Приятности*О*
Приветствую Вас, Земляне
Я пришла с миром и новостями,ахахаха,что-то у меня настроение сегодня хорошее ![]()
Итак, что нового у меня:
30 июня-2 месяца НЧ:)
27 июня-3 месяца ВЧ и должен быть был прием,но бывают в жизни огорчения,мой ортофей куда-то умотал ![]()
Соответственно,прием отменили:( К такому жизнь меня не готовила;D
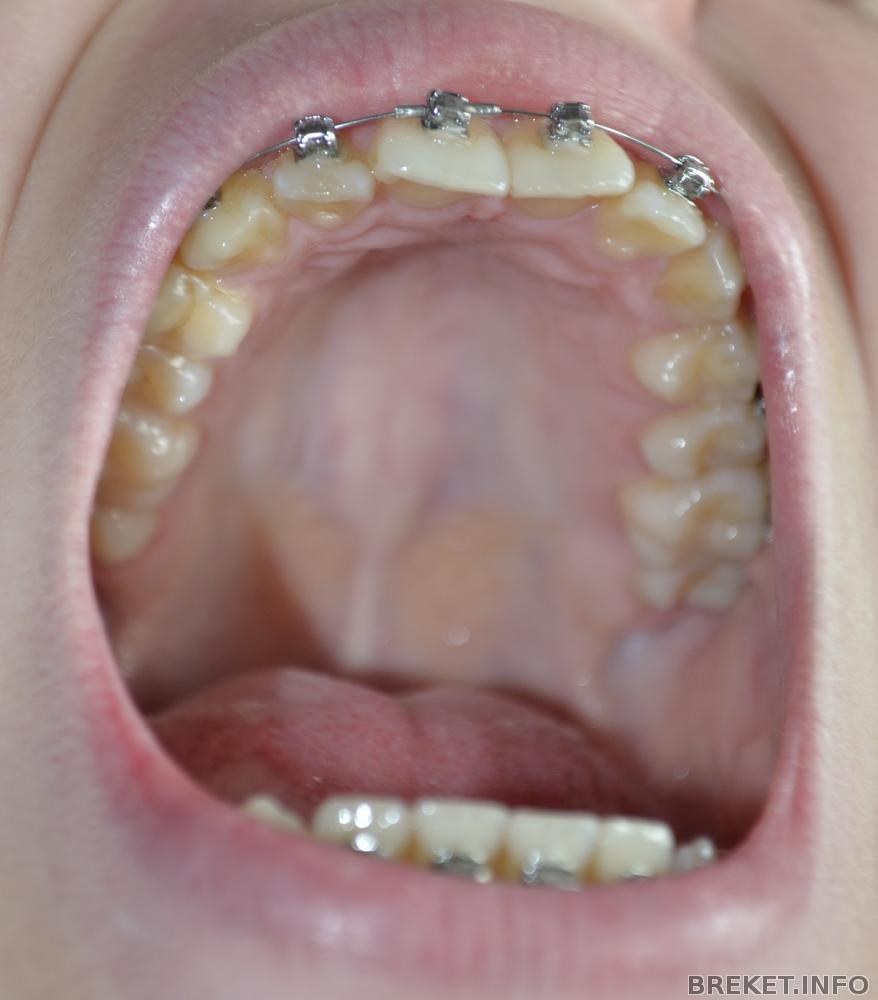
Но он вчера вернулся,и сегодня был прием,поменяли дуууги,ааааа счастья полные штаны ![]()
Ортофей такой смотрит-смотрит и выдает :"Сегодня поменяю обе дуги",я как полоумная закричу:"УРААААААААА", он посмеялся и сказал:"Как мало для счастья надо"
Хороший дядя у меня ![]()
Я спросила, чей-то у меня 2-ки на ВЧ отправились в даалеекое плавание и уплыли назад,и единички на ВЧ развернулись,и спросила про самую главную проблему-ЗУУУУУБЫЫЫЫ БЕЗУУМНО ЖЕЛТЫЕ
Орт сказал...ахахахах,блин,я забыла,что он сказал,в общем что-то вроде-все нормально,это из-за дуги,и мол зубы пока не устаканились) На то что зубы желтые,сказал,что на следующем приеме(он будет где-то после первой недели сентября),когда зубки как-то там встанут,он маааленькой щеточкой почистит,жду не дождусь ![]()
Воот,и завтра Новокузнецк празднует свой 395-ый День Рождения,в общем День Города,буду выступать с новыми дугами*О*
Кто из Новокузнецка, приходииитее ![]()
Ах,да,вот фото(сделаны несколько дней назад,так что дуги старые)




