Верните всё обратно!!!!
Всю ночь не спала! одни кошмары снятся. сил нет жаловаться. если делюсь переживаниями с близкими, в ответ слышу только:
- мы же тебе говорили! зачем ты все это начала!
надежда только на Вашу поддержку, либо бежать к орту.
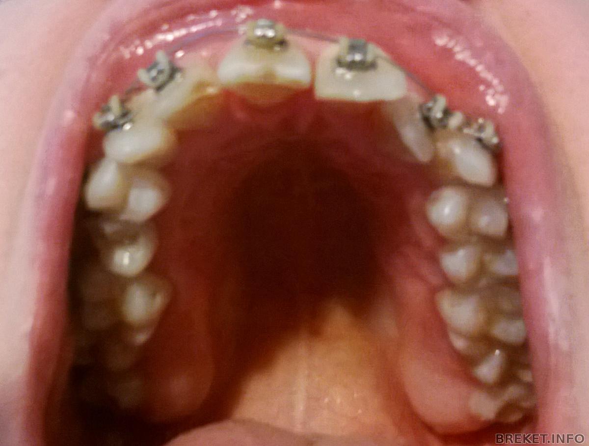
ситуация такая. два дня назад была у врача. полноценно подключили дугу к еденичкам и двойкам. и понеслось. правая еденичка подалась далеко вперед и как- то неровно. два дня не могу разговаривать. шепелявлю страшно! кортавлю!
Плюс ко всему заметила сдвинутый центр в левую сторону. прям неслабо так сдвинутый.
на правой стороне огромные щели между зубами, на левой более стабильно- все скученно, как всегда.
можно ли такое хоть как- то исправить?? мне уже не доровных зубов! не хочу, чтоб меня всю перекосило!
Комментарии
Улыбашка! в том то и дело, что зубы уходят в скученную сторону, а не обратно.
я понимаю, что меньше месяца это не срок, чтоб унывать. но все как то не логично идет. и от этого только плакать хочется...
что Вы паникуете) сейчас тот период, когда зубы активно двигаются) в итоге то все идеально будет) просто перетерпите))
спасибо, буду брать себя в руки и ждать с терпением))
Я тут вечно с точки зрения физики пытаюсь все объяснять))))
самое сложное - это взять "мертвый вес". ну это как толкать автобус который стоит на месте - намного сложнее, чем тот, который уже движется, пусть и еле-еле))))))) так вот главное - вы сдвинули автобус с места (зубы начали менять местоположение в костной ткани), теперь толкать его будет намного легче
Все будет ОТЛИЧНО. не бояться. НИ В КОЕМ СЛУЧАЕ НЕ СДАВАТЬСЯ. главное - это ваш настрой
Милая Ксюня! Терпи. Это и есть ортодониическое лечение во всей красе. У меня сейчас тоже во рту... сборище бобров....но ведь это временно! А дальше эстетичная улыбка, открытое покусование клубнички ( как в рекламе..эротишно) еще советую тебе воспользоваться моментом пока есть щели и приспокойненько подраить промежутки меж зубами которые так неожиданно образовались ( я только так и тешу себя).. в общем не раскисай.... а еще фоткай лучше вид с низу..чтобы было видно всю зубную дугу..
ахаха! Panika! спасибо, рассмешили. мне казалось, что у моего автобуса не тот маршрут)).
буду ждать положительных результатов, тогда и конечная будет быстрее)
вот, не пойму, я вампир, чтоли.... но от Вас- брекетоносцев))) так заряжаюсь положительными эмоциями!
ksen, главное - это поддержка.))))
забавно все с кем я пересекаюсь в клинике - приходят ко мне в зал, многие кто занимаются со мной в зале - ставят брекеты (за этот год 5 человек
), и первое что они говорят после этого: благодарят за поддержку. все это нелегкий труд и вот уж брекеты-то тем более. повторюсь: ГЛАВНОЕ - ЭТО ПОЗИТИВНЫЙ НАСТРОЙ.
У меня через месяц тоже хуже стало, чем было... Но я как то не придала этому значения и наверно сберегла нервы) Потому что чуть позже все стало нормально! Нужно только потерпеть, нам же есть ради чего это делать)
Xenia! я тож буду ждать твоих щелей, а то не верится)) мож это от удаления?
