установка на НЧ
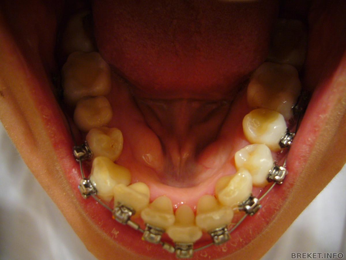
Ну вот и настал день Х))) установили БС на НЧ! так ждала этого дня, а радости как то не прибавилось((( только теперь начала понимать всю серьезность моей ситуации((( помимо того, что мне не подключили 7-ки вроде позже должны это сделать, еще и пятерку правую оставили без брекета, т.к. это металлокерамика и на нем он просто не будет держаться, придется позже его каким-нибудь способом "привязывать", чтоб не уехал куда попало(((. Моя нижняя семерка так и не хочет двигаться, орт сказала, что может вообще не встать на место, что меня тоже несказанно расстроило((( и плюсом ко всему поставили надкусочную пломбу только с правой стороны ![]()
Теперь сам прием!!! мало того, что мне сегодня должны были поменять дугу на ВЧ, так у нее не было на это времени, а ближайшая запись только на 20.11!!! каЧмарище!!! получается, что с дугой на ВЧ я буду ходить 13 недель!!! так еще и стоимости завышают и добиться не могу изменений, устанавливают Даймон Ку, а по кассе проводят Даймон 3МХ, а они дороже!
и, блин, ничего не могу доказать - типа все стоит одинаково((( и до кучи еще в очереди каждый раз сижу по часу!!! Одним словом хожу в платную клинику, где мутят со стоимостью, а отношение, как будто я бесплатно лечусь(((
Вот! накипело
только вам дорогие мои могу выговориться, только вы можете меня понять (хоть чуточку)
а вот и моя НЧ сегодня)))
Комментарии
Олли, огромное спасибо за поддержку!!!
Damon 3MX и Damon Q стоят одинаково, по крайней мере в тех интернет магазинах, где я их видела. Семерки подключат обязательно, на НЧ мне их подключили через 2 месяца после установки, а на ВЧ через 4 месяца. Всему свое время
С пятеркой что-нибудь придумают, мне по этой же причине сначала поставили металлические коронки с припаянными брекетами, а после их снятия поставят металлокерамику. Удачи!
Varechka, вот спасибо!!! а я себя уже накрутила!!! прям даже стыдно! металлокерамика уже стоит 5 лет, поэтому придется решать вопрос каким-нибудь другим способом))) вот почему мне врач тоже самое не может объяснить???
ой поздравляю с нч))) красота) ну теперь мы еще ближе к Голливуду
tysik88, спасибо!!!



О,неплохо кстати

Да,бедняжка
Я тоже не понимаю,почему врачи просто ТУПО не могут объяснить,что к чему
вечно одни загадки
Но,я все равно желаю тебе удачи,чел
Все будет хорошо,я в тебя верю :3