не знаю с чего начать))))
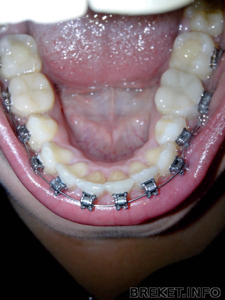
такая радость))) установила брекеты на нч))))
радости нет предела!!!

также поставили надкусочные пломбы на 7-ки))) ох тянет очень сильно,чешется,зудит))))

оказывается нч у меня очень кривая

надкусочные-жесть))) жевать очень не удобно))) опять кашки-малашки)))) боли нет,просто не приятно чешутся зубы))) в основном передние)))
и самое клевое,это то,что мне установили опять новую дугу на вч!!!! прямоугольную)))
вот неожиданность

после нее побаливают только семерки,при накусывании на них немного неприятно))) а так все супер-не болит ничего пока)))) также опять подтянули металлические лигатуры(которые тянут клыки),было ооочень больно во время подкручивания(((( но сейчас не болит

заметила самое шокируещее!!! после подтяжки лигатур между клыком и двойкой сразу появилась щель))) раньше была просто дырка и зубы смыкались,а теперь там пролезет самая толстая зубная нить)))
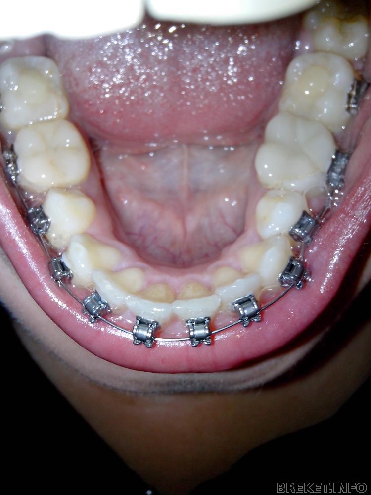
радует))) орт похвалила,клыки двигаются отлично))) один подвинулся на 1,5 мм, а второй(который слева вытягиваем из десны)(на фото выше) ,на 2мм))) одни радости)))) и еще сразу радостная новость))) записались мы на прием на 11.11.13 и будет в этот день смена дуги на нч)))) ураааа))) вот так вот))) и на последок радостные фото( в ожидании установки на нч

оставалось несколько часов)
всем красивых ровных зубиков)))
Комментарии
Ой, Вы безумно милая!)
С установкой.)
Paralyze,у меня есть воск))) но думаю не пригодится))) почти не чувствую их ни губами,ни щеками))) и на вч с сильной скрученностью и выпирающими зубами,тоже не натирало)) все будет супер))) я уверена))) хотя орт говорила,что к брекетам на нч привыкают дольше,но я уже привыкла за несколько часов))) единственное непривычно-это надкусочные)))) но и они с каждым часом доставляют меньше дискомфорта,уже сижу жую сыр(к пиву),чипсы,попробовала сосиску,маринованный огурец,банан)) ( о боже я это все съела
за пару часов
) я наверное странная))) мне все удобно,все прекрасно и радостно и все нравится и устраивает)))
emilyburble,спасибо
tysik88, урааааааааа)))) Я тебя поздравляю с полным боекомплектом!!!!! Зубки двигаются замечательно!!!
Последние 4 фотки - просто класс!!)
ИриЗка,спасибки спасибки
Поздравляю с установкой!
Тоже с нетерпением жду, когда поставят НЧ.
А клык раз уже сдвинулся чуть-чуть, то теперь все, поедет, как миленький!))
Как все таки- интересно, у тебя металлическая цепочка намотана? А мне орт каждые 20-30 дней будет менять прозрачную цепочку от клыка до 5-ки, я так поняла все туже-туже будет ставить, у всех разные методы)))
В общем мы с тобой сейчас почти на одном этапе выравнивания.))
красииивая улыбка же.
и брекеты очень смотрятся на крупных красивых зубиках.
с установкой
Спешу поздравить
(не хватает смайлика с цветами и шампанским). Очень классно! Даже крючки уже готовые для тяг, значит, скоро пригодятся))) Клыки действительно опускаются, дырки затягиваются, все по плану, все - окей!!! Не перестаю удивляться, даже клыки на НЧ кривятся как мои))) Мне даже как-то спокойнее, посмотрю, как у тебя дела пойдут, значит и у меня примерно так же
Пару слов о дуге на ВЧ - ШИКАРНАЯ, у меня такая же, обожаю ее. А работает как!!! Вот увидишь, как быстро движуха начнется 
З.ы. Недавно снизошло озарение. Изменили ли брекеты мою жизнь? Нет! Они изменили мое отношение к жизни. Вот так вот улыбаться во все свои 32 (от 32 и меньше) железных!!!! Теперь и я на это способна))) Почти созрела, чтоб это все запечатлеть на фото, торжественная дата назначена на юбилей (3 месяца).
З.з.ы. Каждое утро улыбаюсь своему отражению в зеркале, а потом весь день окружающим. Не узнаю себя и свои зубы... ну вы, девчонки, меня поняли))))
Поздравляю!
Приятное событие в жизни брекетоносца - фиксация системы))
Теперь на всех парах к голливуду!
Мои поздравления!!!
Viking,да интересно у всех по разному)) но мне скоро тоже поставят обычные лигатуры для тяги клыков))))
Муряка, ezerra, Yanulya,спасибки))))))
ОлиК, ахаха)))) точно) даже однерки так же пляшут,одна выше,другая ниже))) даааа с этой дугой думаю все попрет)) чувствуется сильное напряжение до самых корней и надавливать на зубы уже стало больно))) орт сказала сейчас будет меняться наклон зубов с этой дугой))))) урааа
ой а у меня и жизнь изменилась и отношение к ней))) как то не понятно) но время стало лететь не заметно на работе))) я стала больше радоваться маленьким приятным моментам))) перестала заморачиваться на мелочах)))) стала себя больше любить и нравиться себе))) И ВООБЩЕ МНЕ ТАК НРАВЯТСЯ БРЕКЕТЫ НА МОИХ ЗУБАХ))))) ПРЯМ СПЕЦИАЛЬНО ЛЫБЛЮСЬ ХОЖУ, ЧТОБ ВСЕ ВИДЕЛИ))))
мне кажется я так моложе выгляжу, прям как школьница
и даже не скажешь,что мне уже 25
Поздравляю)) Может и мне скоро на нч установят....)
madfantast, спасибки))) думаю установят скоро) вон как зубки выровнялись уже