Принимайте новичка)))))
Привет всем!
С сегодняшнего дня я счастливый обладатель (и носитель
) БС. Моему счастью нет предела ![]()
Я знаю, нас всех объединяет одна проблемка... Респект и уважуха тем, кто не комплексовал по этому поводу и улыбался, не смотря ни на что, во все свои 32. А вот я стеснялась. Недавно пересматривала фотографии и поняла, что везде у меня либо лицо кирпичом, либо ЗАГАДОЧНАЯ улыбка Джоконды
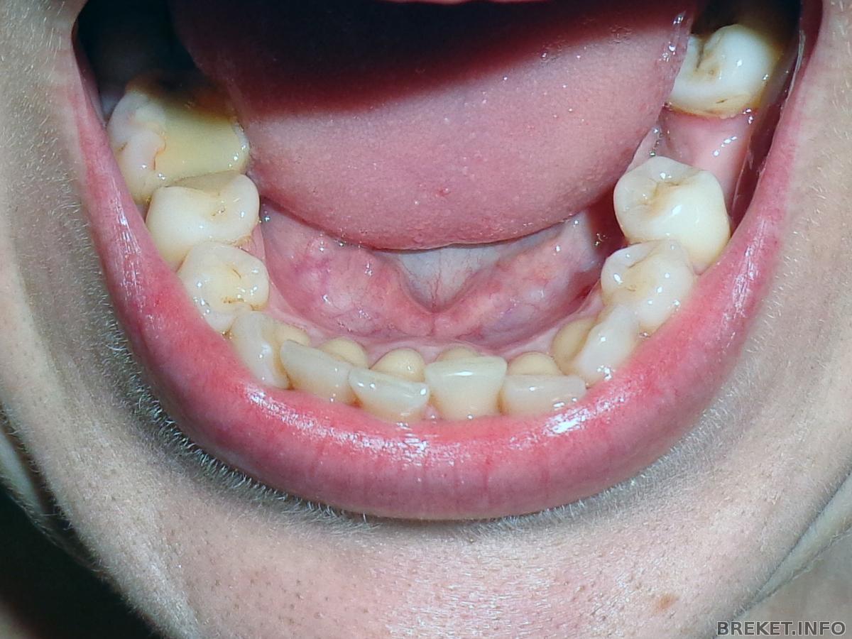
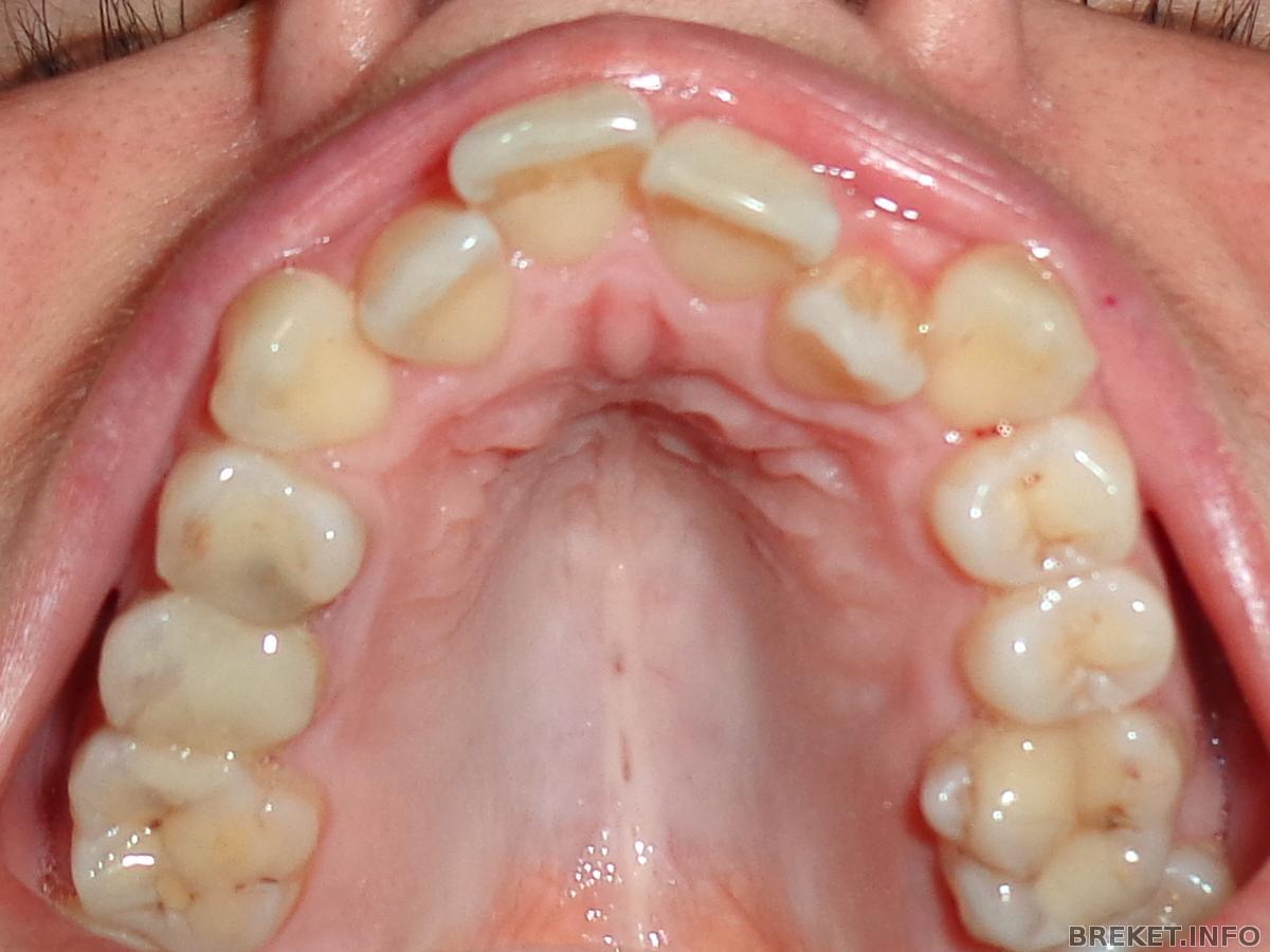
Последовала вашему примеру и сфотографировала свой кошмар. Зрелище, конечно, не из приятных... Но что поделаешь, раз уж решила вести дневник и следить за изменениями.
