мучащий меня вопрос
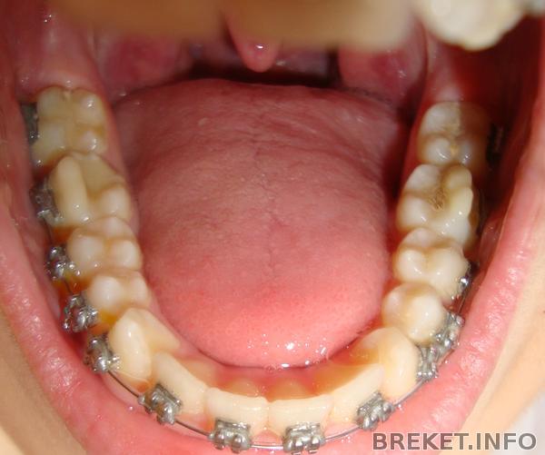
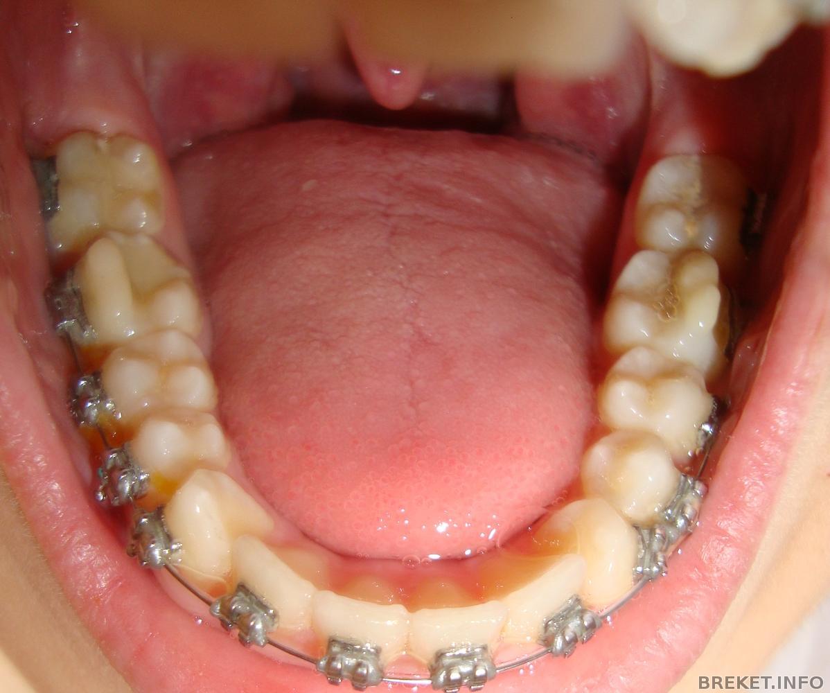
Ребят, назрел очень, мучащий меня вопрос, правда ли что, если не удалить зубы мудрости(8-ки) до или во время ношения брекетов, то после снятия БС, зубы поплывут? вот это меня очень серьёзно беспокоит, снимок прилагаю
я не готова к такому повороту событий в будущем, так как уже вложено не мало денег и на мой взгляд, за месяц я достаточно натерпелась боли (сейчас, Слава Богу, боль чуть утихла), а что ещё впередиииии, поэтому, людииии, отзовитесь, кому что врачи говорили? потому что мне сказали лечить без удаления зубов, я даже удивилась немного, потому что я уже настроилась, что удалению несомненно быть, я конечно, обязательно спрошу об этом ортофею, но кто что знает, отзовитесь, иначе, я навыдумываю себе что-нибудь сто процентов
Комментарии
KatyaChe, вот и я думаю об этом
Да, правда. Многие носят брекеты по второму разу из-за восьмерок.
Тем более, что у вас они смотрят в сторону 7-ок.
И мне кажется или у вас восьмерки уже немного вылезли?
Скажу про свою подругу, ходила 30 лет с ровными зубами...Полезли 8-ки, и передние зубы поехали кто куда, она просто в шоке! Собирается все четыре зуба удалять!!!
я у своего спрашивала про 8-ки, говорит пока не стоит об этом беспокоится.
Тоже скученность у меня, без удаления 4ок (пока без удаления) ..
У меня на нч проблема была с 8ми. Жила с ровной нч, начали резаться 8ки и о ужас поехали зубы.
Я тянула 3 года кота за хвост, по одним утром проснулась с забором вместо своих зубов.
Страхи были напрасными, на счет удаления.Резали десну, но как оказалось ничего страшного.
Советую удалять 8ки.
Светланка1996, ну похоже же из костной ткани вышли, но кстати дальше вряд ли прорежутся(или немного) - упрутся в 7-ки и начнут двигать передние зубы. Но и удалять такие должно быть попроще.
Прямо бежать удалять не надо, но с ортодонтом посоветуйтесь, с хирургом.
Хотя в итоге я бы не сняла брекеты, пока не удалю восьмерки.(я удаляла до установки)
Я из тех, чью улыбку испортили восьмерки. Прожив с ровной улыбкой детство, в 22 была вынуждена надеть брекеты(
Удаляйте. Хуже брекетов могут быть только дважды брекеты))))
Спасибо всем! Всё на приёме ставлю вопрос об удалении 8к, посмотрим что скажет ортофея, какие прогнозы даст. Спрошу было ли это в её планах, если было то когда.
Моей маме эээ...ну неприлично о женском возрасте, но уже не 30 и даже не 40. Так у нее до сих пор (!!!) периодически понемногу "вылезают" восьмерки, причем она не врет, я сама заметила что за последние 2 года у нее на ВЧ единица на единицу наехала, а зубы были ровные (хоть и с неправильным прикусом). Вот так-то.
Я сама подумываю о том чтоб избавиться от трех восьмерок (четвертая удалена из-за кариеса), НО: верхняя выходит корнями в гайморовую пазуху + упирается в семерку так, что частично повредила корень и отколола кусочек зуба, а нижние... ууууу... нижние у меня под десной, под костью, под углом 45 градусов к семеркам, да ещё и корнями прям на нерве!!! Да ещё плюсом ортодонт сказала "угол челюсти маленький, удаление будет мегапакостным..." и так поморщилась, что мне и правда стало страшно... Предложила пока подождать.
Я не против, я не спешу, но к окончанию лечения хочу с ними расстаться, потому что на повторное ношение брекетов нет ни сил, ни желания, ни денег. Я уж лучше неделю-две помучаюсь с удалением, чем ещё год с брекетами, тем более повторные брекеты не обойдутся без того же удаления, так чего тянуть и создавать себе проблемы?...
вывод: радуйтесь что у вас самые обычные восьмёрки с даже не сформировавшимися корнями ещё, с такими должно быть меньше проблем чем у таких везунчиков как я))) А может у Вас вообще достаточно места чтоб они выросли и не искривили зубной ряд))) В любом случае, задайте вопрос врачу и расскажите нам, что скажет)
Lady_Mouse, на НЧ 8ка подпирает 7 ку..меня это пугает...
а на ВЧ есть куча места между 8ками и 7ками, но не известно, как они будут вести себя в процессе вырастания
Обязательно напишу здесь о том, что скажет ортофея!)



в моем случае,где только чуть-чуть сформировавшиеся восьмерки никак не удалить,убрали все четверки.теперь я вожусь с промежутками от удаления.тогда лучше удалить восьмерки,если предоставляется такая возможность