постараюсь раскорячиться и как- нить зафоткать.)
про гигиену точно. так удобно ниткой шерудить. ток нитка неудачная попалась, колгейт, слишком гладкая.
может как раз посоветуете хорошую, а то не хочется все подряд перебирать.
Ох..нить у меня так себе...от орал би...как ленточка корректорная с напылением из мяты. Мне больше ершики нравятся... вот только до брекетов еле могла впихнуть вот эти от лакалют самые маленькие
а теперь со свистом пролезает этот толстенткий ерш..... я тоже щель особенно стала замечать после удаления первой восьмерки.... после удаления второй она стала еще больше! Хотя брекеты стоят на верхней челюсти, а удаление на нижней...* мистика*. В общем терпения нам всем)))) вампирятам ksen, прошло еще только 23 дня! Что за паника???? Это только мааааленький шажок! Всяких разных сдвигов еще ого-го сколько будет, так что не переживайте и примите это как данное. А про родственников - а ну их, нам пишите
Мои родственники тоже сначала были против, а сейчас говорят - так хорошо стало! Там что еще докажите им, кто был прав
Надо радоваться тому что вообще есть материал с которым можно работать! Попросту зубы! У меня у друга не совсем ровные зубы.... он категорически пока не хочет брекетов ( дорого, видно, долго и протеворечит правилу его жизни : " мужчина должен быть чуть красивее обезьяны "
) хочет ставить себе в будущем ( когда встанет на ноги) виниры чтоли...на свои зубы штуки со спиливанием....
... по мне так уж лучше щели...чем " накладки" ненатуральных зубов....
Ксюнь, у меня тож ершики оралбишевские, разного диаметра, но я не рискую их в щели засовывать))
хочется нить, как у гигиениста. кста, видела недавно оралби спец. для брекетов. возьму завтра, интересно чего там)
получилось как- то так)) не знаю, как Вы это делаете)).
спасибо, missAnn123! больше не буду им ничего говорить) они ж ниче не понимают, не бывавши, так сказать, в нашей шкуре)
Ну вот снимок другое дело! Сразу видно что зубки вытягиваются вперед. У меня они так же в раскачку шли. Не чего переживать... у тебя зубы не параболла... а станут и идут к параболле ( у меня вообще буква П была
) тренируйся снимать так..чтобы зря не переживать.. именно с этого ракурса видны все самые лучшие изменения! Я только спустя месяц смогла сделать первый удачный кадр такого положения зубов, трудно, но можно! Телефоном проще всего! Или попросить кого то контрольный раз в месяц делать.....
кстати! нить от орал би, которая специальная для брекетов - отличная! мне ее в самом начале орт давала, а теперь я ее нигде найти не могу((
Не паникуйте. Зубы, это чисто физический процесс перемещения, ткань и кость. Прежде чем найти свое место и встать они могут вообще пропутешествовать по всей полости рта. Если не верите посмотрите на ютубе, там есть видео показывающий как из десен, нёба вытягивают зубы, и поверьте, они не идеально сразу идут на места.
Тем более напомню 23 дня у вас)) а вы хотите чтобы они уже место нашли и встали. Так бы срок лечения был не 2 года а 2-3 недели).
И вообще,смеритесь) вы в самом начале (мы в самом начале) долгого пути) и вдаваться в панику на 23 день просто смешно.
Прежде чем зубу встать, корень должен поменять направления роста и прочее следовательно сам зуб будет вертеться.
Вы конечно же смотрите в зеркало, но особо не анализируйте сейчас процессы, у вас задача сейчас только гигиена.
Ксю! надо было сразу так учиться фотать, у меня тож буквой П были, забавно было, когда кусаешь и остается квадратный след. просто эта еденичка веером стоит, ох, и мешает мне, зараза))
cake_lime, тогда побегу забирать, пока есть. а то как показывает практика, такие спец. средства, еще попробуй найди...
Вов! я верю тебе, верю! больше не буду паниковать! ну, или в случае крайней необходимости))) в конце концов, я и в деда Мороза верю))) а он нам с тобой еще должен))
ksen, если тебе станет легче) у меня тоже центр сдвинулся, я как бурундук после наркаты)))
Если за центр брать, нос, середину губы, и НЧ 1:1, то у меня ВЧ 1:1 в правой стороне.
