3 месяца уже :)
О чем, собственно, разговор. Брекетам моим на ВЧ 3 месяца. Не скажу, что я с ними сроднилась, полюбила, они мне как родные, бла бла бла, как многие говорят
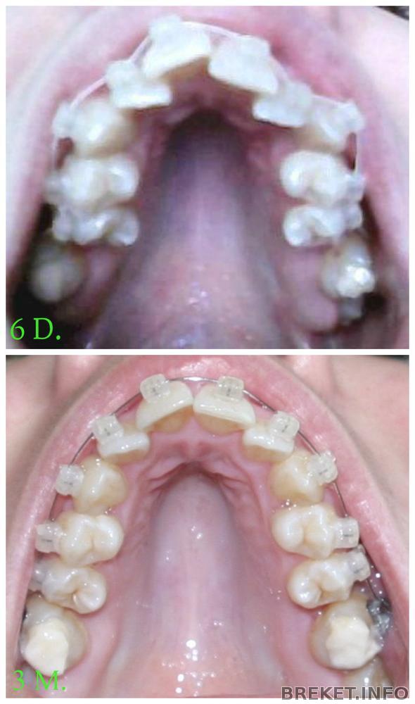
Чего уж врать то, я бы с удовольствием их уже сейчас сняла, если бы зубки были ровненькие, но увыыы.... Да и ладно, смирись, Варюшик, тебе с ними жить еще год с лишним! Так вот, результатами я довольна на сегодняшний день. Когда смотришь на внешнюю сторону зубов, то прогресс не сильно бросается в глаза, но если взглянуть на ситуацию изнутри, то все сразу становится заметно
И, конечно же, фотоотчет.
Комментарии
Ого,канеш заметно!!И сразу стимул потерпеть появляется!
Уже красота получается, представляю, как будет классно в будущем!
изменения крутые, сдвиги офигительные ![]()
зубки правда стали белее или просто другие условия фотосъемки?
офигеть, и у меня завтра будет 3 месяца, ТРИ месяца... огого.
всё-таки время быстро летит, и оглянуться не успеем, как надо снимать...
у вас отличные результаты
Результпты отличные двоечки умнички!
teriana, фотоаппараты разные и условия съемки разные.))
Да, результаты супер!
Поздравляю! Результаты очень заметные ![]()
Моим тоже скоро 3 месяца)
Ничего себе! Обалденный результат, поздравляю! Не останавливайся на достигнутом!!!!!!
офигенные результаты)))



Да, изменения налицо!