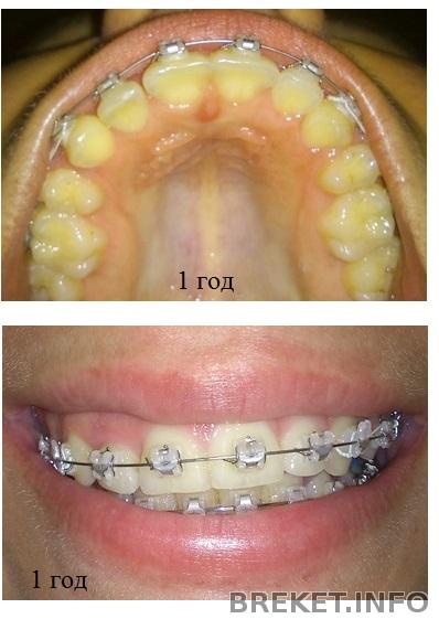
Прошел ровно 1 год
Вот и пролетел год, могу сказать, что очень-очень быстро, даже не верится
Не буду долго развозить тему,но и коротко не получится.
Что было сделано за этот год:
1) Удаление всех четверок, удаление двух восьмерок, осталось ещё две,одна из которых ретенированная, в ближайшее время избавляемся от них в обязательном порядке.
2) Борьба с глубоко запавшей двойкой, которая пока ещё не совсем на месте, но мы её почти победили.
На сегодня имеем:
Перекос на ВЧ, соответсвенно наклон зубов и отличающиеся по десне единички. Решать проблему планируем переклейкой брекетов на 1 и на 2. Если переклейка не поможет, будем вкручивать микроимпланты.
Старт
На сегодняшний день :
Комментарии
Когда удаляют 8-ки брекеты не снимают, так как на них их просто нет=)
А если не восьмерки? (мне то про удаление 4-ок, то 8-ок говорили, чего в итоге надумают - не знаю)))
Двоечка уже практически в ряду стоит! ![]()
Легкого предстоящего удаления !!
Canberra78, мне во время лечения удаляли четверки. Откусывают брекеты с четверок и удаляют
Четверки удаляли уже во время ношения БС,брекеты не клеили на них, решено было сразу ,что их удаляем,а когда удаляли просто снимали дугу и после сразу же одевали обратно и восьмерки тоже удаляли во время лечения,но дуги уже не трогали, они не мешали.
Поздравляем именинников!
поздравляю!!!!!!! зубки загляденье
Поздрвляю, превосходный результат!



Ошеломляющие результаты! Это очень круто! Мои поздравления!)))
Можно вопросик, решение об удалении пришло сразу? Или удаляли по ходу орт-лечения? Когда удаляли восьмерки...снимали ли брекет-систему?