вчера НЧ сняли
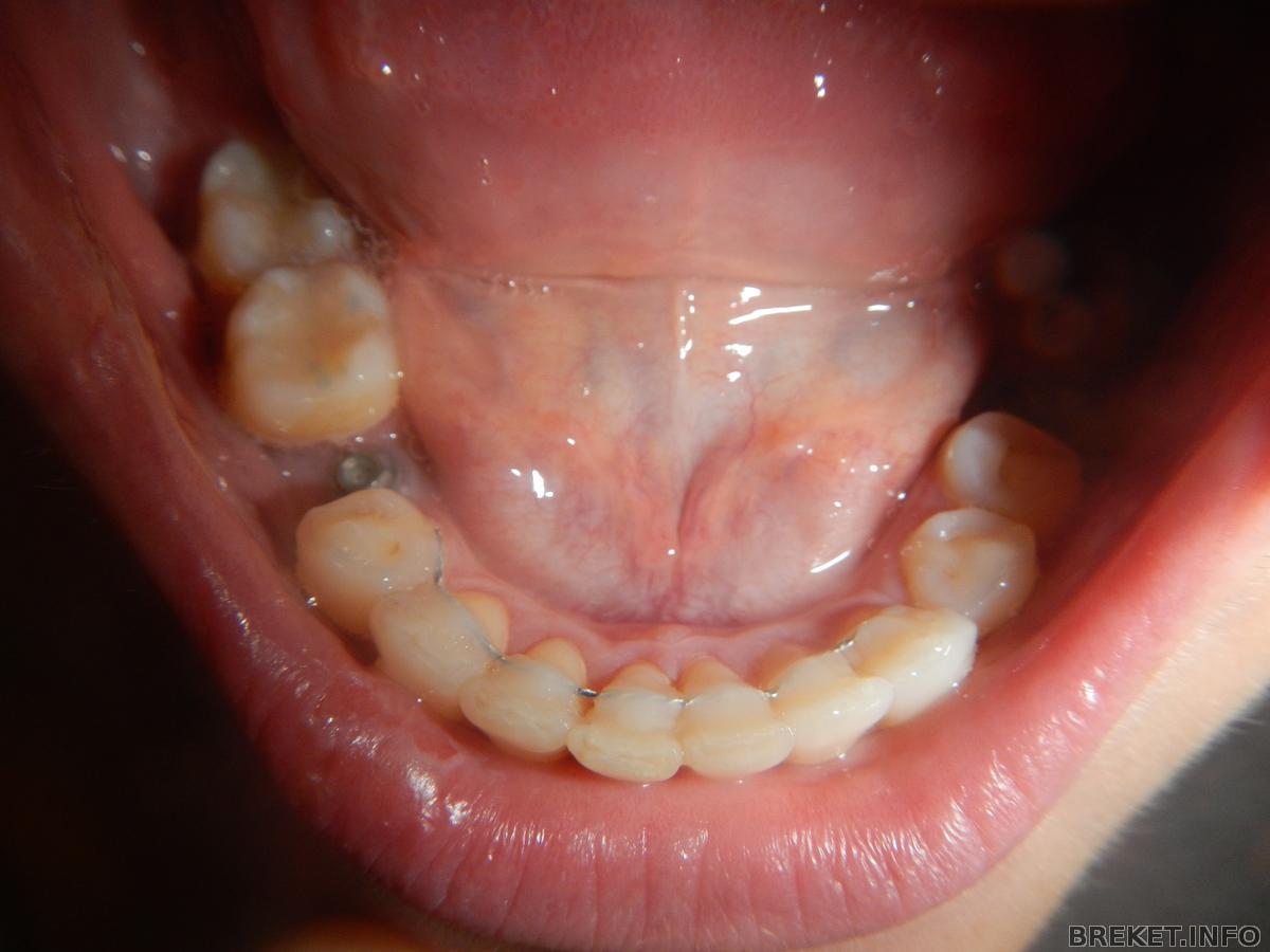
вчера сняла низ БС
особого восторга не испытала..вот когда верх сниму конечно вздохну.
пока все болит(после полировки) неприятная процедураи вообще процесс жуткий и звук тоже брррр...и зубы какие то не мои. с внутренней стороны наклеен ретейнер-тоже не понравился процесс.(губу мне повредили) может настроение у нее было плохое
верх стянула проволкой так, что укусить не могла еще вчера...Пока снятие не назначили, но думаю не за горами.

Комментарии
А почему промежутки на нч? Вставлять зубы будешь?
Да, там уже импланты вкручены(железяка торчит), на днях к имплантологу за зубами
Тася, прикол
Тася, расскажите, пож-та, как прошла имплантация? Как отходили, была ли опухоль? И главное, за какое время до снятия БС это происходило? (просто тоже предстоит имплантация - боюсь до жути!)
Поздравляю, еще ВЧ и свобода)))
Улыбашка - спасибо, жду свободы))))
Leka89 имплантация у меня была одновременно с удалением сложнй 8. прошла нормально, достаточно быстро. Опухоль была не большая с одной стороны, а со стороны зуба выдернутого с недельку держалась. Боятся особо нечего.приятного конечно мало, но ради результата. Все манипуляции у меня были зашиты, зажило все хорошо, сейчас и не видно, просто железки торчат(как будто всегда там были). На днях иду к имплантологу(наверно слепки сначала) я не знаю. прошло 3 месяца к слову.
"И главное, за какое время до снятия БС это происходило? "- Мне моя ортофея сама сказала, что пора выдирать 8 и на консультацию к имплантологу-я все это очень быстро сделала, а имплантолог тоже тянуть не стал.
импланты ставят в конце за 3-4 мес до снятия.(как мне объяснили) ну вот и вышло,что импланты, вместе с БС сейчас перез самими зубами сняли низ, тк слепки с брекетами не сделать. ну и потом верх подгонят под зубы и снимут.
поздравляю... мне тоже импланты предстоят...
Тася, спасибо за подробный ответ!))) Поздравляю вас с финишной прямой!))))