Народ здесь бывалый (и не такое наверно видели), так что выкладываю свои кривульки со спокойно душой (почти)...
Ваши прогнозы коллеги) У кого похожая проблема, поделитесь опытом
Комментарии
ОлиК, красивая
У меня зубки почти такие жэ
Какую систему выбрала?
Халва, я доктора слушала. Сначала мне сказали что наденут самую простую БС (под цвет эмали), но надо было 2 зуба удалить. Потом доктор подумала и сказала, что Damon можно попробовать. Она у меня и стоит, зубы остались при мне. Может быть потом придется подпилить зуб, там где есть пломбы
teriana, и правда похоже) только у меня верхние единицы вперед торчат
А нижние у меня тоже не айс. Под другим углом надо было сфотать для наглядности. Или они у меня такие фотогеничные
видно вы ужаса не видели, погяуяйте по форуму
ОлиК, и вправду красивая ![]()
А зубки - дело наживное, вовсе это не ужас!
ОлиК, поздравляю с установкой!!!!
Яна Корн, Dkamov, "ужас" - это я их так ласково называю. Раз уж мы все здесь, у каждого из нас свои "ужастики"
. Да, дело наживное, наживаю уже 2 день. Желаю всем красивой улыбки
Мандаринки, спасибо!
Поздравляю с установкой!
Что у Вас там кирпичом-то? Очень милая девушка на фото. Скоро будет новая улыбка))
ЗЫ сама офигевала, когда сделала фотки своих зубищ)))
ArchNight, Спасибо большое! Там где "кирпичом" я не выкладывала
, это ЗАГАДОШНАЯ серия фотографий ![]()
P.s. У Вас тоже не такие "жутики", как вы думаете
Ну загадошно тоже хорошо)) А у меня на фотках вечно лицо сурьезное. Жду момента, когда буду лыбиться вовсю. И всем этого желаю поскорее дождаться!
ArchNight, Ой! А как я жду
Поздравляю с вступлением в ряды брекетоносцев
Natalya86, Спасибо! Успехов нам всем!
Поздравляю, это огромный шаг вперед!
Я долго боялась, что буду смущаться, но не тут то было улыбаюсь и смеюсь все время)
Через месяц другой вы свои зубки не узнаете)))
Улыбашка, я ничего не боялась, дождаться не могла, минуты считала)))) мама пыталась меня вразумить (27 лет, а ты с железками. и т.д. и т.п.). А я так считаю - брекеты не страшнее кривых зубов. О видимых изменениях говорить пока рано, но чувствую движуха началась)) Если бы не АГУША, умерла бы уже голодной смертью
Добро пожаловать!
))
Какие были ощущения после установки?
ОлиК, будем знакомы, тезка ![]()
Поздравляю с установкой! Скорейшего результата на века)))
Олик, привет! Я тоже новичок! Поверь, у тебя не ужас.... Ужас у меня. Зайди и глянь. Но я надеюсь, что у меня всё будет ок. А у тебя тем более!!! Успехов, выздоровления!!!
Привет, привет ![]()
Я вчера также вступила в ряды "в ожидании Голливуда" ![]()
Начала вести дневник, выложила свои ужастики..
Сегодня с утра, только зеночки свои протерла, бегом к зеркалу..
Ну а вдруг случилось чудо
Евгения Борисовна, Конечно у тебя все будет ОК! Даже не сомневайся
kievlyanka, приятно познакомиться
почти месяц уже в брекетах!? как ощущения? долго привыкала? я вот пока только в процессе)))
Maryy, ощущения просто незабываемые! зубы не болят, если ими не пользоваться по назначению. они просто онемели, когда смыкаю челюсть, боли не ощущаю. а вот есть не могу. вчера проклинала того, кто придумал йогурт с кусочками свежих фруктов. и даже мелко нарезанная помидорка мне не по зубам. не могу есть не потому что больно, а потому что страшно. когда пробую что-нибудь на зуб, то как будто за этим зубом тянется весь строй. они РЕАЛЬНО ШЕВЕЛЯТСЯ
или у меня паранойя...
не знаю где вы тут у себя ужас нашли
вот у меня точно ужас ахах










у меня немного похожая ситуация. Двойки тоже ушли назад, нижние резцы на них заходят, но у вас НЧ более аккуратная, моя, по сравнению с вашей, гуляй рванина )))
Пока нет опыта, я в самом начале пути