Вчера прозявила дату- ГОД!
21 свинтября был ровно год, как мы с брекетулями на ВЧ вместе
. Сказать,что надоело сильно и хочется побыстрее снять особо нет, всё-таки настроилась я на 2 года терпения... Что имеем на сегодняшний день спустя год:
1)Зубки стали в более не менее сносный ряд;
2)Разъехались немного центры из-за удаленной 6-ки, хотя изначально были ровные;
3)Выдали наконец-то тяги, схема такая,что даже и кушать можно и петь, и орать))))) ношу их с конца августа, задвигаем нижнюю челюсть в рот ![]()
4) Тянем потянем 7-ку на место 6-ки, но она в основном только немного облокачивается и наклоняется на 5-ку, так только снимаю тяги, она моментально отдаляется обратно((( и это не особо радует..
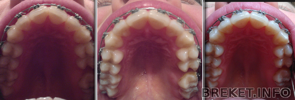
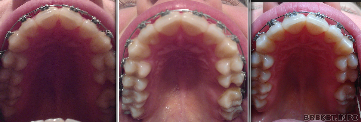
Прилагаю сии промежуточные результаты-
Так что в общем пока мало что изменилось,с тягами зубы не болели и всё проходит как будто ничего не меняется, лишь челюстной сустав болел с одной стороны где тянем 7-ку, велено было носить тяги 12-14 ч, я сижу в них практически сутками, не знаю хорошо это или нет, но орта сказала,что чем больше , тем лучше. Всем кто дочитал спасибо за внимание и поменьше осенней хандры как у меня
Комментарии
Улыбашка,к сожалению это промежуточный результат,фото из первой колонки это где-то месяц- два назад, что было до- можно посмотреть у меня в альбомах. Спасибо за поздравление и комплименты
Зря ты так. НЧ двигается "в рот", посмотри на 3 коллаж сверху, как там клык стоит по отношению к НЧ. Да и наклон зубов изменился. Все классно, надо только подождать
ОлиК, мне казалос, что это немного смыкание глубже там, да и угол фотографирования не одинаковый,а щас
присмотрелась и правда мелкие шажки есть, спасибо за указание мне дурехе))





Зубки у тебя красивые!
Если бы у меня была такая ситуация как у тебя изначально, я бы даже не подумала о бс.
Ты умничка,поздравляю с датой 1 годик, теперь отсчет можно начинать в другую сторону)))