Сняли!
Здравствуйте! За все время ношения брекетов я хоть и не была активной на этом сайте, но читала и мотивировалась почти еженедельно. Вот настало и мое время показать вам мой результат...
.... которым я до настоящего момента не была довольна. Фотографировала себя так и эдак, разглядывала в зеркале при каждом удобном случае, но что-то все равно меня не устраивало. Осталась небольшая асимметрия, весь зубной ряд как бы уезжает в сторону, разные по форме единицы, двойки и клыки, сами клыки вообще стоят по-разному, короче придиралась как и большинство брекетоносцев. Родственники меня воодушевляли, мол абсолютно симметричные зубы могут быть только искусственными. Друзья-знакомые вообще не заметили, что я сняла брекеты. К слову, они были и до установки удивлены, зачем я их поставила.
И вот только сейчас, вырезав свою улыбку на всех фото и посмотрев только на свои зубы, абстрагируясь от всего лица, я поняла, что это почти Голливуд! Да, не буду скромничать, результат меня очень поразил и обрадовал.
Итак, сначала было так
Вот моя улыбка на собственной свадьбе:
Ненавижу такие фото с эффектом отсутствия зуба, поэтому почти всегда на них я не улыбалась, но видимо на собственной свадьбе не улыбаться невозможно.
Этапы моего лечения можно посмотреть в альбоме "Моя история"
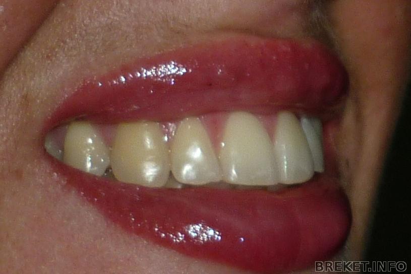
Ну и результат:
Здесь я сильно улыбаюсь:
А это полу-улыбка, даже не улыбка, а чуть приоткрытый рот (это мне особенно нравится на фото - я и не улыбаюсь собственно, а на фото получается хорошо. Надеюсь, и в жизни это тоже неплохо смотрится):
Да, недочеты есть, буду к ним привыкать и мириться с ними. Но согласитесь, учитывая начальную ситуацию, результат хороший.
Может, моя история кому-то будет примером и мотивацией. Как и все счастливцы, относившие брекеты, скажу одно - ставьте и вы не пожалеете! Особенно девушки, мечтающие о красивой свадьбе и красивых фото. Сколько раз я замечала, когда даже в смешных ситуациях, даже в самые счастливые моменты, люди стесняются открыто улыбаться, это тааааак заметно, и смотрится печально и жалко. Но я теперь не в числе таких людей!
Комментарии
Прекрасный результат, у Вас теперь ослепительная улыбка! ![]()
Поздравляю от всей души, улыбайтесь направо и налево, прятать такие зубки - просто преступление))
Какая урожайная неделя!!!! Сплошные снятия!!! И все чем-то недовольны))) Центр на 1мм. съехал, двойки разной формы))) Эх, девочки, неужели и мы такими будем))) О чем вообще речь, ВСЕ ПРЕКРАСНО!!! Какие недочеты? С чем мириться? Я тут обзавидовалась вся))) Живите, радуйтесь, улыбайтесь и не стесняйтесь
Потрясающая улыбка!!!
Просто супер!
Улыбка классс
!!!!!!! Недочеты не вижу никакие в упор!!!
Отличный результат ! Красивая форма зубов)
Идеальная улыбка ГОЛЛИВУД! ![]()
Поздравляю так приятно когда снимают брекеты смотрю на фото и радуюсь, как будто мне сняли БС)))
Хороего вам настроения и много улыбок)
ваааау
потрясающий результат!!!
Очень здорово! Красотища!!!!
Всем огромное спасибо за комплименты! Вы еще больше вселили в меня уверенность! Теперь привыкаю открыто улыбаться.










красивая улыбка!поздравляю!улыбайтесь на здоровье!