Вот так вот
Вот уже и четыре месяца прошло с тех пор как мне поставили брекеты… уже почти как родные.
Причем съездила в отпуск с брекетами, как назло на второй день отвалился брекет с нижней шестерки хоть я не грызла ничего и дуга сильно расцарапала щеку. Но ничего перетерпела, переждала, привыкла.
Спасибо брекетам я решила похудеть, на сладкое почти даже смотреть не могу. Когда понимаешь, что из-за брекетов уже многое из еды не можешь себе позволить, то ограничить себя еще чуть-чуть не сложно. Результат за 4 месяца -4 кг, и это не предел, не хочется загадывать, но в планах еще -8 лишних кг.
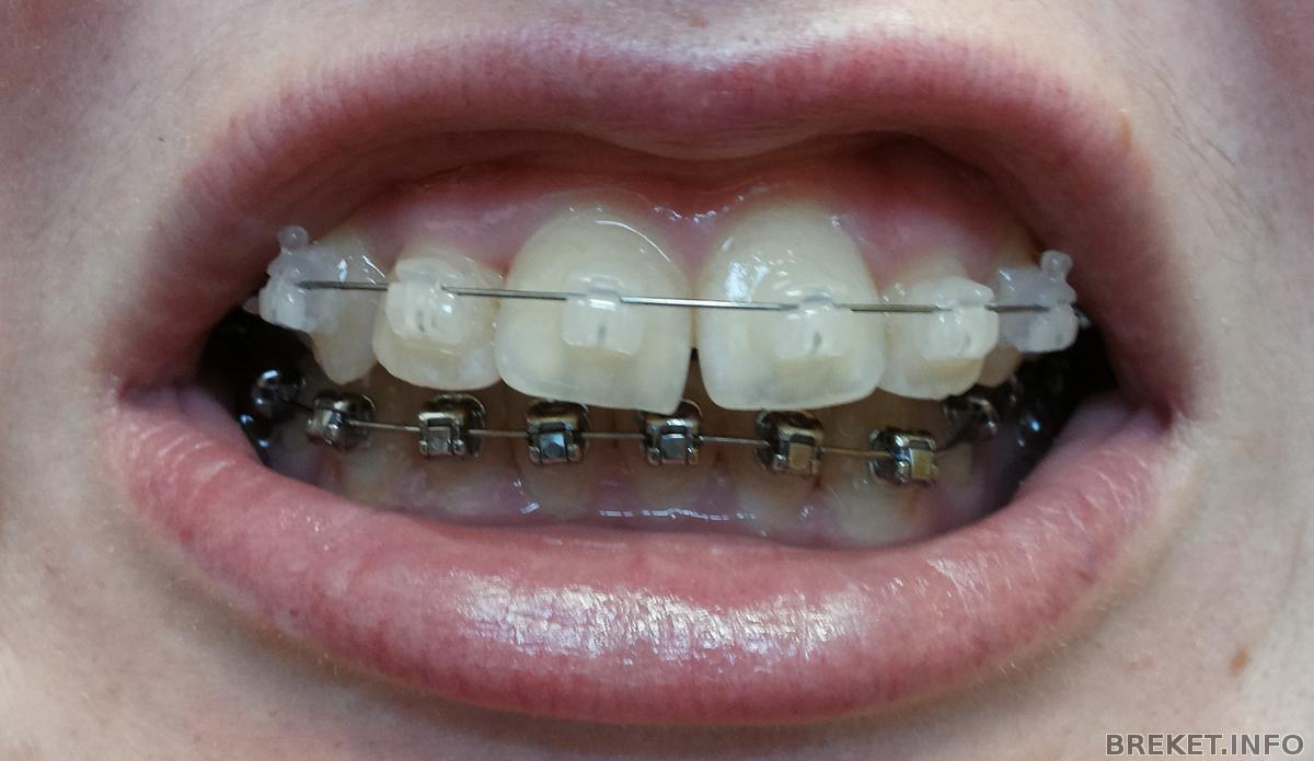
А вот мои зубки как на сегодняшний день выглядят. Не радует конечно что сильно центры не совпадают почти на пол зуба и единички под углом друг от друга разъехались, но ничего это еще далеко не конец лечения так что терпимо
Комментарии
И как вы худеете с брекетами?
Я вот, наоборот, килограмм на 6 поправилась) Но, я этому рада) Давно хотела прибавить вес)
Ем все самое мягкое и диетическое, ем меньше но чаще, больше фруктов и йогуртов, в обед что-нибудь мясное, на ужин часов в 20.00 кефир. Так что это не само собой я стараюсь.



>>>Результат за 4 месяца -4 кг, и это не предел, не хочется загадывать, но в планах еще -8 лишних кг.

я тоже из-за брекетов худела. только не непосредственно из-за них.
перед установкой - не хотелось быть с брекетами, да еще и с лишними кг ))
потом набрала.
и худела уже с новым ортом - не хотелось ходить к молодому, симпатичному врачу пышкой )))