т.е над нижними единицами 1:1 зуб))
Вов, и правда полегчало)))) но твой то центр объяснить можно. все таки зуб удаляли и дырочку надо как- то прикрывать)
Смотрю, что тебя уже успокоили))) Рада быть здесь и видеть, что все у тебя двигается. Я очень рада, что есть изменения. Поздравляю!!! Даже если тебе не нравится, хочу тебя заверить, что все пучком!!! По себе могу сказать, вытягивали двойку и тоже все зубы веером стали торчать((( Такая какашка, если честно, зато ровно))) Я и многие другие в 23 дня могли только мечтать о таком прогрессе. Моя орта на все мои претензии тоже говорит, что все так как надо и не вдается в подробности(( Одно могу сказать: зубы станут по дуге, центр выровняется, все будет просто шикарно. ЖДИ)))
ОлиК! НУ, ОТБРОСИТЬ ВСЕ СОМНЕНИЯ БЕЗ ТЕБЯ НЕВОЗМОЖНО!))) я щас напоминаю твою аву). щвищу, как ненормальная! измений куча! если не каждый, то через день все меняется. от верхней до нижней, вапще, как до луны!
Я сейчас сама один в один как этот бобер, и подозреваю что ситуация не скоро изменится. Одно лишь успокаивает, что хуже чем было "ДО" уже не будет
аха- ха! тогда я изнасилованный бобер ( как говорит моя подруга, рассматривая шубы)!
уж от тебя такое слышать совсем неожиданно!
Не хочу зря наговаривать на свои зубы, все намного ровнее чем было, но как смириться с тем, что во время улыбки зубы выезжают вперед и перекрывают и НЧ и нижнюю губу, и верхняя подворачивается до носа. Только нос и ВЧ в брекетах. Мне не нравится. Жду сепарацию, тяги и все что угодно, лишь бы только прикус изменился и наклон зубов. Как видишь удовлетворение не приходит даже на 4 месяце лечения, так что же нам остается? Остается только ждать!!!
Понимаю... у меня в 2 месяца вон что было... Жуткий наклон, щели, зазор между ВЧ и НЧ огромный... Но я знала что это -промежуточный результат и терпела. Хоть и шепелявила, а на носу была защита диплома. Причем, обратите внимание, на фото в 2 месяца у меня челюсти максимально сомкнуты... типа... и ничего, как видите, стало лучше. Сейчас всё ещё лучше чем на нижнем фото. А впереди меня ждет идеальна улыбка)) Чего и вам желаю, успокойтесь.
Сейчас скученные зубы тянут на себя все остальные, вот и становится всё хуже (как у меня клыки вперед вытянули 1цы и 2ки), а потом, когда всё встанет более-менее по дуге, зубки начнут уходить назад и наклон уменьшится... Неправильно ожидать что у вас с первого дня брекетов будет всё меняться сразу к лучшему. Может быть по-всякому, надо ждать что в итоге будет хорошо, а пока, ради хорошего результата, терпеть.
а нитка шороховатая RICH, после оралби просто супер))) Оралби гладкая((( А ещё говорят сплат шершавая, но я не пробовала.
Мыша! ну ты просто своими сообщениями бомбишь все рейтинги) ты и мне самооценку поняла...я думала что у меня зубы " опьянели" и щель появилась...паникую(((( а тут оказывается ..что может быть и такая Норма поведения зубов. Клево что расставила все на свои места. Обожаю этот сайт, особенно из за примеров лечения!
В общем вот щель моя(
Мерси-мерси))) Ничего, зубки потом назад уйдут и всё сойдется
У меня между единичками щель в миллиметр сходилась за сутки ношения чейна, а эта огромная дней за 8-12 стянулась полностью))) шпокойштвие, только шпокойштвие.... ![]()
P.S.: меня когда совсем бесило - залепляла её воском. Это стоило некоторой виртуозности и смотрелось как кролик Роджер, но хоть не шепелявила)))
У тебя хоть наклона нет, а у меня почти 45 градусов был, зубы торчали веером в стороны в прямом смысле)






ksen, паникова нельзя, но и не делать это сложно!
Все зубки станут на место, одна сторона дает промежутки чтобы вторая сторона стала в ряд!
А единички не радуют, но все будет хорошо!