Клык подключили, а поехала 2ка??
Вчера я была несказанно рада! На очередном приеме мне подключили наконец-то клык
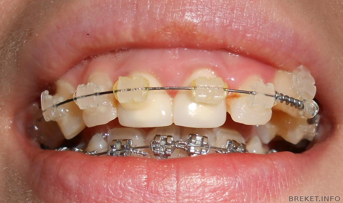
Через 5 месяцев и 16 дней ![]()
Прицепляли его довольно больновато, думала все зубы вокруг него отвалятся
и ночью болел ужасно ! Но я держалась молодцом, т.к. давно ждала когда мне уже его подключат!
НО взглянув в зеркало я немного огрчилась - двойка ты куда????
Когда мне ставили пружину между 2 и 4, ортофея сказала, что если вдруг 2 станет наезжать на единичку срочно идти к ней. Но все было норм. А теперь 2ка пошла вперед
Видимо клык тянет больше к себе, чем сам опускается ![]()
Что делать? Норм это? Вроде 2ка не лезет на 1ку... Бить тревогу или подождать пару дней?
вот что было сразу после установки, вчера:
Вот что стало уже на утро! Двойка заметно поехала
Посоветуйте что нибудь
Комментарии
Mrs. El, ок, подожду паниковать))))
Посмотрю чтобы дальше не пошла вверх, мне кажется на фото даже не видно всего масштаба ![]()
Мне ксати орт сказала, что тоже недели 2 пройдет пока прикрепленный клык вниз пойдет... Думаю и 2ка вместе с ним... Подождем
Наталья, поздравляю с долгожданным подключением!!! А двойка вернется, это временно!
Оль, спасибочки!
А двойка все лезет вверх, буквально не по дням а по часам
((




По-моему все нормально.
Зубы ведь в системе все взаимодействуют друг с другом.
Рано еще оценивать. И паниковать рано.
Вернется двойка на место.
Мне когда переклеивали на клыке брекет (год и восемь кажется я тогда уже носила, т.е. все ровное было), так все зубы вообще в рассыпную
И наклон появился и щели огромные между фронтальными зубами. А всего лишь брекет выше и левее на 0,5мм переклеили. Недели 3 я такой красоткой ходила )) А потом все зубки вернулись на свои прежние места ))