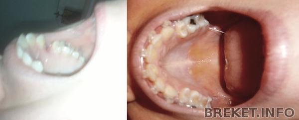
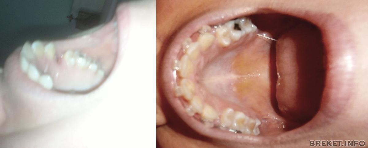
3-й прием + первые фото для сравнения
Третьий прием:
6 сентября
Результат:
- дырки от 4-к затягиваются
Что сделали:
- наконец-то поменяли дугу!! (на 18ю)
- под дугой натянули прозрачную полоски/резинку - чтобы зубы изменили наклон (сейчас единицы очень сильно вверх наклонены)
След. прием 4-го октября.
Наконец выкладываю фото: за несколько дней до установки и спустя 3 месяца. Не знаю видно ли по фоткам, но мне кажется, что дырки от четверок уже не плохо затянулись.
Комментарии
3 месяца, не знаю правда, много это или мало...
07.09.2013 - 19:17
Я тоже три месяца ношу, спрашиваю, потому что читала о том, что 16 дугу носят по пол года. Уже успела испугаться)
10.09.2013 - 21:17
3ки заметно подвинулись
а Вам говорили, сколько приблизительно времени на закрытие уйдет?
12.09.2013 - 12:42




Мари, сколько ты носила 16 дугу?