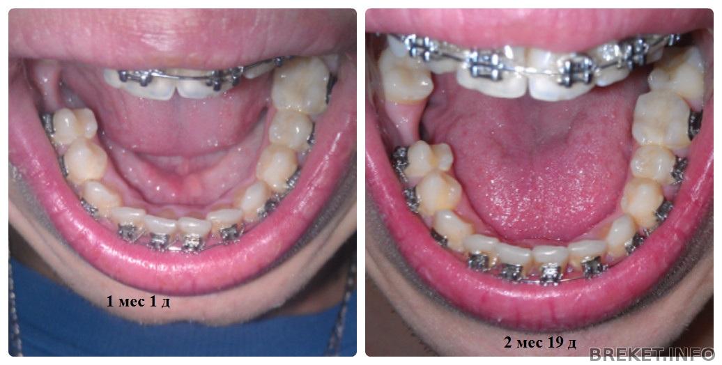
2 месяца 19 дней - поддержите меня я в печали
16.10.13 был у ортофеии, это УЖЕ 3 или 4 активация!!! у кого так было????????????
Сняла старую резиночку и поставила новую, подтянула проволочку на некоторых зубах и все прием окончен. И записали меня опять таки на активацию!
Если честно вроде 2 месяца но, блин меня капец как бесит, что зубки еще не ровные и весь фасон говно, бесит ужасно.... не знаю даже что делать.
Я просто расстроен , ортофее походу ваще похеру на своих клиентов, просто чувствую сердцем !
Не знаю что делать поддержите меня..
Моя карточка
Результаты
Комментарии
Я не понимаю, а вы что хотите?
Мы все ходим на активацию. Смена лигатур, других приспособлений и иногда дуг.
По фотографиям я вижу. что у вас на обоих челюстях выровнялась дуга, а вместе с ней и зубы, на нч встают в ряд. К тому же у вас нет сильно кривых зубов, чтобы было сильно заметно разницу.
Ну а если вас что-то не устраивает в лечение - не стесняйтесь задавать врачу вопросы, для того он там и сидит.
К тому же это второй месяц. Торопитесь.
Вы платите деньги, не стесняйтесь спрашивать у врача.
Зубы двигаются! Как говорит моя мама: всю жизнь были кривые зубы, а ты хочешь чтоб за месяц стали полностью ровные! Терпение, все будет Голливуд)
Не меняют дугу - значит она активна. отработает свое - поставят новую.
Торопиться нельзя. это вредно.
я даже не вижу, что нужно исправлять..
нормальные зубы
молодой человек, я конечно прошу прощения, но умоляю, почистите нормально вы ваши зубы, возьмите ершик, по возможности купите ирригатор (вещь очень полезная). Такое ощущение что вы просто щеткой сверху поводили и "типо" почистили...
Извините еще раз за столь грубое высказывание (если вам мб покажется)
я вам желаю только здоровья...
у меня через 2 месяца только начали двигаться зубы, у Вас еще очень маленький срок
Все спокоен!, всем спасибо, да зубы чищю только щеткой.. Надо будет завтра купить ирригатор, только вот какой это отдельная тема.. Да блин я не могу ершиками чистить они гнуться туда сюда даже давления получается нету, и тупо проводить между зубов какая, то лажа... может я не так что делаю? подскажите...
Есть много ершиков, возьмите толстый или самый толстый, вот тогда эффект будет
ок спасибки. Еще ирригатор куплю и прелесть будет!
дада, все девушки ваши будут
было бы не плохо, только куда мне так много?)
Много - не мало)
skipeer, будет возможность выбирать)))) умную, красивую, заботливую.





2 месяца это ерунда, я вот полгода уже ношу и сегодня должен был быть прием, которого я ждала больше всего на протяжении всего этого времени, а меня отправили еще на две недели погулять. так что у тебя еще все гуд!а я вот точно в расстроенных чувствах(