Установка на нижнюю челюсть
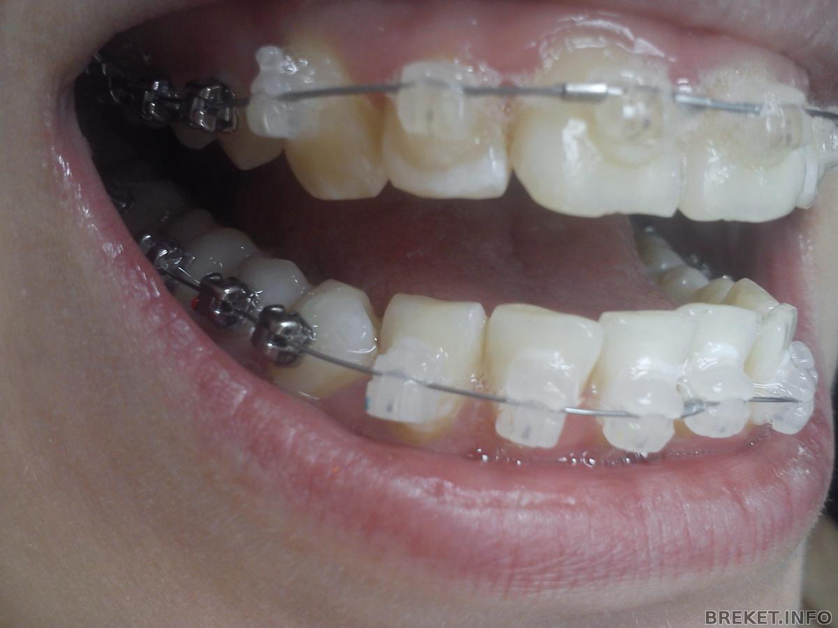
Ну вот и дождалась второй смены дуги на верхней челюсти. Так и проходила со слабой дугой и никаких изменений не было, зато сейчас мне поставили квадратную 14. Через месяц удалим 2 зуба и будем задвигать назад. И ещё установили брекеты на нижнюю челюсть. Чтобы верхние зубы не сбивали нижние брекеты, мне прилипили защиту на верхний зуб и теперь я не могу сомкнуть челюсти, у меня только одна точка соприкосновения. Что в итоге. У меня ужасно всё болит, есть не могу ничего, нажимать очень больно, а нижняя болит и без прикосновений. Рот не закрывается, зубы не соприкасаются и челюсть в постоянном напряжении из-за этого, опереться могу только на один зуб, но это больно. Вид кошмарный, выпила таблетку обезбаливающего, когда это уже всё пройдёт. К верхней челюсти я быстро привыкла и даже не замечала, а щас боюсь, что такого не будет, хотя бы из-за того что не расслабится, челюсти приоткрытые, пищу проглатываю недожованную, кошмар, неужели мне так ходить 2 года.
Фото прикреплю завтра.
Комментарии
Всё, отвалилась моя защита, зато легче стало, можно побольше прикрыть рот, теперь только надо следить, чтоб не сбить брекет зубом.
Мне тоже на днях установили на НЧ. И была правда хуже, чем на ВЧ. Хотелось содрать брекеты, выплюнуть, все ныло, болело, ничего жевать не могла. Прошло 5 дней ) Сегодня уже жевала печеньку
Так что всё временно, привыкнешь! Вот увидишь!
missAnn123, во-во, содрать хочется, с верхней болело 4 дня, но не так.
И у меня такая беда была.. челюсти смыкались только "защитой" этой на клыках.. до которых вообще лучше было б не дотрагиваться и глотать кусками мягко говоря - мало приятного. Так я пришла к орту и попросила такую же а-ля "защиту" на дальние зубки, чтоб смыкание адекватное было. Удивилась, но сделала) Все притерлось как надо и вообще никаких проблем, связанных с этими самыми разомкнутыми челюстями.
У меня всё отвалилось на следующий день, всё стало супер, жую без проблем и не задеваю ни один брекет





"Спокойствие, только спокойствие". Сама не заметишь , как привыкнешь и к боли, и к не смыкающейся челюсти.