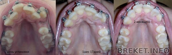
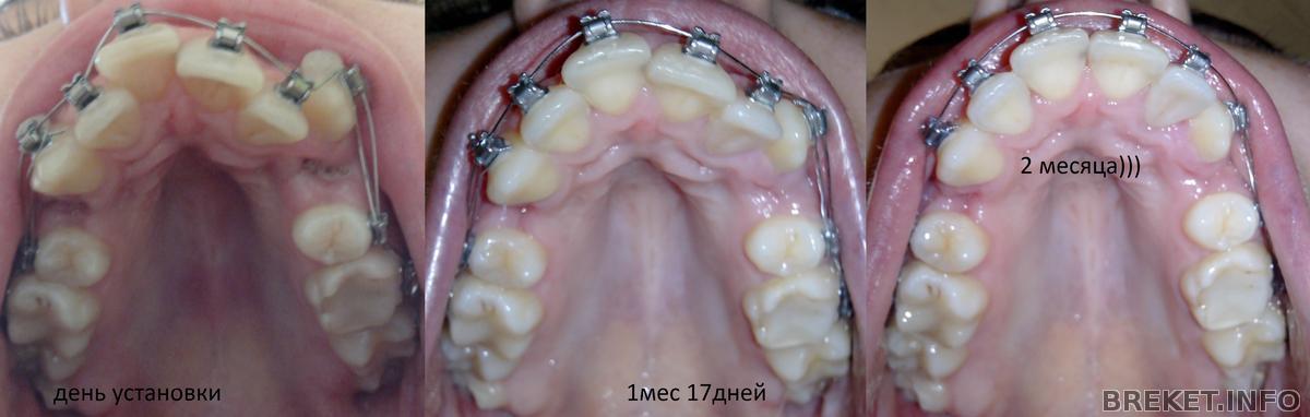
2 месяца и пьяные зубы)))
ну вот и пролетело 2 месяца))) не думала,что так быстро будет время идти) вчера с друзьями встречались,заодно и за дату свою справила))) все так быстро выравнивается,прям не по дням а по часам
но и есть маленькие огорчения.... центр зубов напился и поехал налево
а двойка так вообще видимо перебрала и решила вылезти из "окна" подышать свежим воздухом)))) и вообще сейчас возникают ассоциации с вот этой картинкой( мульт от пиксар
Комментарии
Viking,спасибо)))
Очень круто, особенно если считать, что это за 2 месяца....)))))
так быстро двигаются) очень рада за вас!
спасибки спасибки))) мне тоже кажется,что они быстроходы прям))) я думала месяца 4-6 буду с кривулями ходить))) а тут 2 месяца и вуаля)))
Ой-ой!! Наговариваешь на двойку))) Эт раньше она была на улице, а сейчас наоборот - дома))) Клык спустился, дуга выровнялась))) А центр поехал, потому что единица втиснулась в ряд, и все уступили место и поехали влево. И улыбка уже
![]()
Так что спокойствие, только спокойствие))) Все супер-пупер!!!
Я таким результатом похвасться не могу((( Мои выстраиваются в ровный, аккуратный веер, блин!!!
tysik88, поздравляяюю!!! Очень крутая движуха у тебя!!!!
Скоренько они у тебя в ряд встают!!! День установки и 2 месяца - просто небо и земля!!!
P.S. Очень красиво коллажик сделала) Прям загляденье
ой ну спасибо девчонки за поддержку,за коменты))) очень приятно)))) желаю всем скорейшего выравнивания в самые кратчайшие сроки))))) юхуууу
Олик и tysik88, мы с вами идем по срокам почти нога в ногу) Ну, или зуб в зуб) раз уж мы на брекетном сайте)
ИриЗка, ага))) Только я на полмесяца отстаю
Когда у вас следующее свидание с ортом? Я своего жду не дождусь, извелась вся
Олик, иду на прием 20 августа, хочу пружинку попросить, помочь клыку и двойке) Очень хочу новый год встретить с ровными зубками) Без них никуда, с прикусом даже работать не начнем без ровняшек) А к новому году почти 7 месяцев уже будет) Даже и не верится)
Поздравляю! ![]()
Ооочеень хороший результат
ИриЗка, 20 августа - это уже второй? У меня 28 августа только первый
Что там вообще на этих приемах происходит??? Приготовила денег на установку на НЧ, хотя мне за установку еще ничего не говорили. Поменяют дугу и все??? А если не поменяют, посмотрит на меня и домой отправит
Ой что то я ничего не понимаю(((
Олик, да, у меня уже второй прием будет. Мне теперь ходить раз в 3-4 недели. Происходит все очень быстро)))Дугу мне не меняли, думаю, тебе пока тоже первую оставят, пока она максимально не отработает. А НЧ тебе вообще когда планировали ставить?
ИриЗка, про НЧ вообще разговора не было((( но я на всякий случай бдю
И правильно) Бди))) А вдруг счастье как свалится, а ты его уже ждешь)
tysik!!! результат, конечно, шикарный за столь короткий срок!!! зубики молодцы))) такие послушные)))) а выглядишь миленько-премиленько))))) а раньше бы и не подумала, что брекетульки могут так идти))))
Вот это скорость! Шикарный результат, поздравляю!
спасибки))))))))))))
ИриЗка,ОлиК, а мне обещали поменять дугу))) вот уже 19 числа прием) и день установки на нч уже назначен
а вообще я уже должна была с нч гонять,но попросила отложить на месяц из за денег
tysik88, отличный результат!!!!
Насчет центра не комплексуй, все у тебя хорошо. у меня вон тоже два месяца почти и центр поехал влево)))
И вообще очаровашка!!!!
Dkamov,спасибочки))) да ,думаю уехавший центр это фигня)) выправится потом)
tysik88, конечно, обязательно выправится!!!
вау!
очень-очень быстро двигаются
Да,все как то очень быстро двигается
класс, уже все ровно))
А я всегда говорил - все у tysik88 будет просто замечательно!
А уж с голливудской улыбкой Лив Тайлер отдыхать будет! Гарантирую!
аха ха)))






Отличный результат, я бы даже сказала супер!