5 месяцев, однако...
Правда, еще неделя до 5 месяцев, но я меряю походами к ортофее, а я к ней уже сходила, в общем, примерно 5 месяцев. Дугу мне пока не меняют, пообещали через 2 месяца обе дуги пожестче. А пока фея ушла в отпуск. Есть небольшие результаты, и я решила сделать коллаж..вот
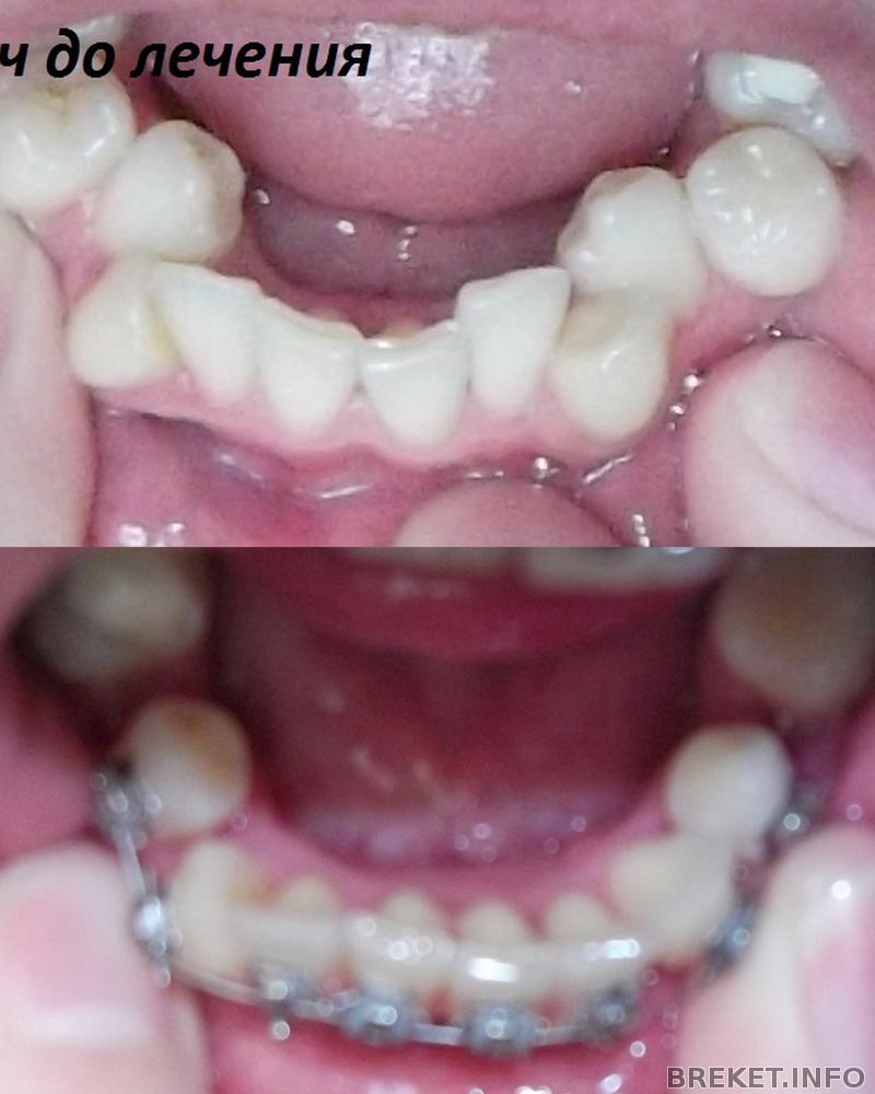
низ у меня тоже потихоньку ровняется, как и в случае с верхом, левая сторона поддается быстрее)))качество плохое, к сожалению, ну это потому что мне неудобно фотографировать нижние зубы
А еще моя маленькая радость в том, что двойка встает в ряд!она немного еще под углом к 1-ке, но уже всё не так страшно)))
общий вид ряда такой:
вот такие пока дела..жду когда же опустится до конца правый клык и утянет за собой 2ку...а еще бы центр выровнять скорее...ээээх
Комментарии
результат на лицо, вернее на зубы))) отличный результат за такой срок)))
Дарья, Лиля, спасибо))))носить около 2 лет....+\-..точнее пока сказать сложно
Какая красотища! Поздравляю тебя)
Классный результат!
Какой у вас прогресс заметный - так здорово!
Супер!Результат отличный!
Класс !!!
Девчонки, спасибо всем большое!!!
Думала таких комментариев буду долго ждать...ну хотя еще далекоооо не идеал, просто по сравнению с исходным уже лучше))))Улыбашка, у тебя тоже результаты очень шустрые
всего месяц с хвостиком и вуаля
photographer, скоро и твои зубки начнут ровняться!скорейшей установки
S-t-e-l-l-a, Леська-25, у вас тоже скоро будет голливуд
ничего, что ко всем на "ты"?
Здоровооо.... Сижу вот, смотрю и мечтаю, о таком же прогрессе как поставлю брекетульки себе...
Марлёна, обязательно дождетёсь!!!Всё будет супер
Таня, а скажите когда у примерно начали двигаться клыки? Я так поняла Вы тоже не обошлись без вырывания?





Очень заметные и хорошие результаты!Поздравляю! Сколько Вам нужно носить брекеты?