ВЧ 6 месяцев
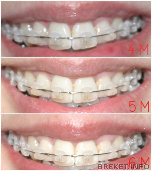
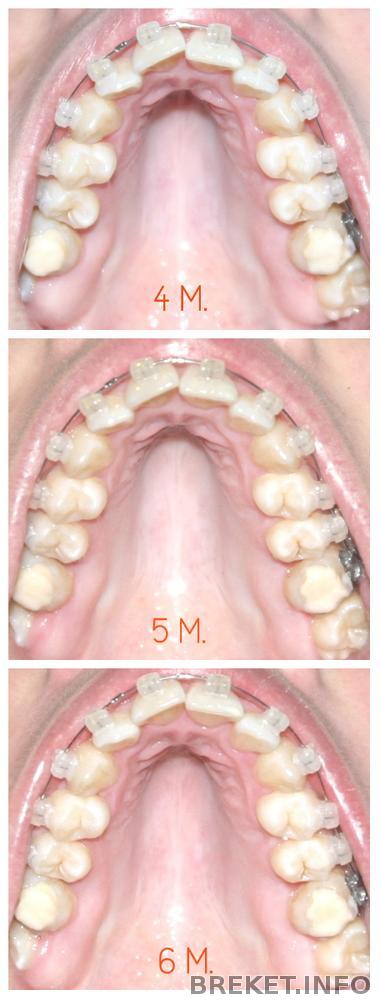
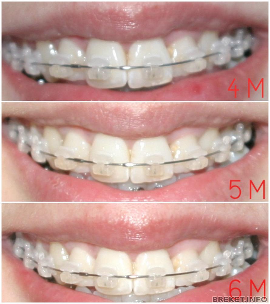
НУ НИКАКИХ ИЗМЕНЕНИЙ! Мои зубы активно двигались первые 3 месяца, но следующие 3 месяца они вредничали. Передвижения миллиметровые. Но я не расстраиваюсь, времени у меня еще куча. Буду ждать, когда они вновь проснутся и продолжат свой путь на нужные места. ![]()
А вообще в данный период моей жизни число 27 очень значимое для меня. 27 марта мне поставили брекеты, а 27 июня любимый служить ушел. Так что каждый месяц 27 числа я радуюсь, что преодолен очередной рубеж и я все ближе к дате возвращения моего мужчины и дате снятия брекетов))
Комментарии
Райчикк, ахахах, почти как пояс верности ![]()
Может и правда есть изменения)) Спасибо!))
27.09.2013 - 23:43



изменения есть заметные!!! зубки по высоте выравниваются!! уже такая красивая улыбка))) а с армией прям очень удобно получилось))) хочешь, чтобы твоя девушка дождалась тебя из армии - пусть наденет брекеты :DD удачного вам лечения!