3 месяца спустя.
Через 9 дней будет 3 месяца спустя момента фиксации первой брекет-системы (ВЧ). С момента второй (НЧ) - почти 2.
Спешу поделиться своими скромными результатами.
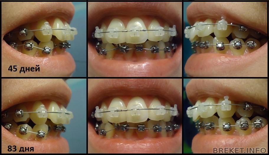
Верхняя челюсть, несмотря на то, что работает дольше, практически не двигается. Возможно, на фото кто-то увидит изменения.. Лично я их не замечаю.
А вот на НЧ изменения явно заметны. Сделав коллаж, я это ясно увидела. Оба "утопленные" зубика полезли вперед, расталкивая остальные. Зубки на НЧ немного выдвинулись, за счет чего смыкание челюстей стало менее плотным. Но мне это нисколько не мешает. А вот 5ка возле удаленной 6ки под давлением верхнего зуба (он упирается прямехонько в брекет, который чудом еще не откололся ттт), по-моему, едет внутрь рта, т.е. совсем не туда, куда надо.
Вот они, мои родимые.
В субботу мой очередной визит к орту (кстати, очень приятный молодой человек, а также его ассистент
). Не знаю, что будем делать, но что уже сделано: на ВЧ в настоящий момент третья дуга, на НЧ пока самая тонкая "стартовая". Первые две дуги на ВЧ включали все брекеты, кроме 7ок, а вот в третий раз подключили и 7ки. О, было очень неприятно жевать. Первые пару дней - даже больно. Хвала блендеру, я испробовала на себе и любимом новые супчики-пюре.
На данный момент мне становится жутко лень ухаживать за брекетами. Если в самом начале я чистила зубы после каждого приема пищи независимо от того, полноценный он был или банан/печенюшка, то сейчас я позволяю себе хорошенько прополоскать рот и забыть на некоторое время о гигиене. Можно было бы свалить все на работу (WC там много, но почистить зубы я могу только в одной, которая часто занята), но, как говорится, кто хочет, тот ищет возможности, кто не хочет, ищет причины. Надо снова брать себя в руки, иначе после снятия брекетов ответ на панический мамин вопрос "Ты что, каждый зуб сверлила?!" (для фиксации имелось ввиду) будет утвердительным.. ![]()
Вот и подошел к концу мой маленький отчет)
Комментарии
Ох уж эта лень. Мне кажется, с годами она только укореняется)
Какие зубки качественные! И знакомый шахматный порядок на НЧ. Нельзя лениться- кариес придет!
Ennelyne, начала замечать, что скученность на НЧ - очень частое явление. Только у большинства случаев ВЧ ровная, поэтому люди и не беспокоятся.
В последнее время вообще всем в рот заглядываю



И мне становится лень каждый раз чистить зубы. Но что делать - иду и чищу.