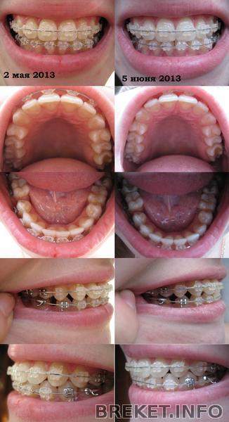
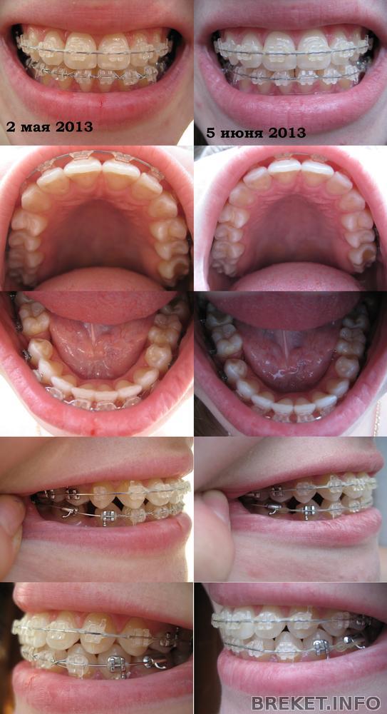
2 июня НЧ исполнилось 1 год и 10 месяцев, 10 июня ВЧ отпраздновала 1 год 8 месяцев. Мыслей и эмоций много...
Начнем с того, что на предпоследнем приеме было полное НЕПОНИМАНИЕ с ортом, разговаривали на не очень приятных тонах, вышла от нее без настроения продолжать лечение, но..позавчерашний прием все исправил ![]()
Продолжаем закрывать промежуток от 5-ки и... 6 ЗУБ НАЧАЛ ДВИГАТЬСЯ!!!!
Неужели он начал сдаваться через такой большое промежуток времени!!! Я рада, очень рада, но теперь хочется, чтобы он двигался быстрее, а то надоело с БС ходить
Предполагаем еще целых ПОЛГОДА продолжать лечение
Я ооооочень хочу снять БС до НГ! Получается, что это уже ТРЕТЬЕ лето с БС, о ужас..
В целом НЧ мне не нравится, все как-то неровно, щели-дыры, смыкание ужасное да и вобще форма мне не нравится, не идеальная по дуге. Сняли металлическую цепочку и сразу щель впереди образовалась, причем эластичная цепь не может его закрыть
Орта говорит, что красоту будем наводить после закрытия промежутка, перед снятием и чтобы я сейчас не обращала внимания на какие-то мелочи.
Ну на ВЧ ничего не меняется. Только центр уезжает все сильнее и сильнее, что выглядит просто отвратительно.. Начинаю стесняться улыбаться
Спросила про сепарацию для сдвига его в другую сторону, вроде бы она не против, но это, опять же, перед снятием..
Порадовали зубки меня своей дикой чувствительностью, думала умру, больно было очень. Но сейчас вроде прошло, только иногда бывает чувствуется реакция на холодное-горячее-сладкое-воздух. Это все от тяг. Снимаю их-сразу все хорошо. Врач сказала, если такая реакция, значит нужно сделать перерыв от тяг. Одевать их только на ночь (хотя толку-то, все равно не помогают)
А еще наконец-то купила монопучковую щетку Курапрокс! От цены в шоке была - 366 рублей! Больше нигде не видела монопучков, а тут в ТЦ стоматологический бутичок, но там конечно все дороже(
вот такой
А вот сравнения за последний месяц, разницы нет
Комментарии
Натали, спасибо большое за поддержку)
Ты тоже многое пережила с БС и долго носила! Фото не передает всего ужаса
Надо сделать фотку снизу, тогда все будет понятно.
Орта сказала, что идеально не будет и щели будут... якобы потому что мы на НЧ удалили зубы, а на ВЧ нет.
А мне все очень и очень нравится)) поздравляю с такими замечательными результатами! У некоторых и такого может не получится))) так что выше нос
Я в самом начале пути, поэтому ваш рот для меня просто сказка! И форма зубов просто загляденье
Сашулька, ну ты чего?))
По мне так у тебя результат просто сногсшибательный!
Не вижу ни единого повода стесняться улыбаться!Из-за центра вообще не стоит париться, он ездит куда угодно вообще, когда щели закрываются. Мне ооочень нравятся твои зубки!
На счет усталости- прекрасно понимаю. Все мы от этого устаем, но по моему - снять до НГ это уже очень даже оптимистично)Я вот сомневаюсь, что сниму к 2014, у меня уже родные все мало верят, что это произойдет, приговаривая что-то типа "с твоей придирчивостью, ходить тебе с ними вечно")
Спасибо, девочки)
Геката, буду думать об этом) и о том, что по сравнению с тем, что было ДО, это просто замечательно ![]()
lalala, за форму отдельное спасибо
Будет у Вас еще лучше результат!
Юльчелос, я имела ввиду центр ВЧ, он относительно носа вобще уехал на половину зуба, очень заметно.. Ахахах, мои тоже сомневаются, что когда-нибудь меня будет все устраивать
Я сама слабо верю в то, что успеем до НГ, потому что зуб противный, почти не двигается..тянем его с сентября, а он сдвинулся на мм может и то за последний месяц-два. Орта на прошлом приеме сказала, что на закрытие уйдет примерно полгода + потом еще красоту наводить, уже получается месяцев 8. На этом приеме я спросила про снятие, она сказала, что за полгода постараемся сделать. Вот и получится общий срок ношения 2,5 года, эх, как же это все долго. Зато красота получится, верю в красоту
Ничего, Сашулька, будет ещё и на нашей улице праздник) время- штука такая, пролетит - не заметишь.)
Анфас вообще просто супер! Да, щели сбоку, но резинки нам в помощь! Все очень круто у тебя!!Не переживай))
Сашулька,как такая красота может не нравится???)) у тебя все отлично!!!
Девочки, спасибо большое
Юльчелос, да, время летит, еще бы зубы с такой скоростью двигались
Мне надо двигать 6-ку на НЧ, а она медленнее черепахи(
Ferrera, спасибо за поддержку) Тяги не особо помогают( ношу их давно, толку никакого( некуда там двигаться..
Maryy, наверное придираюсь уже сильно



Сашуль, все потихоньку получится, конечно понятно, что надоело, я то уж точно понимаю тебя! Вообще выглядит все ооооооочень круто!!! красивые зубки, и где ты там увидела столько ужаса - не понятно! Над прикусом работать и работать, но это стоит супер-результата, который у тебя обязательно будет!
И по-моему, результат есть, дуги более правильно относительно друг друга встали (на параллель).