Отчет за год.
Нам уже годик, хах. ВЧ год и два месяца, НЧ год и четыре дня.
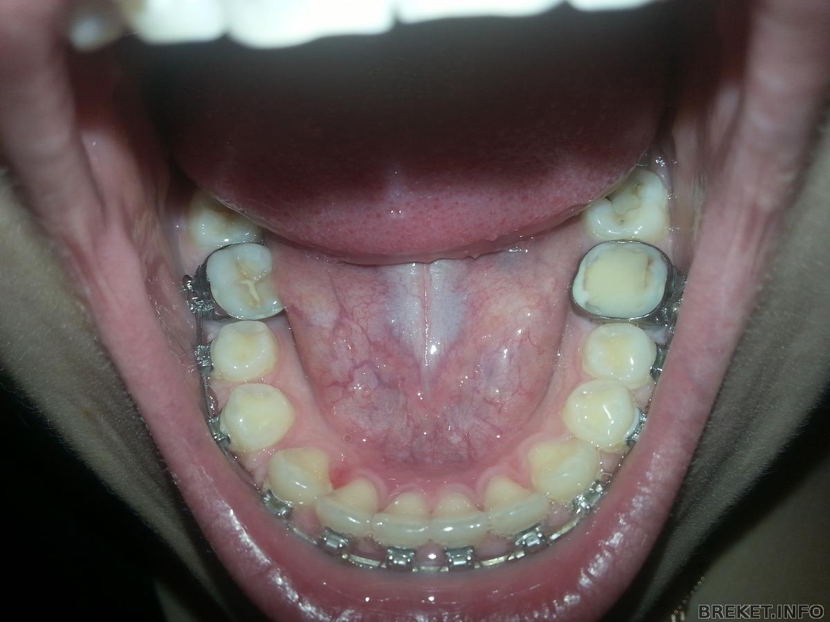
НЧ тянут. Доктор решила мучить меня основательно. За что только вот? Тянет по одному зубу. Вначале стягивала единички, затем рядом двойки стала тянуть, сегодня подключили клыки.
Ахахах, давно я такого не чувствовала. Все болит. А иногда даже в спокойном состоянии, как заноет. Терпела весь день. Даже на шашлычки сходить умудрилась. Сейчас наглоталась анальгина с аспиринчиком. Вроде отпускает.
ВЧ тоже стягивают. И тоже по одному зубу. Если в прошлом месяце к моим единицам цепляли двойки. Ох, конструкция там тоже странная. Единицы железкой были скреплены, а двойки обычным чейном (цепочкой). Так в этом месяце от ВЧ отстали, просто все железякой замотали, видимо для сохранения эффекта (А я и не против, все лучше, чем с цепочкой, которая к концу ядовито желтая становится :DD) , переключились на нижнюю.
Мучают, мучают.
А что ж поделаешь?
Благо зубов там немного осталось подтянуть
Правда проблема - центр уехал, далеко и надолго. Бай-бай. Ну и ладно, не снимать же еще.
Оу, и еще док погорячилась. Дала мне резинки, тянутся легко, сильно не давят. Стали подходить к концу, а у врача таких же не оказалось. Дала мне экстремальные со сноубордистом. Тут моя челюсть умерла. Накрутили мне там непойми чего, я даже рот открыть не смогла. До дома добежала и оставила их на черный день. По ночам ношу их в основном, ибо днем надо разговаривать, а рот открыть невозможно.
Думаю ситуация и так понятна:
Ну и небольшой отчетик:
Начало лечения -
Данный момент -
Всем лямурных продвижений :3





Комментарии
Поздравляю! =)