Полгода!
Даже недумала, что время пролетит так незаметно. Казалось бы только задумалась о брекетах, и тут все понеслось
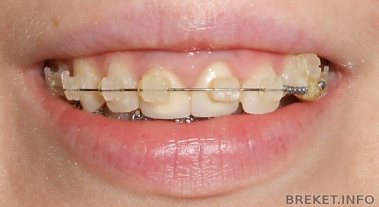
Только недавно подключили мой злополучный клык, он становится в ряд очень нехотя... Больше тянет двоечку наверх
От этого моя улыбка выглядет странно. Надеюсь, что в скором времени все встанет в ряд!
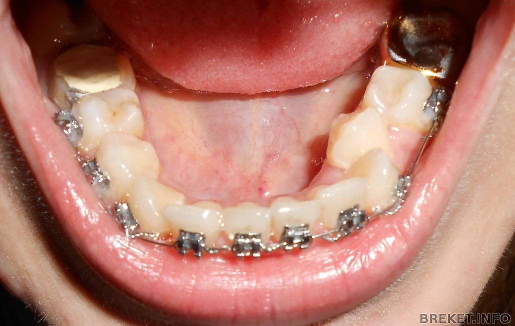
Нижний ряд вообще стоит на месте
БС на НС тока месяц с небольшим, так что ждем результатов.
Вот фоточки:
Комментарии
Улыбашка, спасибо! ![]()
Мне сначала хотели на НЧ 6ку удалить, но потом решили пробывать без удаления. Хотелось бы конечно без удаления
Но пока результатов нет, может от того что двигаться зубам некуда, а может еще время мало прошло... На Нч всего месяц брекетулькам. Вообще ортофея по поводу НЧ еще ничего не говорила, надо на следующем приеме поинтересоваться
Поздравляю) Моим тоже на днях полгода стукануло. На нч, кстати, тоже стояли долго зубы. Все будет
Смотрю на ваши зубные проблемы и как в зеркало гляжу))) Поздравляю с датой!!
Агати, Женя Цветочек спасибочки!
Женя Цветочек, кстати да, посмотрела твои зубки, похожая ситуация
скорейшего движения вашему клыку! поздравляю с датой))
Муряка, спасибо!
Наталья, и я поздравляю!!!!! По-моему сдвиги клыка есть?! Моей ВЧ тоже скоро полгода будет!
Оль, спасибо!!
Сдвиги есть, но вот у 2ки тоже есть сдвиги в нехорошую сторону ![]()
Жду твой фотоотчетик на полгода





Natalya86, поздравляю с днем варения брекетулек)
Извините за интерес, но почему 5 на нч не подключили?
У меня 4,5 на нч лежали за 4,5 месяца встали в ряд.
Хотя многие ортодонты хотели удалять.... интересуюсь как у вас, схожие ситуации.