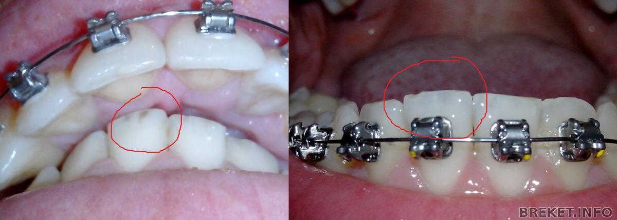
для тех,у кого появляются пятна на зубах) как с ними бороться? очень просто)
вообщем, честно я расслабилась и стала меньше чистить нч))) на ней же не было брекетов, че ее драить хорошо? быстро шеркнула щеткой и все))) а тут смотрю уже и установка на нч скоро) стала рассматривать зубы... и ооо нет! это пятно серое на однерке нч
прям бросалось в глаза, как я его не замечала? видимо заглядывалась на результаты вч))) ну так вот... стала я чистить усиленней нч)))
драила всяко разно неделю....нифига! и вот за день до установки задумала я как нибудь избавиться от этого пятна
хотела сначала содой его шлифануть....
но потом вспомнила про зубной порошок! решила им,набрала побольше его на щетку,почистила...потом второй раз) вроде стало уменьшаться... но зуб этот волнистый и именно в углублении это пятно и засело! пришлось взять ершик,намазать его порошком и пройтись по этому углублению ииии
пятно счистилось))) часто так делать не советую, думаю это схоже с проф чисткой,только мягче! да и вообще раньше только порошком зубы и чистили и ничего же) никто не жаловался)))) фото прилагаю)
Комментарии
Ммм.. На заметку надо взять)
Кстати иногда чищу содой, но очень редко , а тут почистила и один брекет отвалился спустя пару часов , правда во ремя еды, это может быть из за соды ?
ElenaM,не думаю что сода могла разъесть состав,на котором брекет держится) просто думаю совпало) я раньше отбеливала зубы содой(но это вредно и не особо эффективно) ,пломбы же не отваливались)))
странно
Vovka, что странно?
tysik88, пятно странное. похоже на прозрачность
Vovka,да нет,самое обычное пятно) налет серый) на внутренней стороне зубов у меня такой часто появляется) кофе,чай,сигареты...
просто фото другого не нашла с пятном(
tysik88, не курите пожалуйста
Vovka,эх пытаюсь)
А у меня в трудно достигаемых местах стал появляться камень.
думаю, как сниму брекетули, нужно обратиться на чистку..надеюсь это не больно
Jack.Era, таже фигня.
2 дня назад орт на приёме сказала что камень на НЧ. И что я раньше лучше чистил. Хотя я в августе чистку делал. как так? И тот кто чистку делал сказали что только на нижних зубах камень который почистила. Но чистку теперь я буду делать только зимой
мне орт посоветовал после снятия бс некоторое время порошком попользоваться))) но я не заметила явных улучшений
а думаете уберет начальную стадию камня между зубов? у меня просто стоит цепочка,пружины,не снять пока у врача
Ооо вот про камень не знаю вообще ничего( никогда не было... тьфу тьфу
MaryLU26, а мне хорошо помогает,заметно,шершавый налет хорошо убирает, в отличие от пасты)
KatyaChe,думаю не уберет,но поможет ,чтоб не стало больше)
вспомнил что есть карандаш РОКС. Я его купил и потерял так и не испробовал. Интересно он помогает
Vovka, а для чего он?
А я порошком побаиваюсь часто пользоваться, только раз в неделю. Генеральная уборка
У меня такой же порошок, столько с синей крышкой, "особый" что-ли. Как то так)))
ОлиК,ну раньше же все только порошком чистили) и ничего) ну я тоже использую,когда генералю) пару раз в неделю)



надо бы попробовать