Целый год и 3 месяца
Не могу понять довольна ли я.
Зато точно понимаю, что очень хочу снять их. особенно ВЧ. Чтобы говорить, улыбаться и в конце концов нормально чистить зубы без этих чертовых железяк.
Но мне еще предстоят тяги. И единственное на что я могу надеяться, что снимут их в этом году, хотя иногда закрадываются подозрения что все перенесется на следующий год.
И если на ближайшем приеме начнется клейка-переклейка, смена дуг на более тонкие - впаду в окончательную грусть.
Еще и у орта в новой клинике нет цветных лигатур, а прозрачные так быстро красятся и становятся не красивыми совсем.
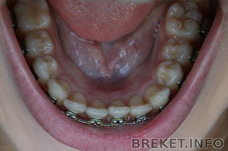
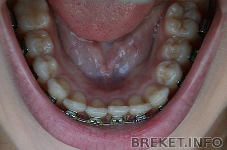
Фоточки.
Собственно, анфас. Вроде и хорошо, а вроде бы и куча мелких недочетов. Но скорее всего после снятия их не будет так заметно. Плюс единички подпилят, но двойки-уродинки разные, конечно. ВЧ скорее всего оставлю в покое, если орту не приспичит что-то менять.
Смыкание вот что меня устраивает. Но только на фотках.
И чертова НЧ. Только единичка встала в ряд, ортшу не устроила двойка, погнула дугу, единица укатилась обратно, а двойка все равно криво стоит. Напасть какая-то. Она меня печалит больше всего.
Хотя, конечно, стоило бы радоваться. По сравнению с тем что было - крысотища, но как всегда хочется идеала, который мне походу не светит.
Комментарии
С виду все очень красиво. На фото никаких 2-к уродинок не вижу! Осталась же ерунда, потерпите)
(у меня у самой 2ки разные и в зеркало это видно, но понимаю, что замечаю это только потому, что сама ищу недостатки)
Bolicka, лично мне, как начинающему, всё кажется абсолютно идеальным...
А двойки - шикарны, как по мне
вот смотрю и налюбоваться не могу, мне кажется, что все у Вас идеально)))
Ох, спасибо вам! Прямо подняли мне настроение!
Смогу еще несколько месяцев вытерпеть этих железных мучителей, не падая духом. ![]()
У себя всегда кажется хуже, чем у других. Смотришь все смотришь на эти зубы, уж какие хочешь недостатки найдешь.
Какие же мы все все-таки перфекционисты... Про двойки-уродинки вы точно загнули, все зубки красивые и белые, и никто с линейкой вам в рот не полезет,это точно)))) Не отчаивайтесь, получается загляденье!)))
Красота
Лигатуры такие классные на фотке ДО.
У меня тоже двойки разные, я почти смирилась с этим




Ой, меня тоже заело на двойках!))
У вас всё очень красиво, аккуратненько))